Skip to main content

GABARAP Antibody - BSA Free

Novus Biologicals, part of Bio-Techne | Catalog # NBP1-71771

Novus Biologicals, part of Bio-Techne

Key Product Details

Species Reactivity

Validated:

Human, Mouse, Drosophila

Cited:

Human, Insect - Drosophila

Predicted:

Rat (100%). Backed by our 100% Guarantee.

Applications

Validated:

Immunohistochemistry, Immunohistochemistry-Paraffin, Western Blot, Immunocytochemistry/ Immunofluorescence

Cited:

Western Blot, Immunocytochemistry/ Immunofluorescence

Label

Unconjugated

Antibody Source

Polyclonal Rabbit IgG

Format

BSA Free

Concentration

1.11 mg/ml

Product Specifications

Immunogen

A synthetic peptide made to a C-terminal region of the human GABARAP protein (within residues 50-117). [Swiss-Prot O95166]

Reactivity Notes

Predicted to react with rat based on 100% sequence homology. Drosophila reactivity reported in scientific literature (PMID: 28779125).

Localization

Endomembrane system. Cytoplasm. Golgi apparatus membrane. Note: Largely associated with intracellular membrane structures including the Golgi apparatus and post-synaptic cisternae. Colocalizes with microtubules.

Clonality

Polyclonal

Host

Rabbit

Isotype

IgG

Description

Novus Biologicals Rabbit GABARAP Antibody - BSA Free (NBP1-71771) is a polyclonal antibody validated for use in IHC, WB and ICC/IF. Anti-GABARAP Antibody: Cited in 3 publications. All Novus Biologicals antibodies are covered by our 100% guarantee.

Scientific Data Images for GABARAP Antibody - BSA Free

Immunocytochemistry/ Immunofluorescence: GABARAP Antibody - BSA Free [NBP1-71771]

Immunocytochemistry/ Immunofluorescence: GABARAP Antibody - BSA Free [NBP1-71771]

Immunocytochemistry/Immunofluorescence: GABARAP Antibody [NBP1-71771] - analysis of GABARAP in Raw 264.7 cells using anti-GABARAP antibody (red). Nuclei were counterstained with DAPI (blue).
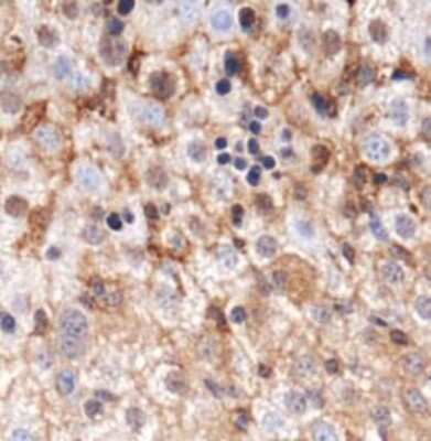
Immunohistochemistry: GABARAP Antibody - BSA Free [NBP1-71771]

Immunohistochemistry: GABARAP Antibody - BSA Free [NBP1-71771]

Immunohistochemistry: GABARAP Antibody [NBP1-71771] - Analysis of GABARAP in mouse liver using DAB with hematoxylin counterstain.
Immunocytochemistry/ Immunofluorescence: GABARAP Antibody - BSA Free [NBP1-71771]

Immunocytochemistry/ Immunofluorescence: GABARAP Antibody - BSA Free [NBP1-71771]

Immunocytochemistry/Immunofluorescence: GABARAP Antibody [NBP1-71771] - GABARAP antibody was tested in HeLa cells with FITC (green). Nuclei and actin were counterstained with Dapi (blue) and Phalloidin (red).

Applications for GABARAP Antibody - BSA Free

Application
Recommended Usage

Immunocytochemistry/ Immunofluorescence

1:100

Immunohistochemistry

1:200

Immunohistochemistry-Paraffin

1:200

Western Blot

1:100-1:2000
Application Notes
This GABARAP antibody is useful for ICC/IF and IHC-P. Prior to immunostaining paraffin tissues, antigen retrieval with sodium citrate buffer (pH 6.0) is recommended.

Formulation, Preparation, and Storage

Purification

Immunogen affinity purified

Formulation

PBS and 30% Glycerol

Format

BSA Free

Preservative

0.05% Sodium Azide

Concentration

1.11 mg/ml

Shipping

The product is shipped with polar packs. Upon receipt, store it immediately at the temperature recommended below.

Stability & Storage

Store at 4C short term. Aliquot and store at -20C long term. Avoid freeze-thaw cycles.

Background: GABARAP

In several neurological diseases, GABARAP expression is related to autophagic functions. In Lewy body disease and Parkinson's disease, LC3 and GABARAP are often co-localized. Autophagy is regulated both at the transcriptional and post-transcriptional level, partially by the activation of GABARAP and other core autophagy machinery proteins. Although autophagy is usually considered to be important in cellular maintenance, and breakdown of proteins and organelles in cell death, it is becoming more and more clear that it plays an important role in the developmental process, including embryogenesis. This embryological effect seems to be partly regulated by GABARAP expression and activity.

Long Name

gamma-Aminobutyric Acid Type A Receptor Associated Protein

Alternate Names

Apg8p1, ATG8A, FLC3B, MM46

Entrez Gene IDs

11337 (Human)

Gene Symbol

GABARAP

UniProt

Additional GABARAP Products

Product Documents for GABARAP Antibody - BSA Free

Certificate of Analysis

To download a Certificate of Analysis, please enter a lot number in the search box below.

Product Specific Notices for GABARAP Antibody - BSA Free

This product is for research use only and is not approved for use in humans or in clinical diagnosis. Primary Antibodies are guaranteed for 1 year from date of receipt.

Loading...
Loading...
Loading...
Loading...