Skip to main content

G6PC Antibody (CL5818) - Azide and BSA Free

Novus Biologicals, part of Bio-Techne | Catalog # NBP3-44193

Novus Biologicals, part of Bio-Techne

Key Product Details

Species Reactivity

Human

Applications

Immunohistochemistry-Paraffin

Label

Unconjugated

Antibody Source

Monoclonal Mouse IgG2B Clone # CL5818

Format

Azide and BSA Free

Concentration

LYOPH mg/ml

Product Specifications

Immunogen

This antibody was generated using a synthetic peptide of P35575, with the exact immunogen sequence remaining proprietary.

Clonality

Monoclonal

Host

Mouse

Isotype

IgG2B

Description

Novus Biologicals Mouse G6PC Antibody (CL5818) - Azide and BSA Free (NBP2-61433) is a monoclonal antibody validated for use in IHC. All Novus Biologicals antibodies are covered by our 100% guarantee.

Scientific Data Images for G6PC Antibody (CL5818) - Azide and BSA Free

G6PC Antibody (CL5818) - Azide and BSA Free Immunohistochemistry-Paraffin: G6PC Antibody [NBP3-44193]

Immunohistochemistry-Paraffin: G6PC Antibody [NBP3-44193]

Staining of human duodenum shows moderate cytoplasmic positivity in glandular cells.
G6PC Antibody (CL5818) - Azide and BSA Free Immunohistochemistry-Paraffin: G6PC Antibody [NBP3-44193]

Immunohistochemistry-Paraffin: G6PC Antibody [NBP3-44193]

Staining of human kidney shows moderate cytoplasmic positivity in cells in glomeruli.
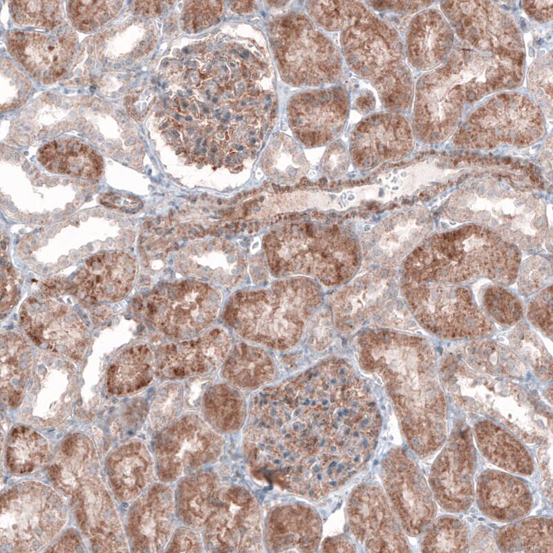
G6PC Antibody (CL5818) - Azide and BSA Free Immunohistochemistry-Paraffin: G6PC Antibody [NBP3-44193]

Immunohistochemistry-Paraffin: G6PC Antibody [NBP3-44193]

Staining of human liver shows moderate cytoplasmic positivity in hepatocytes.

Applications for G6PC Antibody (CL5818) - Azide and BSA Free

Application
Recommended Usage

Immunohistochemistry-Paraffin

1:1000 - 1:2500
Application Notes
For IHC-Paraffin, HIER pH 6 retrieval is recommended.

Formulation, Preparation, and Storage

Purification

Protein A purified

Reconstitution

Centrifuge the vial of lyophilized antibody at 12,000 x g for 20 seconds. Reconstitute by adding sterile, distilled water to achieve a final antibody concentration of 1mg/ml.

Formulation

Lyophilized from a 0.2 um filtered solution in PBS with Trehalose

Format

Azide and BSA Free

Preservative

No Preservative

Concentration

LYOPH mg/ml

Shipping

The product is shipped at ambient temperature. Upon receipt, store it immediately at the temperature recommended below.

Stability & Storage

Store at 4C short term. Aliquot and store at -20C long term. Avoid freeze-thaw cycles.

Background: G6PC

Glucose-6-phosphatase is an integral membrane protein of the endoplasmic reticulum that catalyzes the hydrolysis of D-glucose 6-phosphate to D-glucose and orthophosphate. It is a key enzyme in glucose homeostasis, functioning in gluconeogenesis and glycogenolysis. Defects in the enzyme cause glycogen storage disease type I (von Gierke disease). [provided by RefSeq]

Alternate Names

EC 3.1.3.9, G6Pase, G-6-Pase, G6Pase-alpha, G6PT, glucose-6-phosphatase, Glucose-6-phosphatase alpha, glucose-6-phosphatase, catalytic (glycogen storage disease type I, von Gierkedisease), glucose-6-phosphatase, catalytic subunit, GSD1, GSD1a, MGC163350

Gene Symbol

G6PC

Additional G6PC Products

Product Documents for G6PC Antibody (CL5818) - Azide and BSA Free

Certificate of Analysis

To download a Certificate of Analysis, please enter a lot number in the search box below.

Product Specific Notices for G6PC Antibody (CL5818) - Azide and BSA Free

This product is for research use only and is not approved for use in humans or in clinical diagnosis. Primary Antibodies are guaranteed for 1 year from date of receipt.

Loading...
Loading...
Loading...
Loading...
Loading...