Skip to main content

G2E3 Antibody - BSA Free

Novus Biologicals, part of Bio-Techne | Catalog # NBP3-12582

Novus Biologicals, part of Bio-Techne
Catalog #
Availability
Size / Price
Qty
Loading...
NBP3-12582-100ul
NBP3-12582-50ul

Key Product Details

Species Reactivity

Human

Applications

Immunocytochemistry/ Immunofluorescence, Immunohistochemistry, Immunohistochemistry-Paraffin, Western Blot

Label

Unconjugated

Antibody Source

Polyclonal Rabbit IgG

Format

BSA Free

Concentration

Please see the vial label for concentration. If unlisted please contact technical services.

Product Specifications

Immunogen

Produced in rabbits immunized with E. coli-derived Human G2E3 fragment

Clonality

Polyclonal

Host

Rabbit

Isotype

IgG

Description

This antibody can be stored at 2-8C for one month without detectable loss of activity. Antibody products are stable for twelve months from date of receipt when stored at -20C to -80C. Avoid repeated freeze-thaw cycles.

Protein A & Antigen Affinity purified

Scientific Data Images for G2E3 Antibody - BSA Free

Western Blot: G2E3 Antibody [NBP3-12582]

Western Blot: G2E3 Antibody [NBP3-12582]

Western Blot: G2E3 Antibody [NBP3-12582] - Lane A: HepG2 Whole Cell LysateLysates/proteins at 30 ug per lane.SecondaryGoat Anti-Rabbit IgG (H+L)/HRP at 1/10000 dilution.Developed using the ECL technique.Performed under reducing conditions.Predicted band size:80 kDaObserved band size:80 kDa
Immunohistochemistry-Paraffin: G2E3 Antibody [NBP3-12582]

Immunohistochemistry-Paraffin: G2E3 Antibody [NBP3-12582]

Immunohistochemistry-Paraffin: G2E3 Antibody [NBP3-12582] - Staining of human G2E3 in human testis with rabbit polyclonal antibody at 1:1000 dilution.
Immunohistochemistry-Paraffin: G2E3 Antibody [NBP3-12582]

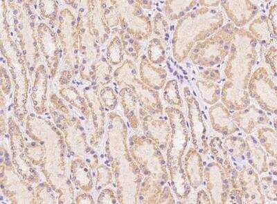
Immunohistochemistry-Paraffin: G2E3 Antibody [NBP3-12582]

Immunohistochemistry-Paraffin: G2E3 Antibody [NBP3-12582] - Staining of human G2E3 in human kidney with rabbit polyclonal antibody at 1:1000 dilution.

Applications for G2E3 Antibody - BSA Free

Application
Recommended Usage

Immunocytochemistry/ Immunofluorescence

1:50-1:200

Immunohistochemistry

1:500-1:2000

Immunohistochemistry-Paraffin

1:500-1:2000

Western Blot

1:500-1:2000

Formulation, Preparation, and Storage

Purification

Antigen and protein A Affinity-purified

Formulation

PBS

Format

BSA Free

Preservative

0.03% Proclin 300

Concentration

Please see the vial label for concentration. If unlisted please contact technical services.

Shipping

The product is shipped with polar packs. Upon receipt, store it immediately at the temperature recommended below.

Stability & Storage

Store at 4C short term. Aliquot and store at -20C long term. Avoid freeze-thaw cycles.

Background: G2E3

Alternate Names

EC 6.3.2, EC 6.3.2.-, FLJ20333, G2/M phase-specific E3 ubiquitin-protein ligase, G2/M-phase specific E3 ubiquitin ligase, G2/M-phase specific E3 ubiquitin protein ligase, KIAA1333PHD finger protein 7B, PHF7B

Gene Symbol

G2E3

Additional G2E3 Products

Product Documents for G2E3 Antibody - BSA Free

Certificate of Analysis

To download a Certificate of Analysis, please enter a lot number in the search box below.

Product Specific Notices for G2E3 Antibody - BSA Free

This product is for research use only and is not approved for use in humans or in clinical diagnosis. Primary Antibodies are guaranteed for 1 year from date of receipt.

Loading...
Loading...
Loading...
Loading...