Skip to main content

G protein alpha Antibody - BSA Free

Novus Biologicals, part of Bio-Techne | Catalog # NBP1-89753

Novus Biologicals, part of Bio-Techne
Catalog #
Availability
Size / Price
Qty
Loading...
NBP1-89753

Key Product Details

Species Reactivity

Human

Applications

Immunohistochemistry, Immunohistochemistry-Paraffin, Western Blot

Label

Unconjugated

Antibody Source

Polyclonal Rabbit IgG

Format

BSA Free

Concentration

Concentrations vary lot to lot. See vial label for concentration. If unlisted please contact technical services.

Product Specifications

Immunogen

This antibody was developed against Recombinant Protein corresponding to amino acids: GDESDDGTSGCLRWFQHRRNRRRRKPQRNLLRNFLVQAFGGCFGRSESPQPKASRSLKVKKVPLAEKRRQMRKEALEK

Clonality

Polyclonal

Host

Rabbit

Isotype

IgG

Description

Novus Biologicals Rabbit G protein alpha Antibody - BSA Free (NBP1-89753) is a polyclonal antibody validated for use in IHC and WB. All Novus Biologicals antibodies are covered by our 100% guarantee.

Scientific Data Images for G protein alpha Antibody - BSA Free

G protein alpha Antibody - BSA Free Immunohistochemistry-Paraffin: G protein alpha Antibody - BSA Free [NBP1-89753]

Immunohistochemistry-Paraffin: G protein alpha Antibody - BSA Free [NBP1-89753]

Staining of human small intestine shows strong membranous positivity in glandular cells.
G protein alpha Antibody - BSA Free Immunohistochemistry-Paraffin: G protein alpha Antibody - BSA Free [NBP1-89753]

Immunohistochemistry-Paraffin: G protein alpha Antibody - BSA Free [NBP1-89753]

Staining of human pancreas shows strong membranous positivity in exocrine glandular cells.
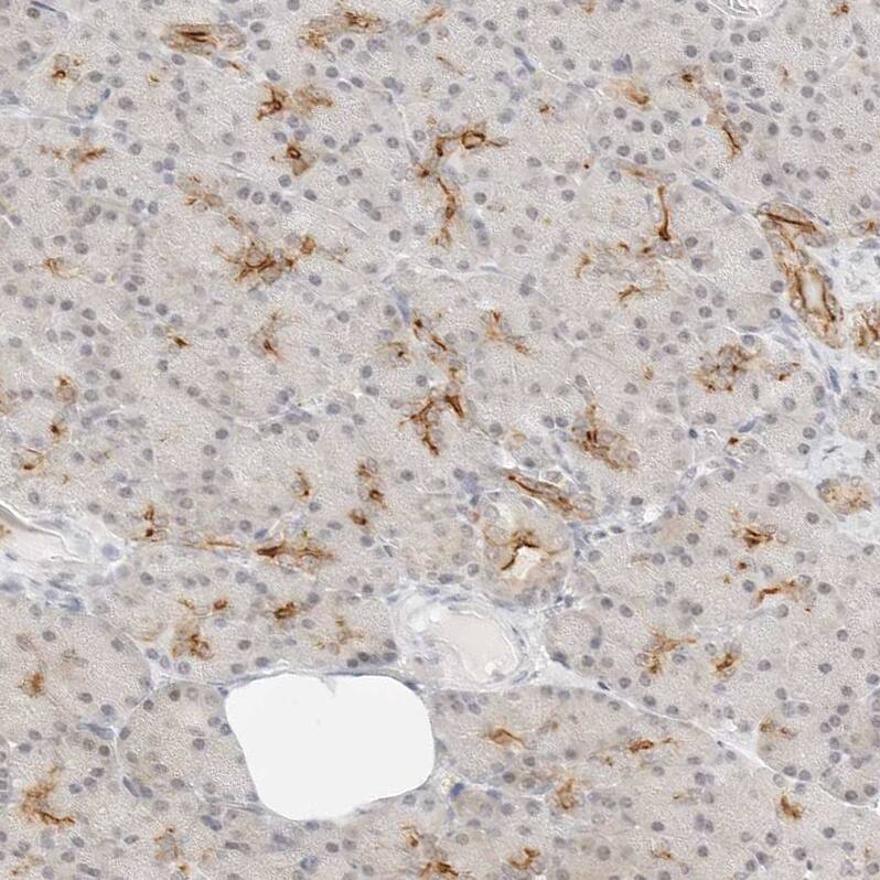
G protein alpha Antibody - BSA Free Immunohistochemistry-Paraffin: G protein alpha Antibody - BSA Free [NBP1-89753]

Immunohistochemistry-Paraffin: G protein alpha Antibody - BSA Free [NBP1-89753]

Staining of human liver shows no membranous positivity in hepatocytes as expected.

Applications for G protein alpha Antibody - BSA Free

Application
Recommended Usage

Immunohistochemistry

1:20 - 1:50

Immunohistochemistry-Paraffin

1:20 - 1:50

Western Blot

0.04-0.4 ug/ml
Application Notes
For IHC-Paraffin, HIER pH 6 retrieval is recommended.

Formulation, Preparation, and Storage

Purification

Affinity purified

Formulation

PBS (pH 7.2) and 40% Glycerol

Format

BSA Free

Preservative

0.02% Sodium Azide

Concentration

Concentrations vary lot to lot. See vial label for concentration. If unlisted please contact technical services.

Shipping

The product is shipped with polar packs. Upon receipt, store it immediately at the temperature recommended below.

Stability & Storage

Store at 4C short term. Aliquot and store at -20C long term. Avoid freeze-thaw cycles.

Background: G protein alpha

G protein alpha has a highly complex imprinted expression pattern. It gives rise to maternally, paternally, and biallelically expressed transcripts that are derived from four alternative promoters and 5' exons. Some transcripts contains a differentially methylated region (DMR) at their 5' exons, and this DMR is commonly found in imprinted genes and correlates with transcript expression. An antisense transcript is produced from an overlapping locus on the opposite strand. One of the transcripts produced from this locus, and the antisense transcript, are paternally expressed noncoding RNAs, and may regulate imprinting in this region. In addition, one of the transcripts contains a second overlapping ORF, which encodes a structurally unrelated protein - Alex. Alternative splicing of downstream exons is also observed, which results in different forms of the stimulatory G-protein alpha subunit, a key element of the classical signal transduction pathway linking receptor-ligand interactions with the activation of adenylyl cyclase and a variety of cellular reponses. Multiple transcript variants encoding different isoforms have been found for this gene. Mutations in this gene result in pseudohypoparathyroidism type 1a, pseudohypoparathyroidism type 1b, Albright hereditary osteodystrophy, pseudopseudohypoparathyroidism, McCune-Albright syndrome, progressive osseus heteroplasia, polyostotic fibrous dysplasia of bone, and some pituitary tumors. [provided by RefSeq]

Alternate Names

Adenylate cyclase-stimulating G alpha protein, AHO, Alternative gene product encoded by XL-exon, Extra large alphas protein, GNAS complex locus, GNAS1GSA, GNASXL, GPSAC20orf45, GSP, guanine nucleotide binding protein (G protein), alpha stimulating activitypolypeptide 1, guanine nucleotide regulatory protein, guanine nucleotide-binding protein G(s) subunit alpha isoforms XLas, MGC33735, NESP, NESP55, neuroendocrine secretory protein, PHP1A, PHP1B, PHP1C, POH, protein ALEX, SCG6, secretogranin VI, XLalphas

Gene Symbol

GNAS

Additional G protein alpha Products

Product Documents for G protein alpha Antibody - BSA Free

Certificate of Analysis

To download a Certificate of Analysis, please enter a lot number in the search box below.

Product Specific Notices for G protein alpha Antibody - BSA Free

This product is for research use only and is not approved for use in humans or in clinical diagnosis. Primary Antibodies are guaranteed for 1 year from date of receipt.

Loading...
Loading...
Loading...
Loading...