Skip to main content

G-CSFR/CD114 Antibody (8F8B12) - BSA Free

Novus Biologicals, part of Bio-Techne | Catalog # NBP2-61696

Novus Biologicals, part of Bio-Techne
Catalog #
Availability
Size / Price
Qty
Loading...
NBP2-61696
NBP2-61696-0.025ml

Key Product Details

Species Reactivity

Human

Applications

Immunohistochemistry, Immunohistochemistry-Paraffin, Western Blot, ELISA, Flow Cytometry

Label

Unconjugated

Antibody Source

Monoclonal Mouse IgG1 Clone # 8F8B12

Format

BSA Free

Concentration

1 mg/ml

Product Specifications

Immunogen

Purified recombinant fragment of human G-CSFR/CD114 (AA: extra 25-187) expressed in E. Coli.

Clonality

Monoclonal

Host

Mouse

Isotype

IgG1

Theoretical MW

92.2 kDa.
Disclaimer note: The observed molecular weight of the protein may vary from the listed predicted molecular weight due to post translational modifications, post translation cleavages, relative charges, and other experimental factors.

Description

Novus Biologicals Mouse G-CSFR/CD114 Antibody (8F8B12) - BSA Free (NBP2-61696) is a monoclonal antibody validated for use in IHC, WB, ELISA and Flow. All Novus Biologicals antibodies are covered by our 100% guarantee.

Scientific Data Images for G-CSFR/CD114 Antibody (8F8B12) - BSA Free

Western Blot: G-CSFR/CD114 Antibody (8F8B12)BSA Free [NBP2-61696]

Western Blot: G-CSFR/CD114 Antibody (8F8B12)BSA Free [NBP2-61696]

Western Blot: G-CSF R/CD114 Antibody (8F8B12) [NBP2-61696] - Analysis using CD114 mAb against HEK293 (1) and CD114 (AA: extra 25-187)-hIgGFc transfected HEK293 (2) cell lysate.
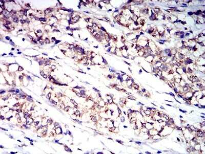
Immunohistochemistry: G-CSFR/CD114 Antibody (8F8B12) - BSA Free [NBP2-61696]

Immunohistochemistry: G-CSFR/CD114 Antibody (8F8B12) - BSA Free [NBP2-61696]

Immunohistochemistry: G-CSF R/CD114 Antibody (8F8B12) [NBP2-61696] - Analysis of paraffin-embedded bladder cancer tissues using CD114 mouse mAb with DAB staining.
Flow Cytometry: G-CSFR/CD114 Antibody (8F8B12) - BSA Free [NBP2-61696]

Flow Cytometry: G-CSFR/CD114 Antibody (8F8B12) - BSA Free [NBP2-61696]

Flow Cytometry: G-CSF R/CD114 Antibody (8F8B12) [NBP2-61696] - Analysis of Ramos cells using CD114 mouse mAb (green) and negative control (red).

Applications for G-CSFR/CD114 Antibody (8F8B12) - BSA Free

Application
Recommended Usage

ELISA

1:100-1:2000

Flow Cytometry

1:10-1:1000

Immunohistochemistry

1:10-1:1000

Immunohistochemistry-Paraffin

1:200 - 1:1000

Western Blot

1:100-1:2000

Formulation, Preparation, and Storage

Purification

Protein G purified

Formulation

PBS

Format

BSA Free

Preservative

0.05% Sodium Azide

Concentration

1 mg/ml

Shipping

The product is shipped with polar packs. Upon receipt, store it immediately at the temperature recommended below.

Stability & Storage

Store at 4C short term. Aliquot and store at -20C long term. Avoid freeze-thaw cycles.

Background: G-CSFR/CD114

The protein encoded by this gene is the receptor for colony stimulating factor 3, a cytokine that controls the production, differentiation, and function of granulocytes. The encoded protein, which is a member of the family of cytokine receptors, may also function in some cell surface adhesion or recognition processes. Alternatively spliced transcript variants have been described. Mutations in this gene are a cause of Kostmann syndrome, also known as severe congenital neutropenia.

Long Name

Granulocyte Colony Stimulating Factor Receptor

Alternate Names

CD114, CSF3R, Csfgr, G-CSF R, GCSFR

Gene Symbol

CSF3R

Additional G-CSFR/CD114 Products

Product Documents for G-CSFR/CD114 Antibody (8F8B12) - BSA Free

Certificate of Analysis

To download a Certificate of Analysis, please enter a lot number in the search box below.

Product Specific Notices for G-CSFR/CD114 Antibody (8F8B12) - BSA Free

This product is for research use only and is not approved for use in humans or in clinical diagnosis. Primary Antibodies are guaranteed for 1 year from date of receipt.

Loading...
Loading...
Loading...
Loading...
Loading...