Skip to main content

FXYD3 Antibody - BSA Free

Novus Biologicals, part of Bio-Techne | Catalog # NBP3-46285

Novus Biologicals, part of Bio-Techne
Catalog #
Availability
Size / Price
Qty
Loading...
NBP3-46285

Key Product Details

Species Reactivity

Human, Mouse, Rat

Applications

ELISA, Immunohistochemistry, Western Blot

Label

Unconjugated

Antibody Source

Polyclonal Rabbit IgG

Format

BSA Free

Concentration

Please see the vial label for concentration. If unlisted please contact technical services.

Product Specifications

Immunogen

FXYD domain containing ion transport regulator 3. (Uniprot# Q14802)

Clonality

Polyclonal

Host

Rabbit

Isotype

IgG

Theoretical MW

8 kDa.
Disclaimer note: The observed molecular weight of the protein may vary from the listed predicted molecular weight due to post translational modifications, post translation cleavages, relative charges, and other experimental factors.

Description

Novus Biologicals Rabbit FXYD3 Antibody - BSA Free (NBP3-46285) is a polyclonal antibody validated for use in IHC, WB and ELISA. All Novus Biologicals antibodies are covered by our 100% guarantee.

Scientific Data Images for FXYD3 Antibody - BSA Free

FXYD3 Antibody - BSA Free

Western Blot: FXYD3 Antibody - BSA Free [NBP3-46285] -

Western Blot: FXYD3 Antibody - BSA Free [NBP3-46285] - COLO 320 cells were subjected to SDS PAGE followed by western blot with (FXYD3 antibody) at dilution of 1:400
FXYD3 Antibody - BSA Free

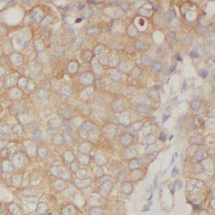
Immunohistochemistry: FXYD3 Antibody - BSA Free [NBP3-46285] -

Immunohistochemistry: FXYD3 Antibody - BSA Free [NBP3-46285] - Immunohistochemistry of paraffin-embedded human breast cancer using (FXYD3 antibody) at dilution of 1:100

Applications for FXYD3 Antibody - BSA Free

Application
Recommended Usage

Immunohistochemistry

1:20-1:200

Western Blot

1:500-1:2000

Formulation, Preparation, and Storage

Purification

Immunogen affinity purified

Formulation

PBS, 50% Glycerol, pH (7.3)

Format

BSA Free

Preservative

0.02% Sodium Azide

Concentration

Please see the vial label for concentration. If unlisted please contact technical services.

Shipping

The product is shipped with polar packs. Upon receipt, store it immediately at the temperature recommended below.

Stability & Storage

Store at -20C. Avoid freeze-thaw cycles.

Background: FXYD3

FXYD3, also known as FXYD domain-containing ion transport regulator 3, consists of 3 isoforms, a 87 amino acid isoform that is 9 kDa, a 113 amino acid isoform that is 12 kDa, and a 144 amino acid that is 15 kDa; is membrane located, functions as an inducer of a hyperpolarization-activated chloride current when expressed in Xenopus oocytes, and may be a modulator capable of activating endogenous oocyte channels. Current research is being performed on several diseases and disorders including adenocarcinoma, pancreatic, ductal adenocarcinoma, intrahepatic cholangiocarcinoma, colorectal cancer, cholangiocarcinoma prostate carcinoma, melanoma, pancreatic cancer, pancreatitis, prostate cancer, breast cancer, and prostatitis. The FXYD3 protein has also shown an interaction with SERBP1, FBXL12, NR4A1, MAPK6 and NUDT3, in the regulation of catalytic activity, ion transport, and chloride transport pathways.

Alternate Names

Chloride conductance inducer protein Mat-8, FXYD domain containing ion transport regulator 3, FXYD domain-containing ion transport regulator 3, Mammary tumor 8 kDa protein, MAT8MAT-8, Phospholemman-like, phospholemman-like protein, PLMLMGC111076

Gene Symbol

FXYD3

Additional FXYD3 Products

Product Documents for FXYD3 Antibody - BSA Free

Certificate of Analysis

To download a Certificate of Analysis, please enter a lot number in the search box below.

Product Specific Notices for FXYD3 Antibody - BSA Free

This product is for research use only and is not approved for use in humans or in clinical diagnosis. Primary Antibodies are guaranteed for 1 year from date of receipt.

Loading...
Loading...
Loading...
Loading...