Skip to main content

FUS Antibody - BSA Free

Novus Biologicals, part of Bio-Techne | Catalog # NB100-561

Novus Biologicals, part of Bio-Techne
Catalog #
Availability
Size / Price
Qty
Loading...
NB100-561

Key Product Details

Validated by

Independent Antibodies

Species Reactivity

Validated:

Human, Mouse

Cited:

Human, Mouse

Predicted:

Bovine (100%). Backed by our 100% Guarantee.

Applications

Validated:

Immunohistochemistry, Immunohistochemistry-Paraffin, Western Blot, Immunoprecipitation

Cited:

Immunoprecipitation, IF/IHC

Label

Unconjugated

Antibody Source

Polyclonal Rabbit IgG

Format

BSA Free

Concentration

1.0 mg/ml

Product Specifications

Immunogen

A synthetic peptide which maps to a region between residues 400 and 450 of human fusion (involved in t(12;16) in malignant liposarcoma) using the numbering given in SwissProt entry P35637 (GeneID 2521).

Clonality

Polyclonal

Host

Rabbit

Isotype

IgG

Scientific Data Images for FUS Antibody - BSA Free

Western Blot: FUS Antibody [NB100-561]

Western Blot: FUS Antibody [NB100-561]

Western Blot: FUS Antibody [NB100-561] - Whole cell lysate (15 ug) from HeLa, HEK293T, Jurkat, mouse TCMK-1, and mouse NIH 3T3 cells prepared using NETN lysis buffer. Antibody: Affinity purified rabbitanti-FUS antibody used for WB at 0.1 ug/ml. Detection: Chemiluminescence with anexposure time of 3 seconds.
Immunohistochemistry-Paraffin: FUS Antibody [NB100-561]

Immunohistochemistry-Paraffin: FUS Antibody [NB100-561]

Immunohistochemistry-Paraffin: FUS Antibody [NB100-561] - Detection of mouse FUS by immunohistochemistry. Sample: FFPE section of mouse teratoma Antibody: Affinity purified rabbit anti-FUS (NB100-561) used at 1:5,000 (0.2ug/ml). Detection: DAB
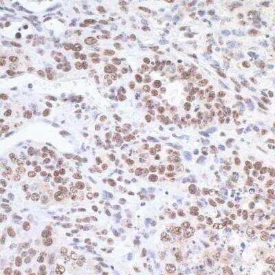
Immunohistochemistry-Paraffin: FUS Antibody [NB100-561]

Immunohistochemistry-Paraffin: FUS Antibody [NB100-561]

Immunohistochemistry-Paraffin: FUS Antibody [NB100-561] - Section of human ovarian carcinoma. Antibody: Affinity purified rabbit anti-FUS (NB100-561). Detection: DAB

Applications for FUS Antibody - BSA Free

Application
Recommended Usage

Immunohistochemistry-Paraffin

1:1000-1:5000

Immunoprecipitation

2-10 ug/mg lysate

Western Blot

1:2000 - 1:10000
Application Notes
Epitope retrieval with citrate buffer pH6.0 is recommended for FFPE tissue sections.

Reviewed Applications

Read 3 reviews rated 5 using NB100-561 in the following applications:

Formulation, Preparation, and Storage

Purification

Immunogen affinity purified

Formulation

Tris-Citrate/Phosphate (pH 7.0 - 8.0)

Format

BSA Free

Preservative

0.09% Sodium Azide

Concentration

1.0 mg/ml

Shipping

The product is shipped with polar packs. Upon receipt, store it immediately at the temperature recommended below.

Stability & Storage

Store at 4C. Do not freeze.

Background: FUS

FUS is a nucleic acid-binding protein whose N-terminal half functions as a transcriptional activator domain in fusion oncoproteins found in human leukemias and liposarcomas. FUS has been reported to be associated with the nuclear matrix and has been implicated in transcription, pre-mRNA splicing processes, spliceosome assembly, and promoting undifferentiated endothelial cells.

Long Name

FUS RNA binding protein

Alternate Names

ALS6, altFUS, ETM4, FUS1, HNRNPP2, POMP75, TLS

Entrez Gene IDs

2521 (Human)

Gene Symbol

FUS

UniProt

Additional FUS Products

Product Documents for FUS Antibody - BSA Free

Certificate of Analysis

To download a Certificate of Analysis, please enter a lot number in the search box below.

Product Specific Notices for FUS Antibody - BSA Free

This product is for research use only and is not approved for use in humans or in clinical diagnosis. Primary Antibodies are guaranteed for 1 year from date of receipt.

Loading...
Loading...
Loading...
Loading...