Skip to main content

FUS Antibody (CL0190) - Azide and BSA Free

Novus Biologicals, part of Bio-Techne | Catalog # NBP3-44055

Novus Biologicals, part of Bio-Techne

Key Product Details

Validated by

Knockout/Knockdown, Orthogonal Validation

Species Reactivity

Human

Applications

Immunohistochemistry-Paraffin, Western Blot, Immunocytochemistry/ Immunofluorescence

Label

Unconjugated

Antibody Source

Monoclonal Mouse IgG1 Clone # CL0190

Format

Azide and BSA Free

Concentration

LYOPH mg/ml

Product Specifications

Immunogen

This antibody was generated using a recombinant protein sequence of P35637, with the exact immunogen sequence remaining proprietary.

Clonality

Monoclonal

Host

Mouse

Isotype

IgG1

Description

Novus Biologicals Mouse FUS Antibody (CL0190) - Azide and BSA Free (NBP2-52874) is a monoclonal antibody validated for use in IHC, WB and ICC/IF. All Novus Biologicals antibodies are covered by our 100% guarantee.

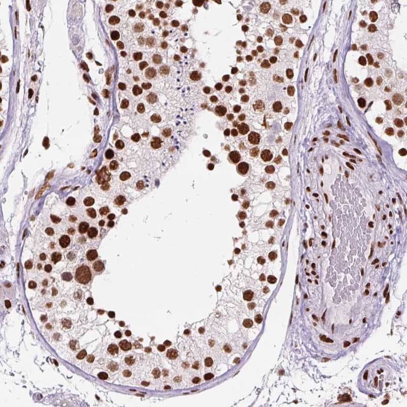
Scientific Data Images for FUS Antibody (CL0190) - Azide and BSA Free

FUS Antibody (CL0190) - Azide and BSA Free Western Blot: FUS Antibody [NBP3-44055]

Western Blot: FUS Antibody [NBP3-44055]

Lane 1: Marker [kDa]
Lane 2: Human cell line HeLa cytoplasmic fraction
Lane 3: Human cell line HeLa membrane fraction
Lane 4: Human cell line HeLa nuclear fraction
Lane 5: Human cell line HeLa chromatin fraction
Lane 6: Human cell line HeLa cytoskeletal fraction
FUS Antibody (CL0190) - Azide and BSA Free Immunocytochemistry/ Immunofluorescence: FUS Antibody [NBP3-44055]

Immunocytochemistry/ Immunofluorescence: FUS Antibody [NBP3-44055]

Staining in HeLa cell line with Anti-FUS monoclonal antibody) staining in green. Microtubule- and nuclear probes are visualized in red and blue respectively (where available).
FUS Antibody (CL0190) - Azide and BSA Free Western Blot: FUS Antibody [NBP3-44055]

Western Blot: FUS Antibody [NBP3-44055]

Lane 1: Marker [kDa]
Lane 2: Human cell line HeLa
Lane 3: Human cell line A-431
Lane 4: Human cell line MCF-7
Lane 5: Human cell line U2-OS
Lane 6: Human cell line Hep-G2

Applications for FUS Antibody (CL0190) - Azide and BSA Free

Application
Recommended Usage

Immunocytochemistry/ Immunofluorescence

2-10 ug/ml

Immunohistochemistry-Paraffin

1:2500 - 1:5000

Western Blot

1 ug/ml
Application Notes
For IHC-Paraffin, HIER pH 6 retrieval is recommended. Immunocytochemistry/ Immunofluorescence/IF Fixation Permeabilization: Use PFA/Triton X-100.

Formulation, Preparation, and Storage

Purification

Protein A purified

Reconstitution

Centrifuge the vial of lyophilized antibody at 12,000 x g for 20 seconds. Reconstitute by adding sterile, distilled water to achieve a final antibody concentration of 1mg/ml.

Formulation

Lyophilized from a 0.2 um filtered solution in PBS with Trehalose

Format

Azide and BSA Free

Preservative

No Preservative

Concentration

LYOPH mg/ml

Shipping

The product is shipped at ambient temperature. Upon receipt, store it immediately at the temperature recommended below.

Stability & Storage

Store at 4C short term. Aliquot and store at -20C long term. Avoid freeze-thaw cycles.

Background: FUS

FUS, fused in sarcoma, encodes a multifunctional protein component of the heterogeneous nuclear ribonucleoprotein (hnRNP) complex. Nuclear receptor coactivator that directly binds nuclear receptors and stimulates the transcriptional activities in a hormone-dependent fashion. Coactivates expression in an agonist- and AF2-dependent manner. Involved in the coactivation of different nuclear receptors, such as for steroids (GR and ERs), retinoids (RARs and RXRs), thyroid hormone (TRs), vitamin D3 (VDR) and prostanoids (PPARs). Probably functions as a general coactivator, rather than just a nuclear receptor coactivator. May also be involved in the coactivation of the NF-kappa-B pathway. May coactivate expression via a remodeling of chromatin and its interaction with histone acetyltransferase proteins. Involved in placental, cardiac, hepatic and embryonic development. NCOA6 is over-expressed in several breast cancer cell lines.

Alternate Names

75 kDa DNA-pairing protein, ALS6, amyotrophic lateral sclerosis 6, FUS1, fused in sarcoma, fusion (involved in t(12;16) in malignant liposarcoma), fusion gene in myxoid liposarcoma, fusion, derived from t(12;16) malignant liposarcoma, fus-like protein, heterogeneous nuclear ribonucleoprotein P2, HNRNPP2, Oncogene FUS, Oncogene TLS, POMp75, RNA-binding protein FUS, TLShnRNP-P2, Translocated in liposarcoma protein

Gene Symbol

FUS

Additional FUS Products

Product Documents for FUS Antibody (CL0190) - Azide and BSA Free

Certificate of Analysis

To download a Certificate of Analysis, please enter a lot number in the search box below.

Product Specific Notices for FUS Antibody (CL0190) - Azide and BSA Free

This product is for research use only and is not approved for use in humans or in clinical diagnosis. Primary Antibodies are guaranteed for 1 year from date of receipt.

Loading...
Loading...
Loading...
Loading...
Loading...