Skip to main content

Fumarase Antibody - BSA Free

Novus Biologicals, part of Bio-Techne | Catalog # NBP1-32893

Novus Biologicals, part of Bio-Techne
Catalog #
Availability
Size / Price
Qty
Loading...
NBP1-32893

Key Product Details

Validated by

Knockout/Knockdown

Species Reactivity

Human, Mouse, Rat

Applications

Immunohistochemistry, Immunohistochemistry-Paraffin, Western Blot, Immunocytochemistry/ Immunofluorescence

Label

Unconjugated

Antibody Source

Polyclonal Rabbit IgG

Format

BSA Free

Concentration

Concentrations vary lot to lot. See vial label for concentration. If unlisted please contact technical services.

Product Specifications

Immunogen

Recombinant protein encompassing a sequence within the center region of human Fumarase. The exact sequence is proprietary.

Localization

Mitochondrion, Cytoplasm

Clonality

Polyclonal

Host

Rabbit

Isotype

IgG

Description

Novus Biologicals Rabbit Fumarase Antibody - BSA Free (NBP1-32893) is a polyclonal antibody validated for use in IHC, WB and ICC/IF. All Novus Biologicals antibodies are covered by our 100% guarantee.

Scientific Data Images for Fumarase Antibody - BSA Free

Western Blot: Fumarase Antibody [NBP1-32893]

Western Blot: Fumarase Antibody [NBP1-32893]

Western Blot: Fumarase Antibody [NBP1-32893] - Non-transfected (-) and transfected (+) 293T whole cell extracts (30 ug) were separated by 10% SDS-PAGE, and the membrane was blotted with Fumarate hydratase antibody [N2C2], Internal. HRP-conjugated anti-rabbit IgG antibody was used to detect the primary antibody.
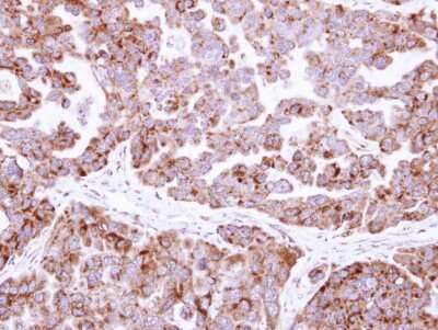
Immunohistochemistry-Paraffin: Fumarase Antibody [NBP1-32893]

Immunohistochemistry-Paraffin: Fumarase Antibody [NBP1-32893]

Immunohistochemistry-Paraffin: Fumarase Antibody [NBP1-32893] - Paraffin-embedded OVCAR3 xenograft, using antibody at 1:500 dilution.
Western Blot: Fumarase Antibody [NBP1-32893]

Western Blot: Fumarase Antibody [NBP1-32893]

Western Blot: Fumarase Antibody [NBP1-32893] - Mouse liver lysate/extract 10% SDS-PAGE gel, antibody dilution 1:1000.

Applications for Fumarase Antibody - BSA Free

Application
Recommended Usage

Immunocytochemistry/ Immunofluorescence

1:100-1:1000

Immunohistochemistry

10 - 1:500

Immunohistochemistry-Paraffin

1:100-1:1000

Western Blot

1:500-1:10000

Formulation, Preparation, and Storage

Purification

Antigen Affinity-purified

Formulation

0.1M Tris, 0.1M Glycine, 10% Glycerol

Format

BSA Free

Preservative

0.01% Thimerosal

Concentration

Concentrations vary lot to lot. See vial label for concentration. If unlisted please contact technical services.

Shipping

The product is shipped with polar packs. Upon receipt, store it immediately at the temperature recommended below.

Stability & Storage

Aliquot and store at -20C or -80C. Avoid freeze-thaw cycles.

Background: Fumarase

The protein encoded by this gene is an enzymatic component of the tricarboxylic acid (TCA) cycle, or Krebs cycle, and catalyzes the formation of L-malate from fumarate. It exists in both a cytosolic form and an N-terminal extended form, differing only in the translation start site used. The N-terminal extended form is targeted to the mitochondrion, where the removal of the extension generates the same form as in the cytoplasm. It is similar to some thermostable class II fumarases and functions as a homotetramer. Mutations in this gene can cause fumarase deficiency and lead to progressive encephalopathy.

Alternate Names

EC 4.2.1.2, Fumarase, fumarate hydratase, fumarate hydratase, mitochondrial, HLRCC, LRCC, MCL, MCUL1

Gene Symbol

FH

Additional Fumarase Products

Product Documents for Fumarase Antibody - BSA Free

Certificate of Analysis

To download a Certificate of Analysis, please enter a lot number in the search box below.

Product Specific Notices for Fumarase Antibody - BSA Free

This product is for research use only and is not approved for use in humans or in clinical diagnosis. Primary Antibodies are guaranteed for 1 year from date of receipt.

Loading...
Loading...
Loading...
Loading...

⚠ WARNING: This product can expose you to chemicals including mercury, which is known to the State of California to cause reproductive toxicity with developmental effects.  For more information go to www.P65Warnings.ca.gov.