Skip to main content

Fucosyltransferase 2/FUT2 Antibody

Novus Biologicals, part of Bio-Techne | Catalog # NBP2-26116

Novus Biologicals, part of Bio-Techne
Catalog #
Availability
Size / Price
Qty
Loading...
NBP2-26116

Key Product Details

Species Reactivity

Human

Applications

Immunohistochemistry, Immunohistochemistry-Paraffin, Western Blot, Peptide ELISA

Label

Unconjugated

Antibody Source

Polyclonal Goat IgG

Concentration

0.5 mg/ml

Product Specifications

Immunogen

Peptide with sequence C-HVQQRLAKIQAMWE corresponding to internal region (near N-Terminus) according to NP_000502.4.

Specificity

Reported variants represent identical protein: NP_001091107.1, NP_000502.4

Clonality

Polyclonal

Host

Goat

Isotype

IgG

Description

Novus Biologicals Goat Fucosyltransferase 2/FUT2 Antibody (NBP2-26116) is a polyclonal antibody validated for use in IHC, WB and ELISA. Anti-Fucosyltransferase 2/FUT2 Antibody: Cited in 1 publication. All Novus Biologicals antibodies are covered by our 100% guarantee.

Scientific Data Images for Fucosyltransferase 2/FUT2 Antibody

Western Blot: Fucosyltransferase 2/FUT2 Antibody [NBP2-26116]

Western Blot: Fucosyltransferase 2/FUT2 Antibody [NBP2-26116]

Western Blot: Fucosyltransferase 2/FUT2 Antibody [NBP2-26116] - Staining of Human Liver lysate (35 ug protein in RIPA buffer). Primary incubation was 1 hour. Detected by chemiluminescence.
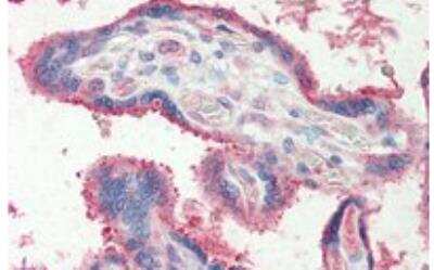
Immunohistochemistry-Paraffin: Fucosyltransferase 2/FUT2 Antibody [NBP2-26116]

Immunohistochemistry-Paraffin: Fucosyltransferase 2/FUT2 Antibody [NBP2-26116]

Immunohistochemistry-Paraffin: Fucosyltransferase 2/FUT2 Antibody [NBP2-26116] - Staining of Human Placenta. Steamed antigen retrieval with citrate buffer pH 6, AP-staining.

Applications for Fucosyltransferase 2/FUT2 Antibody

Application
Recommended Usage

Immunohistochemistry

5 ug/ml

Immunohistochemistry-Paraffin

5 ug/ml

Peptide ELISA

Detection limit 1:64000

Western Blot

1 - 3 ug/ml
Application Notes
WB: Approx. 37 kDa band observed in human liver lysates (calculated MW of 39.0 kDa band according to NP_000502.4.

Formulation, Preparation, and Storage

Purification

Immunogen affinity purified

Formulation

Tris saline (20 mM Tris pH 7.3, 150 mM NaCl), 0.5% BSA

Preservative

0.02% Sodium Azide

Concentration

0.5 mg/ml

Shipping

The product is shipped with polar packs. Upon receipt, store it immediately at the temperature recommended below.

Stability & Storage

Store at -20C. Avoid freeze-thaw cycles.

Background: Fucosyltransferase 2/FUT2

FUT2 - fucosyltransferase 2 (secretor status included)

Alternate Names

B12QTL1, FUT2, Se2, SEC2, SEJ

Entrez Gene IDs

2524 (Human)

Gene Symbol

FUT2

Additional Fucosyltransferase 2/FUT2 Products

Product Documents for Fucosyltransferase 2/FUT2 Antibody

Certificate of Analysis

To download a Certificate of Analysis, please enter a lot number in the search box below.

Product Specific Notices for Fucosyltransferase 2/FUT2 Antibody

This product is for research use only and is not approved for use in humans or in clinical diagnosis. Primary Antibodies are guaranteed for 1 year from date of receipt.

Loading...
Loading...
Loading...
Loading...