FRS3 Antibody - BSA Free
Novus Biologicals, part of Bio-Techne | Catalog # NBP1-83420
Key Product Details
Validated by
Independent Antibodies
Species Reactivity
Validated:
Human, Rat
Predicted:
Mouse (92%). Backed by our 100% Guarantee.
Applications
Immunohistochemistry, Immunohistochemistry-Paraffin, Western Blot
Label
Unconjugated
Antibody Source
Polyclonal Rabbit IgG
Format
BSA Free
Concentration
Concentrations vary lot to lot. See vial label for concentration. If unlisted please contact technical services.
Product Specifications
Immunogen
This antibody was developed against Recombinant Protein corresponding to amino acids: GAGWRLSPEEPGWNGLAHRRAALLHYENLPPLPPVWESQAQQLGGEAGDDGDSRDGLTPSSNGFPDGEEDETPLQKPTSTRAAIRSHGSFPVPLT
Clonality
Polyclonal
Host
Rabbit
Isotype
IgG
Scientific Data Images for FRS3 Antibody - BSA Free
Immunohistochemistry-Paraffin: FRS3 Antibody [NBP1-83420]
Immunohistochemistry-Paraffin: FRS3 Antibody [NBP1-83420] - Staining of human liver.Immunohistochemistry-Paraffin: FRS3 Antibody [NBP1-83420]
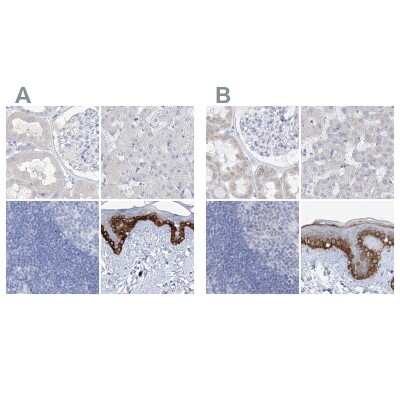
Immunohistochemistry-Paraffin: FRS3 Antibody [NBP1-83420] - Staining of human kidney, liver, lymph node and skin using Anti-FRS3 antibody NBP1-83420 (A) shows similar protein distribution across tissues to independent antibody NBP1-83421 (B).Immunohistochemistry-Paraffin: FRS3 Antibody [NBP1-83420]
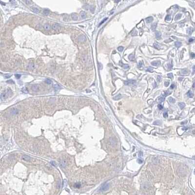
Immunohistochemistry-Paraffin: FRS3 Antibody [NBP1-83420] - Staining of human kidney.Applications for FRS3 Antibody - BSA Free
Application
Recommended Usage
Immunohistochemistry
1:200 - 1:500
Immunohistochemistry-Paraffin
1:200 - 1:500
Western Blot
0.04-0.4 ug/ml
Application Notes
For IHC-Paraffin, HIER pH 6 retrieval is recommended.
Formulation, Preparation, and Storage
Purification
Affinity purified
Formulation
PBS (pH 7.2) and 40% Glycerol
Format
BSA Free
Preservative
0.02% Sodium Azide
Concentration
Concentrations vary lot to lot. See vial label for concentration. If unlisted please contact technical services.
Shipping
The product is shipped with polar packs. Upon receipt, store it immediately at the temperature recommended below.
Stability & Storage
Store at 4C short term. Aliquot and store at -20C long term. Avoid freeze-thaw cycles.
Background: FRS3
Alternate Names
FGFR substrate 3, FGFR-signaling adaptor SNT2, fibroblast growth factor receptor substrate 3, FRS2B, FRS2beta, FRS2-beta, SNT2, SNT-2MGC17167, Suc1-associated neurotrophic factor target 2, suc1-associated neurotrophic factor target 2 (FGFR signalling adaptor)
Gene Symbol
FRS3
Additional FRS3 Products
Product Documents for FRS3 Antibody - BSA Free
Product Specific Notices for FRS3 Antibody - BSA Free
This product is for research use only and is not approved for use in humans or in clinical diagnosis. Primary Antibodies are guaranteed for 1 year from date of receipt.
Loading...
Loading...
Loading...
Loading...