Skip to main content

Frizzled-9 Antibody

Novus Biologicals, part of Bio-Techne | Catalog # NB100-94906

Novus Biologicals, part of Bio-Techne
Catalog #
Availability
Size / Price
Qty
Loading...
NB100-94906

Key Product Details

Species Reactivity

Validated:

Human

Predicted:

Mouse (100%), Rat (100%). Backed by our 100% Guarantee.

Applications

Immunohistochemistry, Immunohistochemistry-Paraffin, Peptide ELISA

Label

Unconjugated

Antibody Source

Polyclonal Goat IgG

Concentration

0.5 mg/ml

Product Specifications

Immunogen

Peptide with sequence C-TKTDPSLENPTH corresponding to C-Terminus according to NP_003499.1.

Epitope

C-TKTDPSLENPTH

Clonality

Polyclonal

Host

Goat

Isotype

IgG

Description

Novus Biologicals Goat Frizzled-9 Antibody (NB100-94906) is a polyclonal antibody validated for use in IHC and ELISA. Anti-Frizzled-9 Antibody: Cited in 1 publication. All Novus Biologicals antibodies are covered by our 100% guarantee.

Scientific Data Images for Frizzled-9 Antibody

Immunohistochemistry-Paraffin: Frizzled-9 Antibody [NB100-94906]

Immunohistochemistry-Paraffin: Frizzled-9 Antibody [NB100-94906]

Immunohistochemistry-Paraffin: Frizzled-9 Antibody [NB100-94906] - Staining of paraffin embedded Human Thyroid. Antibody at 5 ug/mL. Steamed antigen retrieval with citrate buffer pH 6, AP-staining.
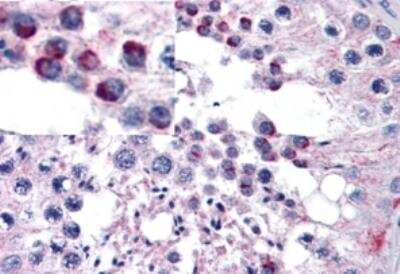
Immunohistochemistry-Paraffin: Frizzled-9 Antibody [NB100-94906]

Immunohistochemistry-Paraffin: Frizzled-9 Antibody [NB100-94906]

Immunohistochemistry-Paraffin: Frizzled-9 Antibody [NB100-94906] - Staining of paraffin embedded Human Testis. Antibody at 5 ug/mL. Steamed antigen retrieval with citrate buffer pH 6, AP-staining.

Applications for Frizzled-9 Antibody

Application
Recommended Usage

Immunohistochemistry

5 ug/mL

Immunohistochemistry-Paraffin

5 ug/mL

Peptide ELISA

Detection limit 1:32000

Formulation, Preparation, and Storage

Purification

Immunogen affinity purified

Formulation

Tris saline (20 mM Tris pH 7.3, 150 mM NaCl), 0.5% BSA

Preservative

0.02% Sodium Azide

Concentration

0.5 mg/ml

Shipping

The product is shipped with polar packs. Upon receipt, store it immediately at the temperature recommended below.

Stability & Storage

Store at -20C. Avoid freeze-thaw cycles.

Background: Frizzled-9

Members of the 'frizzled' gene family encode 7-transmembrane domain proteins that are receptors for Wnt signaling proteins. The FZD9 gene is located within the Williams syndrome common deletion region of chromosome 7, and heterozygous deletion of the FZD9 gene may contribute to the Williams syndrome phenotype. FZD9 is expressed predominantly in brain, testis, eye, skeletal muscle, and kidney.

Alternate Names

CD349, Frizzled9, FZD9

Entrez Gene IDs

8326 (Human); 14371 (Mouse); 266608 (Rat)

Gene Symbol

FZD9

Additional Frizzled-9 Products

Product Documents for Frizzled-9 Antibody

Certificate of Analysis

To download a Certificate of Analysis, please enter a lot number in the search box below.

Product Specific Notices for Frizzled-9 Antibody

This product is for research use only and is not approved for use in humans or in clinical diagnosis. Primary Antibodies are guaranteed for 1 year from date of receipt.

Loading...
Loading...
Loading...
Loading...