Skip to main content

Frizzled-7 Antibody - BSA Free

Novus Biologicals, part of Bio-Techne | Catalog # NBP2-55952

Novus Biologicals, part of Bio-Techne
Catalog #
Availability
Size / Price
Qty
Loading...
NBP2-55952
NBP2-55952-25ul

Key Product Details

Species Reactivity

Human

Applications

Immunocytochemistry/ Immunofluorescence, Immunohistochemistry, Immunohistochemistry-Paraffin

Label

Unconjugated

Antibody Source

Polyclonal Rabbit IgG

Format

BSA Free

Concentration

Concentrations vary lot to lot. See vial label for concentration. If unlisted please contact technical services.

Product Specifications

Immunogen

This antibody was developed against a recombinant protein corresponding to the following amino acid sequence: CVGQNTSDGSGGPGGGPTAYPTAPYLPDLPFTAL

Reactivity Notes

Mouse 88%, Rat 88%

Clonality

Polyclonal

Host

Rabbit

Isotype

IgG

Description

Novus Biologicals Rabbit Frizzled-7 Antibody - BSA Free (NBP2-55952) is a polyclonal antibody validated for use in IHC and ICC/IF. All Novus Biologicals antibodies are covered by our 100% guarantee.

Scientific Data Images for Frizzled-7 Antibody - BSA Free

Immunocytochemistry/ Immunofluorescence: Frizzled-7 Antibody [NBP2-55952]

Immunocytochemistry/ Immunofluorescence: Frizzled-7 Antibody [NBP2-55952]

Immunocytochemistry/Immunofluorescence: Frizzled-7 Antibody [NBP2-55952] - Staining of human cell line CACO-2 shows localization to nucleoplasm.
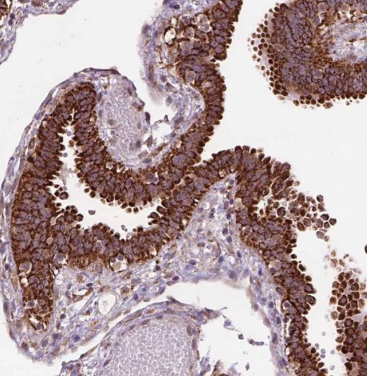
Frizzled-7 Antibody - BSA Free

Frizzled-7 Antibody [NBP2-55952] -

Staining of human fallopian tube shows strong cytoplasmic positivity in glandular cells.
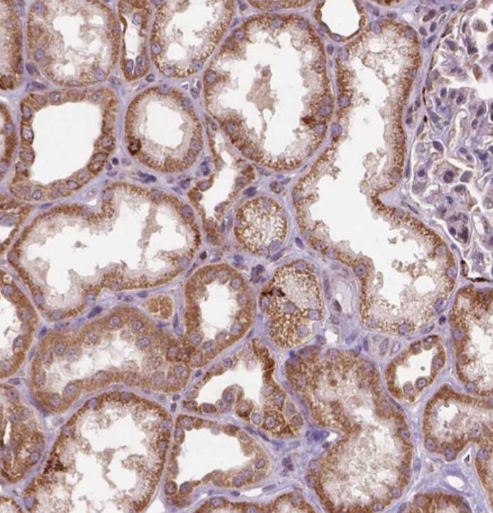
Frizzled-7 Antibody - BSA Free

Frizzled-7 Antibody [NBP2-55952] -

Staining of human kidney shows strong cytoplasmic positivity in cells in tubules.

Applications for Frizzled-7 Antibody - BSA Free

Application
Recommended Usage

Immunocytochemistry/ Immunofluorescence

0.25-2 ug/ml

Immunohistochemistry

1:200 - 1:500

Immunohistochemistry-Paraffin

1:200 - 1:500
Application Notes
CC/IF, Fixation Permeabilization: Use PFA/Triton X-100. IHC-P, Retrieval method: HIER pH6.

Formulation, Preparation, and Storage

Purification

Affinity purified

Formulation

PBS (pH 7.2) and 40% Glycerol

Format

BSA Free

Preservative

0.02% Sodium Azide

Concentration

Concentrations vary lot to lot. See vial label for concentration. If unlisted please contact technical services.

Shipping

The product is shipped with polar packs. Upon receipt, store it immediately at the temperature recommended below.

Stability & Storage

Store at 4C short term. Aliquot and store at -20C long term. Avoid freeze-thaw cycles.

Background: Frizzled-7

Members of the 'frizzled' gene family encode 7-transmembrane domain proteins that are receptors for Wnt signaling proteins. The FZD7 protein contains an N-terminal signal sequence, 10 cysteine residues typical of the cysteine-rich extracellular domain of Fz family members, 7 putative transmembrane domains, and an intracellular C-terminal tail with a PDZ domain-binding motif. FZD7 gene expression may downregulate APC function and enhance beta-catenin-mediated signals in poorly differentiated human esophageal carcinomas. [provided by RefSeq]

Alternate Names

Frizzled7, FZD7

Gene Symbol

FZD7

Additional Frizzled-7 Products

Product Documents for Frizzled-7 Antibody - BSA Free

Certificate of Analysis

To download a Certificate of Analysis, please enter a lot number in the search box below.

Product Specific Notices for Frizzled-7 Antibody - BSA Free

This product is for research use only and is not approved for use in humans or in clinical diagnosis. Primary Antibodies are guaranteed for 1 year from date of receipt.

Loading...
Loading...
Loading...
Loading...