Skip to main content

Frizzled-2 Antibody - BSA Free

Novus Biologicals, part of Bio-Techne | Catalog # NBP2-33842

Novus Biologicals, part of Bio-Techne
Catalog #
Availability
Size / Price
Qty
Loading...
NBP2-33842-25ul
NBP2-33842

Key Product Details

Species Reactivity

Validated:

Human

Predicted:

Mouse (100%), Rat (97%). Backed by our 100% Guarantee.

Applications

Immunohistochemistry, Immunohistochemistry-Paraffin, Immunocytochemistry/ Immunofluorescence

Label

Unconjugated

Antibody Source

Polyclonal Rabbit IgG

Format

BSA Free

Concentration

Concentrations vary lot to lot. See vial label for concentration. If unlisted please contact technical services.

Product Specifications

Immunogen

This antibody was developed against a recombinant protein corresponding to amino acids: LRCEHFPRHGAEQICVGQNHSEDGAPALLTTAP

Clonality

Polyclonal

Host

Rabbit

Isotype

IgG

Scientific Data Images for Frizzled-2 Antibody - BSA Free

Immunocytochemistry/ Immunofluorescence: Frizzled-2 Antibody [NBP2-33842]

Immunocytochemistry/ Immunofluorescence: Frizzled-2 Antibody [NBP2-33842]

Immunocytochemistry/Immunofluorescence: Frizzled-2 Antibody [NBP2-33842] - Immunofluorescent staining of human cell line CACO-2 shows localization to nuclear bodies & cell junctions.
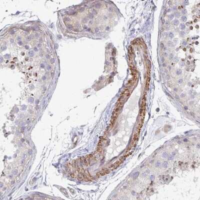
Immunohistochemistry-Paraffin: Frizzled-2 Antibody [NBP2-33842]

Immunohistochemistry-Paraffin: Frizzled-2 Antibody [NBP2-33842]

Immunohistochemistry-Paraffin: Frizzled-2 Antibody [NBP2-33842] - Staining of human testis shows weak to moderate cytoplasmic positivity in smooth muscle cells.
Immunohistochemistry-Paraffin: Frizzled-2 Antibody [NBP2-33842]

Immunohistochemistry-Paraffin: Frizzled-2 Antibody [NBP2-33842]

Immunohistochemistry-Paraffin: Frizzled-2 Antibody [NBP2-33842] - Staining of human cerebral cortex shows no positivity in neurons.

Applications for Frizzled-2 Antibody - BSA Free

Application
Recommended Usage

Immunocytochemistry/ Immunofluorescence

0.25-2 ug/ml

Immunohistochemistry

1:20 - 1:50

Immunohistochemistry-Paraffin

1:20 - 1:50
Application Notes
For IHC-Paraffin, HIER pH 6 retrieval is recommended. ICC/IF Fixation Permeabilization: Use PFA/Triton X-100.

Formulation, Preparation, and Storage

Purification

Affinity purified

Formulation

PBS (pH 7.2) and 40% Glycerol

Format

BSA Free

Preservative

0.02% Sodium Azide

Concentration

Concentrations vary lot to lot. See vial label for concentration. If unlisted please contact technical services.

Shipping

The product is shipped with polar packs. Upon receipt, store it immediately at the temperature recommended below.

Stability & Storage

Store at 4C short term. Aliquot and store at -20C long term. Avoid freeze-thaw cycles.

Background: Frizzled-2

Frizzled 2 is a receptor for Wnt proteins. Most of the frizzled receptors are coupled to the beta-catenin canonical signaling pathway, which leads to the activation of dishevelled proteins, inhibition of GSK3 kinase, nuclear accumulation of beta-catenin and activation of Wnt target genes. A second signaling pathway involving PKC and calcium fluxes has been seen for some family members, but it is not yet clear if it represents a distinct pathway or if it can be integrated in the canonical pathway, as PKC seems to be required for Wnt-mediated inactivation of GSK3 kinase. Both pathways seem to involve interactions with G-proteins.

Alternate Names

Frizzled2, FZD2

Gene Symbol

FZD2

UniProt

Additional Frizzled-2 Products

Product Documents for Frizzled-2 Antibody - BSA Free

Certificate of Analysis

To download a Certificate of Analysis, please enter a lot number in the search box below.

Product Specific Notices for Frizzled-2 Antibody - BSA Free

This product is for research use only and is not approved for use in humans or in clinical diagnosis. Primary Antibodies are guaranteed for 1 year from date of receipt.

Loading...
Loading...
Loading...
Loading...