Skip to main content

Frataxin Antibody - BSA Free

Novus Biologicals, part of Bio-Techne | Catalog # NBP2-57717

Novus Biologicals, part of Bio-Techne
Catalog #
Availability
Size / Price
Qty
Loading...
NBP2-57717
NBP2-57717-25ul

Key Product Details

Species Reactivity

Human

Applications

Immunohistochemistry, Immunohistochemistry-Paraffin

Label

Unconjugated

Antibody Source

Polyclonal Rabbit IgG

Format

BSA Free

Concentration

Concentrations vary lot to lot. See vial label for concentration. If unlisted please contact technical services.

Product Specifications

Immunogen

This antibody was developed against a recombinant protein corresponding to the following amino acid sequence: RTDIDATCTPRRASSNQRGLNQIWNVKKQSVYLMNLRKSGTLGHPGSLDETTYERLAEETLDSLAEFFEDLADKPYTFEDYDV

Clonality

Polyclonal

Host

Rabbit

Isotype

IgG

Description

Novus Biologicals Rabbit Frataxin Antibody - BSA Free (NBP2-57717) is a polyclonal antibody validated for use in IHC. All Novus Biologicals antibodies are covered by our 100% guarantee.

Scientific Data Images for Frataxin Antibody - BSA Free

Immunohistochemistry-Paraffin: Frataxin Antibody [NBP2-57717]

Immunohistochemistry-Paraffin: Frataxin Antibody [NBP2-57717]

Immunohistochemistry-Paraffin: Frataxin Antibody [NBP2-57717] - Staining of human tonsil shows strong granular cytoplasmic positivity in non-germinal center cells.
Immunohistochemistry-Paraffin: Frataxin Antibody [NBP2-57717]

Immunohistochemistry-Paraffin: Frataxin Antibody [NBP2-57717]

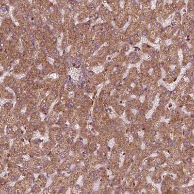
Immunohistochemistry-Paraffin: Frataxin Antibody [NBP2-57717] - Staining of human liver shows strong granular cytoplasmic positivity in hepatocytes.
Immunohistochemistry-Paraffin: Frataxin Antibody [NBP2-57717]

Immunohistochemistry-Paraffin: Frataxin Antibody [NBP2-57717]

Immunohistochemistry-Paraffin: Frataxin Antibody [NBP2-57717] - Staining of human testis shows strong granular cytoplasmic positivity in cells in seminiferous ducts.

Applications for Frataxin Antibody - BSA Free

Application
Recommended Usage

Immunohistochemistry

1:200 - 1:500

Immunohistochemistry-Paraffin

1:200 - 1:500
Application Notes
For IHC-Paraffin, HIER pH 6 retrieval is recommended.

Formulation, Preparation, and Storage

Purification

Affinity purified

Formulation

PBS (pH 7.2) and 40% Glycerol

Format

BSA Free

Preservative

0.02% Sodium Azide

Concentration

Concentrations vary lot to lot. See vial label for concentration. If unlisted please contact technical services.

Shipping

The product is shipped with polar packs. Upon receipt, store it immediately at the temperature recommended below.

Stability & Storage

Store at 4C short term. Aliquot and store at -20C long term. Avoid freeze-thaw cycles.

Background: Frataxin

Frataxin encodes a mitochondrial protein which belongs to FRATAXIN family. The protein functions in regulating mitochondrial iron transport and respiration. The expansion of intronic trinucleotide repeat GAA results in Friedreich ataxia. Alternative splicing occurs at this locus and two transcript variants encoding distinct isoforms have been identified.

Alternate Names

CyaY, EC 1.16.3.1, FA, FARRmitochondrial, frataxin, Friedreich ataxia, Friedreich ataxia protein, Fxn, X25MGC57199

Gene Symbol

FXN

Additional Frataxin Products

Product Documents for Frataxin Antibody - BSA Free

Certificate of Analysis

To download a Certificate of Analysis, please enter a lot number in the search box below.

Product Specific Notices for Frataxin Antibody - BSA Free

This product is for research use only and is not approved for use in humans or in clinical diagnosis. Primary Antibodies are guaranteed for 1 year from date of receipt.

Loading...
Loading...
Loading...
Loading...