Skip to main content

FoxP3 Antibody - BSA Free

Novus Biologicals, part of Bio-Techne | Catalog # NB100-39002

Novus Biologicals, part of Bio-Techne

Key Product Details

Species Reactivity

Validated:

Human, Mouse, Rat, Bovine

Cited:

Human, Mouse, Rat

Applications

Validated:

Immunohistochemistry, Immunohistochemistry-Paraffin, Western Blot, Immunoblotting, Flow Cytometry, Dual RNAscope ISH-IHC, Immunocytochemistry/ Immunofluorescence, Immunoprecipitation, Single Cell Western

Cited:

Immunohistochemistry, Immunohistochemistry-Paraffin, Immunohistochemistry-Frozen, Western Blot, Flow Cytometry, Immunocytochemistry/ Immunofluorescence, Multiplex Immunoassay, IF/IHC

Label

Unconjugated

Antibody Source

Polyclonal Rabbit IgG

Format

BSA Free

Concentration

1.0 mg/ml

Product Specifications

Immunogen

A peptide corresponding to amino acids 43-100 of mouse FOXP3. [Swiss-Prot# Q99JB6]

Reactivity Notes

This antibody shows reactivity against mouse CD4+CD25+T cells. There appears to be no reactivity against human Jurkat and mouse CD4+CD25-T cell lysates. Human reactivity reported in scientific literature (PMID: 23922187). Rat reactivity reported in scientific literature (PMID: 27758771). Bovine reativity reported from a verified customer review.

Localization

Nuclear

Clonality

Polyclonal

Host

Rabbit

Isotype

IgG

Description

Novus Biologicals Rabbit FoxP3 Antibody - BSA Free (NB100-39002) is a polyclonal antibody validated for use in IHC, WB, Flow, Dual RNAscope ISH-IHC, ICC/IF and IP. Anti-FoxP3 Antibody: Cited in 61 publications. All Novus Biologicals antibodies are covered by our 100% guarantee.

Scientific Data Images for FoxP3 Antibody - BSA Free

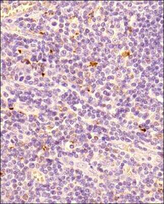
Immunohistochemistry-Paraffin: FoxP3 Antibody - BSA Free [NB100-39002]

Immunohistochemistry-Paraffin: FoxP3 Antibody - BSA Free [NB100-39002]

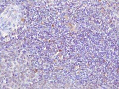
Immunohistochemistry-Paraffin: FoxP3 Antibody [NB100-39002] - Mouse spleen stained with FoxP3 antibody. IHC-P image submitted by a verified customer review.
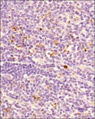
Immunohistochemistry-Paraffin: FoxP3 Antibody - BSA Free [NB100-39002]

Immunohistochemistry-Paraffin: FoxP3 Antibody - BSA Free [NB100-39002]

FoxP3-Antibody-Immunohistochemistry-Paraffin-NB100-39002-img0025.jpg
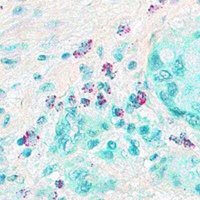
Immunohistochemistry: FoxP3 Antibody - BSA Free [NB100-39002]

Immunohistochemistry: FoxP3 Antibody - BSA Free [NB100-39002]

FoxP3-Antibody-Immunohistochemistry-NB100-39002-img0027.jpg

Applications for FoxP3 Antibody - BSA Free

Application
Recommended Usage

Flow Cytometry

1:8000

Immunoblotting

reported in scientific literature (PMID 26485285)

Immunocytochemistry/ Immunofluorescence

1:500

Immunohistochemistry

1:400

Immunohistochemistry-Paraffin

1:400. Use reported by customer review

Single Cell Western

100 ug/mL

Western Blot

1:2000
Application Notes
Prior to immunostaining paraffin tissues, antigen retrieval with sodium citrate buffer (pH 6.0) is recommended. SCW is validating using FoxP3-transfected HEK293T cells.

Reviewed Applications

Read 2 reviews rated 4 using NB100-39002 in the following applications:

Formulation, Preparation, and Storage

Purification

Epitope affinity purified

Formulation

PBS

Format

BSA Free

Preservative

0.05% Sodium Azide

Concentration

1.0 mg/ml

Shipping

The product is shipped with polar packs. Upon receipt, store it immediately at the temperature recommended below.

Stability & Storage

Aliquot and store at -20C or -80C. Avoid freeze-thaw cycles.

Background: FoxP3

FOXP3 (a 381 amino acid protein) is a member of the forkhead/winged-helix family of transcriptional regulators and is highly conserved across mammals. FOXP3 is essential for normal immune homeostasis. FOXP3 is stably and constitutively expressed at a high level in CD25 + CD4 positive regulatory T cells, a low level in CD4-positive/CD25-negative cells, and is absent in CD4-negative/CD8-positive T cells. FOXP3 may be a master regulatory gene and a more specific marker of regulatory T cells than other T cells.

Long Name

Forkhead Box P3

Alternate Names

AIID, DIETER, IPEX, JM2, PIDX, SCURFIN, XPID, anti-human foxp3, anti-mouse foxp3, foxp3 ihc, foxp3 paraffin

Entrez Gene IDs

20371 (Mouse)

Gene Symbol

FOXP3

UniProt

Additional FoxP3 Products

Product Documents for FoxP3 Antibody - BSA Free

Certificate of Analysis

To download a Certificate of Analysis, please enter a lot number in the search box below.

Product Specific Notices for FoxP3 Antibody - BSA Free

This product is for research use only and is not approved for use in humans or in clinical diagnosis. Primary Antibodies are guaranteed for 1 year from date of receipt.

Loading...
Loading...
Loading...
Loading...
Loading...
Loading...