Skip to main content

FoxP3 Antibody (FXP3/197)

Novus Biologicals, part of Bio-Techne | Catalog # NBP2-34282

Novus Biologicals, part of Bio-Techne
Catalog #
Availability
Size / Price
Qty
Loading...
NBP2-34282-0.1mg
NBP2-34282-0.02mg

Key Product Details

Species Reactivity

Human, Mouse, Monkey

Applications

Immunohistochemistry, Immunohistochemistry-Paraffin, Western Blot, Flow Cytometry, Immunocytochemistry/ Immunofluorescence

Label

Unconjugated

Antibody Source

Monoclonal Mouse IgG1 kappa Clone # FXP3/197

Concentration

0.2 mg/ml

Product Specifications

Immunogen

Recombinant human full-length FoxP3 protein (Uniprot: Q9ZS1)

Localization

Nuclear and Cytoplasmic

Specificity

Recognizes a protein of 47-55kDa, which is identified as FOXP3. Its precise epitope is not known, but it has been mapped to the N-terminal portion of the protein. The FOX family of transcription factors is a large group of proteins that share a common DNA binding domain termed a winged-helix or forkhead domain. During early development, FOXP1 and FOXP2 are expressed abundantly in the lung, with lower levels of expression in neural, intestinal and cardiovascular tissues, where they act as transcription repressors. FOXP1 is widely expressed in adult tissues, while neoplastic cells often exhibit a dramatic change in expression level or localization of FOXP1. Mutations in FOXP3 gene cause IPEX, a fatal, X-linked inherited disorder characterized by immune dysregulation. The FOXP3 protein is essential for normal immune homeostasis. Specifically, FOXP3 represses transcription through a DNA binding forkhead domain, thereby regulating T cell activation.

Clonality

Monoclonal

Host

Mouse

Isotype

IgG1 kappa

Description

200ug/ml of antibody purified from Bioreactor Concentrate by Protein A or G. Prepared in 10 mM PBS with 0.05% BSA & 0.05% azide. Also available WITHOUT BSA & azide at 1.0 mg/ml. (NBP2-34620)

Antibody with azide - store at 2 to 8C. Antibody without azide - store at -20 to -80C.

Scientific Data Images for FoxP3 Antibody (FXP3/197)

Immunohistochemistry-Paraffin: FoxP3 Antibody (FXP3/197) [NBP2-34282]

Immunohistochemistry-Paraffin: FoxP3 Antibody (FXP3/197) [NBP2-34282]

Immunohistochemistry-Paraffin: FoxP3 Antibody (FXP3/197) [NBP2-34282] - Formalin-fixed, paraffin-embedded human Testicular Carcinoma stained with FOXP3 Monoclonal Antibody (FXP3/197).
Immunohistochemistry-Paraffin: FoxP3 Antibody (FXP3/197) [NBP2-34282]

Immunohistochemistry-Paraffin: FoxP3 Antibody (FXP3/197) [NBP2-34282]

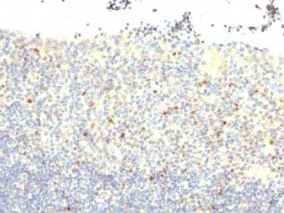
Immunohistochemistry-Paraffin: FoxP3 Antibody (FXP3/197) [NBP2-34282] - Formalin-fixed, paraffin-embedded human Tonsil stained with FOXP3 Monoclonal Antibody (FXP3/197).

Applications for FoxP3 Antibody (FXP3/197)

Application
Recommended Usage

Flow Cytometry

0.5-1 ug/million cells

Immunocytochemistry/ Immunofluorescence

0.5-1 ug/ml

Immunohistochemistry-Paraffin

1-2 ug/ml

Western Blot

1-2 ug/ml
Application Notes
Immunohistochemistry (Formalin-fixed): 1-2ug/ml for 30 minutes at RT. Staining of formalin-fixed tissues requires heating tissue sections in 10mM Tris buffer with 1mM EDTA, pH 9.0, for 45 min at 95C followed by cooling at RT for 20 minutes.
Optimal dilution for a specific application should be determined.

Formulation, Preparation, and Storage

Purification

Protein A or G purified

Formulation

10 mM PBS with 0.05% BSA

Preservative

0.05% Sodium Azide

Concentration

0.2 mg/ml

Shipping

The product is shipped with polar packs. Upon receipt, store it immediately at the temperature recommended below.

Stability & Storage

Store at 4C.

Background: FoxP3

Forkhead box P3 (FoxP3), aka Scurfin and JM2, is a protein involving in immune system responses and functioning as a transcriptional regulator crucial in the development and inhibitory of regulatory T-Cells (Treg). FoxP3 is a master regulator of the Treg lineage, who requires Ahr and STAT-5 and other additional transcription factors to retains its complete function and differentiation. Scurfin remains steady and constitutively expressed in two conditions: a high level in CD25 + CD4 positive regulatory T cells and a low level in CD4 positive/CD25 negative cells. JM2 is absent in CD4 negative/CD8 positive T cells. FoxP3 defects are related to various cancers and autoimmune diseases, and X-linked syndrome (IPEX), while overexpression may also cause severe immunodeficiency.

Long Name

Forkhead Box P3

Alternate Names

AIID, DIETER, IPEX, JM2, PIDX, SCURFIN, XPID

Gene Symbol

FOXP3

UniProt

Additional FoxP3 Products

Product Documents for FoxP3 Antibody (FXP3/197)

Certificate of Analysis

To download a Certificate of Analysis, please enter a lot number in the search box below.

Product Specific Notices for FoxP3 Antibody (FXP3/197)

This product is for research use only and is not approved for use in humans or in clinical diagnosis. Primary Antibodies are guaranteed for 1 year from date of receipt.

Loading...
Loading...
Loading...
Loading...
Loading...
Loading...