Skip to main content

FoxP2 Antibody (CL5310) - Azide and BSA Free

Novus Biologicals, part of Bio-Techne | Catalog # NBP3-43816

Novus Biologicals, part of Bio-Techne
Catalog #
Availability
Size / Price
Qty
Loading...
NBP3-43816

Key Product Details

Species Reactivity

Human, Mouse

Applications

Immunohistochemistry-Paraffin, Immunocytochemistry/ Immunofluorescence

Label

Unconjugated

Antibody Source

Monoclonal Mouse IgG1 Clone # CL5310

Format

Azide and BSA Free

Concentration

LYOPH mg/ml

Product Specifications

Immunogen

This antibody was generated using a recombinant protein sequence of O15409, with the exact immunogen sequence remaining proprietary.

Clonality

Monoclonal

Host

Mouse

Isotype

IgG1

Description

Novus Biologicals Mouse FoxP2 Antibody (CL5310) - Azide and BSA Free (NBP2-61412) is a monoclonal antibody validated for use in IHC and ICC/IF. All Novus Biologicals antibodies are covered by our 100% guarantee.

Scientific Data Images for FoxP2 Antibody (CL5310) - Azide and BSA Free

FoxP2 Antibody (CL5310) - Azide and BSA Free Immunohistochemistry-Paraffin: FoxP2 Antibody [NBP3-43816]

Immunohistochemistry-Paraffin: FoxP2 Antibody [NBP3-43816]

Staining of human fallopian tube shows weak to moderate nuclear positivity in glandular cells.
FoxP2 Antibody (CL5310) - Azide and BSA Free Immunohistochemistry-Paraffin: FoxP2 Antibody [NBP3-43816]

Immunohistochemistry-Paraffin: FoxP2 Antibody [NBP3-43816]

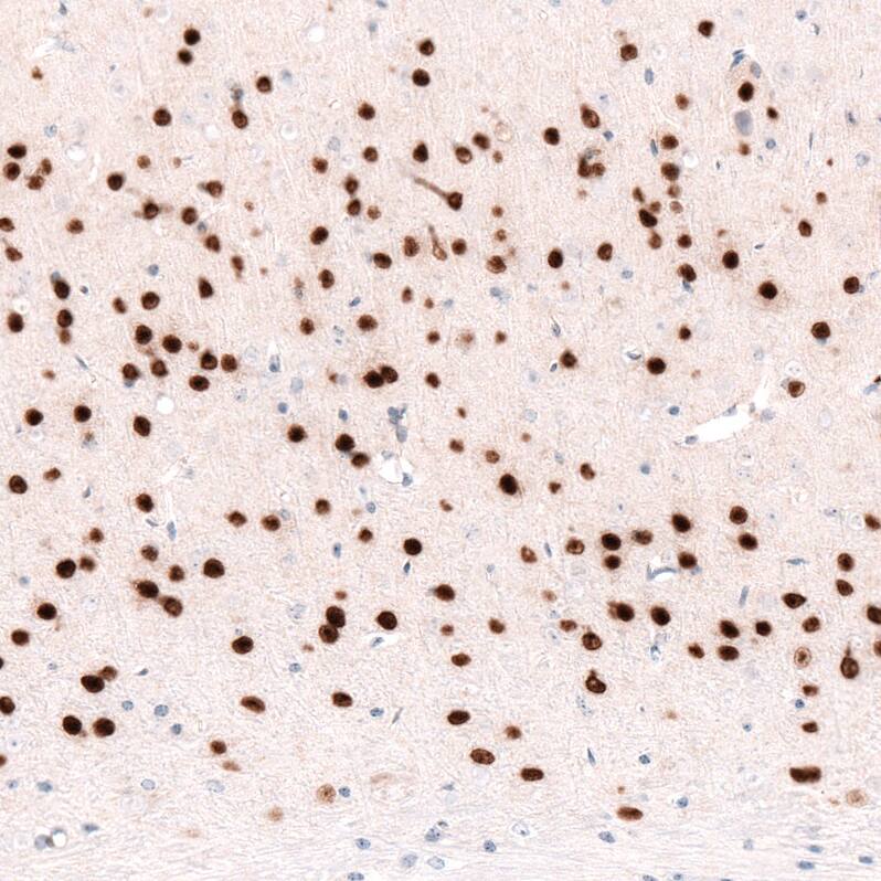
Staining of human cerebral cortex shows strong nuclear positivity in deep layers neurons.
FoxP2 Antibody (CL5310) - Azide and BSA Free Immunohistochemistry-Paraffin: FoxP2 Antibody [NBP3-43816]

Immunohistochemistry-Paraffin: FoxP2 Antibody [NBP3-43816]

Staining of human rectum shows strong nuclear positivity in glandular cells.

Applications for FoxP2 Antibody (CL5310) - Azide and BSA Free

Application
Recommended Usage

Immunocytochemistry/ Immunofluorescence

2-10 ug/ml

Immunohistochemistry-Paraffin

1:500 - 1:1000
Application Notes
For IHC-Paraffin, HIER pH 6 retrieval is recommended. Immunocytochemistry/Immunofluorescence Fixation Permeabilization: PFA/Triton X-100

Formulation, Preparation, and Storage

Purification

Protein A purified

Reconstitution

Centrifuge the vial of lyophilized antibody at 12,000 x g for 20 seconds. Reconstitute by adding sterile, distilled water to achieve a final antibody concentration of 1mg/ml.

Formulation

Lyophilized from a 0.2 um filtered solution in PBS with Trehalose

Format

Azide and BSA Free

Preservative

No Preservative

Concentration

LYOPH mg/ml

Shipping

The product is shipped at ambient temperature. Upon receipt, store it immediately at the temperature recommended below.

Stability & Storage

Store at 4C short term. Aliquot and store at -20C long term. Avoid freeze-thaw cycles.

Background: FoxP2

FOXP2 encodes an evolutionarily conserved transcription factor expressed in fetal and adult brain. This transcription factor is a member of the forkhead/winged-helix (FOX) family of transcription factors, and contains a FOX DNA-binding domain and a large polyglutamine tract. Members of the FOX family of transcription factors are regulators of embryogenesis. The product of this gene is thought to be required for proper development of speech and language regions of the brain during embryogenesis. Although a point mutation in this gene has been associated with the KE pedigree segregating developmental verbal dyspraxia, no association between mutations in this gene and another speech disorder, autism, has been found. Four alternative transcripts encoding three different isoforms have been identified.

Long Name

Forkhead Box P2

Alternate Names

CAGH44, SPCH1, TNRC10

Gene Symbol

FOXP2

Additional FoxP2 Products

Product Documents for FoxP2 Antibody (CL5310) - Azide and BSA Free

Certificate of Analysis

To download a Certificate of Analysis, please enter a lot number in the search box below.

Product Specific Notices for FoxP2 Antibody (CL5310) - Azide and BSA Free

This product is for research use only and is not approved for use in humans or in clinical diagnosis. Primary Antibodies are guaranteed for 1 year from date of receipt.

Loading...
Loading...
Loading...
Loading...
Loading...