Skip to main content

FOXO3 Antibody - BSA Free

Novus Biologicals, part of Bio-Techne | Catalog # NBP2-16521

Catalog #
Availability
Size / Price
Qty
Loading...
NBP2-16521

Key Product Details

Validated by

Knockout/Knockdown, Orthogonal Validation

Species Reactivity

Validated:

Human, Mouse, Rat, Squirrel, Xenopus

Cited:

Human, Mouse

Predicted:

Bovine (100%), Porcine (100%), Sheep (100%). Backed by our 100% Guarantee.

Applications

Validated:

Immunohistochemistry, Immunohistochemistry-Paraffin, Western Blot, Immunocytochemistry/ Immunofluorescence, Immunoprecipitation, Chromatin Immunoprecipitation (ChIP), Knockdown Validated

Cited:

Western Blot, Immunoprecipitation, Chromatin Immunoprecipitation (ChIP), Chemotaxis, IF/IHC

Label

Unconjugated

Antibody Source

Polyclonal Rabbit IgG

Format

BSA Free

Concentration

Concentrations vary lot to lot. See vial label for concentration. If unlisted please contact technical services.

Product Specifications

Immunogen

Carrier-protein conjugated synthetic peptide encompassing a sequence within the C-terminus region of human FOXO3. The exact sequence is proprietary.

Localization

Cytoplasm, Cytosol, Nucleus

Clonality

Polyclonal

Host

Rabbit

Isotype

IgG

Theoretical MW

71 kDa.
Disclaimer note: The observed molecular weight of the protein may vary from the listed predicted molecular weight due to post translational modifications, post translation cleavages, relative charges, and other experimental factors.

Scientific Data Images for FOXO3 Antibody - BSA Free

Western Blot: FOXO3 Antibody [NBP2-16521]

Western Blot: FOXO3 Antibody [NBP2-16521]

Western Blot: FOXO3 Antibody [NBP2-16521] - FoxO3 expression in nuclear and cytosolic fraction of human breast cancer cell line MDA-MB-231. Image from verified customer review.
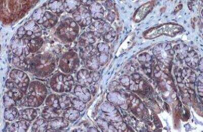
Immunohistochemistry-Paraffin: FOXO3 Antibody [NBP2-16521]

Immunohistochemistry-Paraffin: FOXO3 Antibody [NBP2-16521]

Immunohistochemistry-Paraffin: FOXO3 Antibody [NBP2-16521] - Mouse duodenum. FOXO3A stained by FOXO3A antibody [C3], C-term diluted at 1:2000. Antigen Retrieval: Citrate buffer, pH 6.0, 15 min.
FOXO3-Antibody-Chromatin-Immunoprecipitation-ChIP-NBP2-16521-img0030.jpg

Applications for FOXO3 Antibody - BSA Free

Application
Recommended Usage

Chromatin Immunoprecipitation (ChIP)

Reported in scientific literature (PMID: 26229077)

Immunocytochemistry/ Immunofluorescence

1:100-1:1000

Immunohistochemistry

1:100-1:1000

Immunohistochemistry-Paraffin

1:100-1:1000

Immunoprecipitation

1:100-1:500

Western Blot

1:500-1:3000

Reviewed Applications

Read 4 reviews rated 4 using NBP2-16521 in the following applications:

Formulation, Preparation, and Storage

Purification

Antigen Affinity-purified

Formulation

PBS, 20% Glycerol

Format

BSA Free

Preservative

0.025% Proclin 300

Concentration

Concentrations vary lot to lot. See vial label for concentration. If unlisted please contact technical services.

Shipping

The product is shipped with polar packs. Upon receipt, store it immediately at the temperature recommended below.

Stability & Storage

Aliquot and store at -20C or -80C. Avoid freeze-thaw cycles.

Background: FoxO3

This gene belongs to the forkhead family of transcription factors which are characterized by a distinct forkhead domain. This gene likely functions as a trigger for apoptosis through expression of genes necessary for cell death. Translocation of this gene with the MLL gene is associated with secondary acute leukemia. Alternatively spliced transcript variants encoding the same protein have been observed. [provided by RefSeq]

Long Name

Forkhead Box O3

Alternate Names

AF6q21, FKHRL1, FKHRL1P2, FOXO3A

Gene Symbol

FOXO3

UniProt

Additional FoxO3 Products

Product Documents for FOXO3 Antibody - BSA Free

Certificate of Analysis

To download a Certificate of Analysis, please enter a lot number in the search box below.

Product Specific Notices for FOXO3 Antibody - BSA Free

This product is for research use only and is not approved for use in humans or in clinical diagnosis. Primary Antibodies are guaranteed for 1 year from date of receipt.

Loading...
Loading...
Loading...
Loading...

⚠ WARNING: This product can expose you to chemicals including mercury, which is known to the State of California to cause reproductive toxicity with developmental effects.  For more information go to www.P65Warnings.ca.gov.