Skip to main content

FOXO3 Antibody - BSA Free

Novus Biologicals, part of Bio-Techne | Catalog # NB100-613

Novus Biologicals, part of Bio-Techne

Key Product Details

Validated by

Independent Antibodies, Biological Validation

Species Reactivity

Human, Mouse

Applications

Immunohistochemistry, Immunohistochemistry-Paraffin, Western Blot, Immunoprecipitation

Label

Unconjugated

Antibody Source

Polyclonal Rabbit IgG

Format

BSA Free

Concentration

1.0 mg/ml

Product Specifications

Immunogen

The immunogen recognized by this antibody maps to a region between residues 250 and 300 of human Forkhead Box O3a using the numbering given in Swiss-Prot entry O43524 (GeneID 2309).

Clonality

Polyclonal

Host

Rabbit

Isotype

IgG

Description

Novus Biologicals Rabbit FOXO3 Antibody - BSA Free (NB100-613) is a polyclonal antibody validated for use in IHC, WB and IP. Anti-FOXO3 Antibody: Cited in 1 publication. All Novus Biologicals antibodies are covered by our 100% guarantee.

Scientific Data Images for FOXO3 Antibody - BSA Free

Western Blot: FOXO3 Antibody [NB100-613]

Western Blot: FOXO3 Antibody [NB100-613]

Western Blot: FOXO3 Antibody [NB100-613] - Detection of Human and Mouse FOXO3a by Western Blot. Samples: Whole cell lysate (50 ug) from 293T, Jurkat, and mouse TCMK-1 cells. Antibodies: Affinity purified rabbit anti-FOXO3a antibody NB100-613 used for WB at 0.4 ug/ml. Detection: Chemiluminescence with an exposure time of 3 minutes.
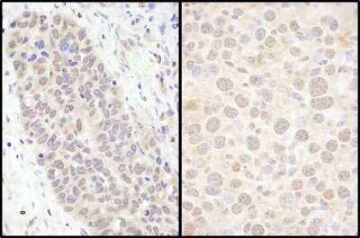
Immunohistochemistry: FOXO3 Antibody [NB100-613]

Immunohistochemistry: FOXO3 Antibody [NB100-613]

Immunohistochemistry: FOXO3 Antibody [NB100-613] - Sample: FFPE sections of human ovarian carcinoma (left) and mouse renal cell carcinoma (right). Antibody: Affinity purified rabbit anti-fs18 FOXO3a fs20 used at a dilution of 1:500 (2ug/ml). Detection: DAB
Western Blot: FOXO3 Antibody [NB100-613]

Western Blot: FOXO3 Antibody [NB100-613]

Western Blot: FOXO3 Antibody [NB100-613] - Detection of Human FOXO3a on HeLa whole cell lysate using NB100-613. FOXO3a was also immunoprecipitated using NB100-614.

Applications for FOXO3 Antibody - BSA Free

Application
Recommended Usage

Immunohistochemistry

1:200 - 1:1000

Immunohistochemistry-Paraffin

1:500-1:2000

Immunoprecipitation

2-5 ug/mg lysate

Western Blot

1:5000-1:15000
Application Notes
Epitope retrieval with Tris-EDTA pH9.0 is recommended for FFPE tissue sections.

Formulation, Preparation, and Storage

Purification

Immunogen affinity purified

Formulation

Tris-Citrate/Phosphate (pH 7.0 - 8.0)

Format

BSA Free

Preservative

0.09% Sodium Azide

Concentration

1.0 mg/ml

Shipping

The product is shipped with polar packs. Upon receipt, store it immediately at the temperature recommended below.

Stability & Storage

Store at 4C. Do not freeze.

Background: FoxO3

The FOXO3 gene is known to promote longevity in animals and has now been discovered to encode a tumor suppressor. The new gene, which was inactivated in two-thirds of patients studied, presents a potent new target for breast cancer. The protein, named Forkhead box class O3 (FOXO3), is associated with better outcomes for breast cancer patients. Conversely, if FOXO3 was inactivated, patients had worse outcomes. FOXO3 is inactivated in many cancer patients by an enzyme called IKK, which is an oncoprotein.

Long Name

Forkhead Box O3

Alternate Names

AF6q21, FKHRL1, FKHRL1P2, FOXO3A

Entrez Gene IDs

2309 (Human)

Gene Symbol

FOXO3

UniProt

Additional FoxO3 Products

Product Documents for FOXO3 Antibody - BSA Free

Certificate of Analysis

To download a Certificate of Analysis, please enter a lot number in the search box below.

Product Specific Notices for FOXO3 Antibody - BSA Free

This product is for research use only and is not approved for use in humans or in clinical diagnosis. Primary Antibodies are guaranteed for 1 year from date of receipt.

Loading...
Loading...
Loading...
Loading...