Skip to main content

FLJ14154 Antibody - BSA Free

Novus Biologicals, part of Bio-Techne | Catalog # NBP3-03383

Novus Biologicals, part of Bio-Techne
Catalog #
Availability
Size / Price
Qty
Loading...
NBP3-03383-100ul
NBP3-03383-20ul

Key Product Details

Species Reactivity

Human, Mouse, Rat

Applications

Immunohistochemistry, Immunohistochemistry-Paraffin, Western Blot

Label

Unconjugated

Antibody Source

Polyclonal Rabbit IgG

Format

BSA Free

Concentration

Please see the vial label for concentration. If unlisted please contact technical services.

Product Specifications

Immunogen

Recombinant fusion protein containing a sequence corresponding to amino acids 1-184 of human FLJ14154 (NP_001077070.1). MTEVVPSSALSEVSLRLLCHDDIDTVKHLCGDWFPIEYPDSWYRDITSNKKFFSLAATYRGAIVGMIVAEIKNRTKIHKEDGDILASNFSVDTQVAYILSLGVVKEFRKHGIGSLLLESLKDHISTTAQDHCKAIYLHVLTTNNTAINFYENRDFKQHHYLPYYYSIRGVLKDGFTYVLYINGG

Clonality

Polyclonal

Host

Rabbit

Isotype

IgG

Description

Novus Biologicals Rabbit FLJ14154 Antibody - BSA Free (NBP3-03383) is a polyclonal antibody validated for use in IHC and WB. All Novus Biologicals antibodies are covered by our 100% guarantee.

Scientific Data Images for FLJ14154 Antibody - BSA Free

FLJ14154 Antibody - BSA Free

Western Blot: FLJ14154 Antibody - BSA Free [FLJ14154] -

Western Blot: FLJ14154 Antibody - BSA Free [FLJ14154] - Western blot analysis of lysates from 293F cells, using FLJ14154 Rabbit pAb at 1:2000 dilution.
Secondary antibody: HRP Goat Anti-Rabbit IgG (H+L) at 1:10000 dilution.
Lysates/proteins: 25ug per lane.
Blocking buffer: 3% nonfat dry milk in TBST.
Detection: ECL Basic Kit .
Exposure time: 180s.
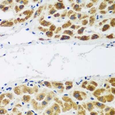
Immunohistochemistry-Paraffin: FLJ14154 Antibody - BSA Free [NBP3-03383]

Immunohistochemistry-Paraffin: FLJ14154 Antibody - BSA Free [NBP3-03383]

Immunohistochemistry-Paraffin: FLJ14154 Antibody [NBP3-03383] - Paraffin-embedded human liver cancer using FLJ14154 antibody at dilution of 1:200 (40x lens).
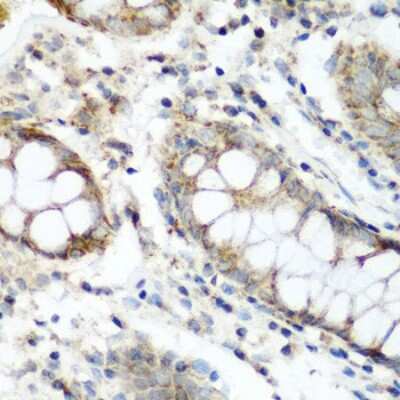
Immunohistochemistry-Paraffin: FLJ14154 Antibody - BSA Free [NBP3-03383]

Immunohistochemistry-Paraffin: FLJ14154 Antibody - BSA Free [NBP3-03383]

Immunohistochemistry-Paraffin: FLJ14154 Antibody [NBP3-03383] - Paraffin-embedded human colon using FLJ14154 antibody at dilution of 1:200 (40x lens).

Applications for FLJ14154 Antibody - BSA Free

Application
Recommended Usage

Immunohistochemistry

1:50-1:200

Western Blot

1:500-1:2000

Formulation, Preparation, and Storage

Purification

Affinity purified

Formulation

PBS (pH 7.3), 50% glycerol

Format

BSA Free

Preservative

0.02% Sodium Azide

Concentration

Please see the vial label for concentration. If unlisted please contact technical services.

Shipping

The product is shipped with polar packs. Upon receipt, store it immediately at the temperature recommended below.

Stability & Storage

Store at -20C. Avoid freeze-thaw cycles.

Background: FLJ14154

FLJ14154, also known by its gene name NAA60 or N-alpha-acetyltransferase 60, is a histone acetyltransferases that is essential for the normal segregation of chromosomes during anaphase. FLJ14154 is localized to the membrane of the Golgi apparatus, and plays a role in nucleosome assembly by facilitating the acetylation of free Histone H4.

Alternate Names

EC 2.3.1, EC 2.3.1.-, FLJ11693, FLJ14154, N-acetyltransferase 15, N-acetyltransferase 15 (GCN5-related, putative)

Gene Symbol

NAA60

Additional FLJ14154 Products

Product Documents for FLJ14154 Antibody - BSA Free

Certificate of Analysis

To download a Certificate of Analysis, please enter a lot number in the search box below.

Product Specific Notices for FLJ14154 Antibody - BSA Free

This product is for research use only and is not approved for use in humans or in clinical diagnosis. Primary Antibodies are guaranteed for 1 year from date of receipt.

Loading...
Loading...
Loading...
Loading...