Skip to main content

FLJ14154 Antibody - BSA Free

Novus Biologicals, part of Bio-Techne | Catalog # NBP1-91904

Novus Biologicals, part of Bio-Techne
Catalog #
Availability
Size / Price
Qty
Loading...
NBP1-91904

Key Product Details

Species Reactivity

Validated:

Human

Predicted:

Mouse (100%), Rat (100%). Backed by our 100% Guarantee.

Applications

Immunohistochemistry, Immunohistochemistry-Paraffin, Western Blot

Label

Unconjugated

Antibody Source

Polyclonal Rabbit IgG

Format

BSA Free

Concentration

Concentrations vary lot to lot. See vial label for concentration. If unlisted please contact technical services.

Product Specifications

Immunogen

This antibody was developed against Recombinant Protein corresponding to amino acids: EVVPSSALSEVSLRLLCHDDIDTVKHLCGDWFPIEYPDSWYRDITSNKKFFSLAATYRGAIVGMIVAEIKNRTKI

Clonality

Polyclonal

Host

Rabbit

Isotype

IgG

Scientific Data Images for FLJ14154 Antibody - BSA Free

Immunohistochemistry-Paraffin: FLJ14154 Antibody [NBP1-91904]

Immunohistochemistry-Paraffin: FLJ14154 Antibody [NBP1-91904]

Immunohistochemistry-Paraffin: FLJ14154 Antibody [NBP1-91904] - Staining of human kidney shows moderate cytoplasmic positivity in cells in tubules.
Immunohistochemistry-Paraffin: FLJ14154 Antibody [NBP1-91904]

Immunohistochemistry-Paraffin: FLJ14154 Antibody [NBP1-91904]

Immunohistochemistry-Paraffin: FLJ14154 Antibody [NBP1-91904] - Staining of human cerebral cortex shows strong positivity in neuronal processes.
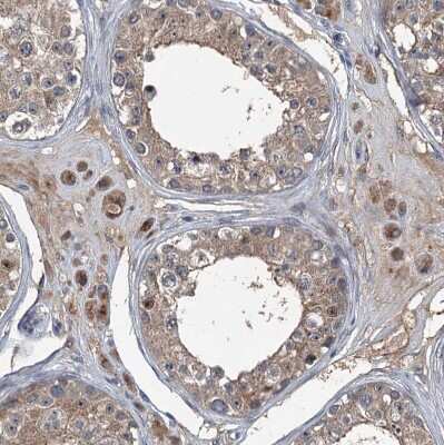
Immunohistochemistry-Paraffin: FLJ14154 Antibody [NBP1-91904]

Immunohistochemistry-Paraffin: FLJ14154 Antibody [NBP1-91904]

Immunohistochemistry-Paraffin: FLJ14154 Antibody [NBP1-91904] - Staining of human testis shows moderate cytoplasmic positivity in Leydig cells.

Applications for FLJ14154 Antibody - BSA Free

Application
Recommended Usage

Immunohistochemistry

1:20 - 1:50

Immunohistochemistry-Paraffin

1:20 - 1:50

Western Blot

0.04-0.4 ug/ml
Application Notes
For IHC-Paraffin, HIER pH 6 retrieval is recommended.

Formulation, Preparation, and Storage

Purification

Affinity purified

Formulation

PBS (pH 7.2) and 40% Glycerol

Format

BSA Free

Preservative

0.02% Sodium Azide

Concentration

Concentrations vary lot to lot. See vial label for concentration. If unlisted please contact technical services.

Shipping

The product is shipped with polar packs. Upon receipt, store it immediately at the temperature recommended below.

Stability & Storage

Store at 4C short term. Aliquot and store at -20C long term. Avoid freeze-thaw cycles.

Background: FLJ14154

FLJ14154, also known by its gene name NAA60 or N-alpha-acetyltransferase 60, is a histone acetyltransferases that is essential for the normal segregation of chromosomes during anaphase. FLJ14154 is localized to the membrane of the Golgi apparatus, and plays a role in nucleosome assembly by facilitating the acetylation of free Histone H4.

Alternate Names

EC 2.3.1, EC 2.3.1.-, FLJ11693, FLJ14154, N-acetyltransferase 15, N-acetyltransferase 15 (GCN5-related, putative)

Gene Symbol

NAA60

Additional FLJ14154 Products

Product Documents for FLJ14154 Antibody - BSA Free

Certificate of Analysis

To download a Certificate of Analysis, please enter a lot number in the search box below.

Product Specific Notices for FLJ14154 Antibody - BSA Free

This product is for research use only and is not approved for use in humans or in clinical diagnosis. Primary Antibodies are guaranteed for 1 year from date of receipt.

Loading...
Loading...
Loading...
Loading...