Skip to main content

Flightless I Antibody - BSA Free

Novus Biologicals, part of Bio-Techne | Catalog # NBP1-87926

Novus Biologicals, part of Bio-Techne
Catalog #
Availability
Size / Price
Qty
Loading...
NBP1-87926
NBP1-87926-25ul

Key Product Details

Species Reactivity

Human, Mouse, Rat

Applications

Immunohistochemistry, Immunohistochemistry-Paraffin, Western Blot, Immunocytochemistry/ Immunofluorescence

Label

Unconjugated

Antibody Source

Polyclonal Rabbit IgG

Format

BSA Free

Concentration

Concentrations vary lot to lot. See vial label for concentration. If unlisted please contact technical services.

Product Specifications

Immunogen

This antibody was developed against Recombinant Protein corresponding to amino acids: KDSAQDDQAKQVLKGMSDVAQEKNKKQEESADARAPSGKVRRWDQGLEKPRLDYSEFFTEDVGQLPGLTIWQIENFVPVLVEEAFHGKFYEADCYIVLKTFLDDSGSLNWEIYYWIGGEATLDKKACSAI

Clonality

Polyclonal

Host

Rabbit

Isotype

IgG

Scientific Data Images for Flightless I Antibody - BSA Free

Immunocytochemistry/ Immunofluorescence: Flightless I Antibody [NBP1-87926]

Immunocytochemistry/ Immunofluorescence: Flightless I Antibody [NBP1-87926]

Immunocytochemistry/Immunofluorescence: Flightless I Antibody [NBP1-87926] - Staining of human cell line U-2 OS shows localization to nucleoplasm, cytosol & microtubule organizing center.
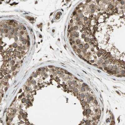
Immunohistochemistry-Paraffin: Flightless I Antibody [NBP1-87926]

Immunohistochemistry-Paraffin: Flightless I Antibody [NBP1-87926]

Immunohistochemistry-Paraffin: Flightless I Antibody [NBP1-87926] - Staining of human testis shows strong cytoplasmic positivity in cells in seminiferous ducts.
Immunohistochemistry-Paraffin: Flightless I Antibody [NBP1-87926]

Immunohistochemistry-Paraffin: Flightless I Antibody [NBP1-87926]

Immunohistochemistry-Paraffin: Flightless I Antibody [NBP1-87926] - Staining of human cerebral cortex shows moderate cytoplasmic positivity in neurons.

Applications for Flightless I Antibody - BSA Free

Application
Recommended Usage

Immunocytochemistry/ Immunofluorescence

0.25-2 ug/ml

Immunohistochemistry

1:50 - 1:200

Immunohistochemistry-Paraffin

1:50 - 1:200

Western Blot

0.04-0.4 ug/ml
Application Notes
For IHC-Paraffin, HIER pH 6 retrieval is recommended. Immunocytochemistry/Immunofluorescence Fixation Permeabilization: PFA/Triton X-100

Formulation, Preparation, and Storage

Purification

Affinity purified

Formulation

PBS (pH 7.2) and 40% Glycerol

Format

BSA Free

Preservative

0.02% Sodium Azide

Concentration

Concentrations vary lot to lot. See vial label for concentration. If unlisted please contact technical services.

Shipping

The product is shipped with polar packs. Upon receipt, store it immediately at the temperature recommended below.

Stability & Storage

Store at 4C short term. Aliquot and store at -20C long term. Avoid freeze-thaw cycles.

Background: Flightless I

Alternate Names

FLI, Fli1, flightless I homolog (Drosophila), FLILflightless I (Drosophila) homolog, MGC39265, protein flightless-1 homolog

Gene Symbol

FLII

Additional Flightless I Products

Product Documents for Flightless I Antibody - BSA Free

Certificate of Analysis

To download a Certificate of Analysis, please enter a lot number in the search box below.

Product Specific Notices for Flightless I Antibody - BSA Free

This product is for research use only and is not approved for use in humans or in clinical diagnosis. Primary Antibodies are guaranteed for 1 year from date of receipt.

Loading...
Loading...
Loading...
Loading...