FKBP51/FKBP5 Antibody (7W2R1)
Novus Biologicals, part of Bio-Techne | Catalog # NBP3-16750
Key Product Details
Species Reactivity
Applications
Label
Antibody Source
Concentration
Product Specifications
Immunogen
Clonality
Host
Isotype
Description
Scientific Data Images for FKBP51/FKBP5 Antibody (7W2R1)
Western Blot: FKBP51/FKBP5 Antibody (7W2R1) [NBP3-16750]
Western Blot: FKBP51/FKBP5 Antibody (7W2R1) [NBP3-16750] - Western blot analysis of extracts of various cell lines, using FKBP51/FKBP5 Rabbit mAb (NBP3-16750) at 1:1000 dilution. Secondary antibody: HRP Goat Anti-Rabbit IgG (H+L) at 1:10000 dilution. Lysates/proteins: 25ug per lane. Blocking buffer: 3% nonfat dry milk in TBST. Detection: ECL Basic Kit. Exposure time: 5s.Immunohistochemistry-Paraffin: FKBP51/FKBP5 Antibody (7W2R1) [NBP3-16750]
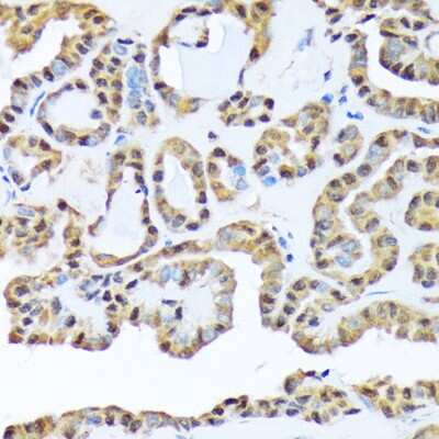
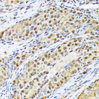
Immunohistochemistry-Paraffin: FKBP51/FKBP5 Antibody (7W2R1) [NBP3-16750] - Immunohistochemistry of paraffin-embedded human thyroid cancer using FKBP51/FKBP5 Rabbit mAb (NBP3-16750) at dilution of 1:100 (40x lens).Perform microwave antigen retrieval with 10 mM Tris/EDTA buffer pH 9.0 before commencing with IHC staining protocol.Western Blot: FKBP51/FKBP5 Antibody (7W2R1) [NBP3-16750]
Western Blot: FKBP51/FKBP5 Antibody (7W2R1) [NBP3-16750] - Western blot analysis of extracts of various cell lines, using FKBP51/FKBP5 Rabbit mAb (NBP3-16750) at 1:1000 dilution. Secondary antibody: HRP Goat Anti-Rabbit IgG (H+L) at 1:10000 dilution. Lysates/proteins: 25ug per lane. Blocking buffer: 3% nonfat dry milk in TBST. Detection: ECL Basic Kit. Exposure time: 90s.Applications for FKBP51/FKBP5 Antibody (7W2R1)
Immunohistochemistry
Western Blot
Formulation, Preparation, and Storage
Purification
Formulation
Preservative
Concentration
Shipping
Stability & Storage
Background: FKBP51
FK506 binding proteins (FKBPs) are intracellular receptors for the immunosuppressive drug FK506. The FKBP/FK506 complex inhibits calcineurin, a calcium/calmodulin dependent Ser/Thr phosphatase that functions as a critical signaling molecule during T cell activation. FKBP38 functions as an anti-apoptotic molecule by modulating the intracellular distribution of Bcl-2 and Bcl-xL.
FK506 binding protein, 51 kDa molecular weight (FKBP51) is a peptidyl-prolyl isomerase that catalyzes the transition between cis- and trans- proline residues critical for proper folding of proteins. The macrolide immunosuppressants FK506 and Rapamycin are FKBP51 inhibitors. FKBP51 levels are induced by glucocorticoids. It associates with HSP90 complexes that are critical for the proper folding of steroid receptors. Single nucleotide polymorphisms in FKBP51 have been associated with major depression and hyper-responsiveness to antidepressants.
Long Name
Alternate Names
Gene Symbol
Additional FKBP51 Products
Product Documents for FKBP51/FKBP5 Antibody (7W2R1)
Product Specific Notices for FKBP51/FKBP5 Antibody (7W2R1)
This product is for research use only and is not approved for use in humans or in clinical diagnosis. Primary Antibodies are guaranteed for 1 year from date of receipt.