Skip to main content

FKBP13/FKBP2 Antibody - BSA Free

Novus Biologicals, part of Bio-Techne | Catalog # NBP2-38604

Novus Biologicals, part of Bio-Techne
Catalog #
Availability
Size / Price
Qty
Loading...
NBP2-38604
NBP2-38604-25ul

Key Product Details

Validated by

Orthogonal Validation

Species Reactivity

Validated:

Human

Predicted:

Mouse (100%), Rat (100%). Backed by our 100% Guarantee.

Applications

Immunohistochemistry, Immunohistochemistry-Paraffin, Western Blot, Immunocytochemistry/ Immunofluorescence

Label

Unconjugated

Antibody Source

Polyclonal Rabbit IgG

Format

BSA Free

Concentration

Concentrations vary lot to lot. See vial label for concentration. If unlisted please contact technical services.

Product Specifications

Immunogen

This antibody was developed against a recombinant protein corresponding to amino acids: RKLQIGVKKRVDHCPIKSRKGDVLHMHYT

Clonality

Polyclonal

Host

Rabbit

Isotype

IgG

Description

Novus Biologicals Rabbit FKBP13/FKBP2 Antibody - BSA Free (NBP2-38604) is a polyclonal antibody validated for use in IHC, WB and ICC/IF. All Novus Biologicals antibodies are covered by our 100% guarantee.

Scientific Data Images for FKBP13/FKBP2 Antibody - BSA Free

Western Blot: FKBP13/FKBP2 Antibody [NBP2-38604]

Western Blot: FKBP13/FKBP2 Antibody [NBP2-38604]

Western Blot: FKBP13/FKBP2 Antibody [NBP2-38604] - Lane 1: Marker [kDa] 250, 130, 95, 72, 55, 36, 28, 17, 10. Lane 2: Human cell line RT-4
Immunocytochemistry/ Immunofluorescence: FKBP13/FKBP2 Antibody [NBP2-38604]

Immunocytochemistry/ Immunofluorescence: FKBP13/FKBP2 Antibody [NBP2-38604]

Immunocytochemistry/Immunofluorescence: FKBP13/FKBP2 Antibody [NBP2-38604] - Immunofluorescent staining of human cell line PC-3 shows localization to plasma membrane.
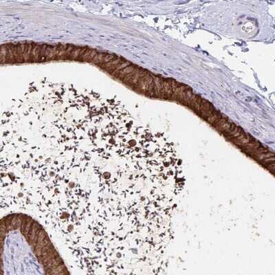
Immunohistochemistry-Paraffin: FKBP13/FKBP2 Antibody [NBP2-38604]

Immunohistochemistry-Paraffin: FKBP13/FKBP2 Antibody [NBP2-38604]

Immunohistochemistry-Paraffin: FKBP13/FKBP2 Antibody [NBP2-38604] - Staining in human epididymis and skeletal muscle tissues using anti-FKBP2 antibody. Corresponding FKBP2 RNA-seq data are presented for the same tissues.

Applications for FKBP13/FKBP2 Antibody - BSA Free

Application
Recommended Usage

Immunocytochemistry/ Immunofluorescence

0.25-2 ug/ml

Immunohistochemistry

1:500 - 1:1000

Immunohistochemistry-Paraffin

1:500 - 1:1000

Western Blot

0.04-0.4 ug/ml
Application Notes
For IHC-Paraffin, HIER pH 6 retrieval is recommended. ICC/IF,Fixation Permeabilization: Use PFA/Triton X-100.

Formulation, Preparation, and Storage

Purification

Affinity purified

Formulation

PBS (pH 7.2) and 40% Glycerol

Format

BSA Free

Preservative

0.02% Sodium Azide

Concentration

Concentrations vary lot to lot. See vial label for concentration. If unlisted please contact technical services.

Shipping

The product is shipped with polar packs. Upon receipt, store it immediately at the temperature recommended below.

Stability & Storage

Store at 4C short term. Aliquot and store at -20C long term. Avoid freeze-thaw cycles.

Background: FKBP13

FK506 binding protein, 13 kilodalton molecular weight (FKBP13), also called FKBP2, is a peptidyl-prolyl isomerase that catalyzes the transition between cis- and trans-proline residues critical for proper folding of proteins. The immunosuppressants FK506 and rapamycin are potent inhibitors of FKBP13. This isomerase is localized in the endoplasmic reticulum and is also associated with cytoskeletal elements such as erythrocyte band 4.1. FKBP13 levels are increased by treatments that affect golgi protein processing such as tunicamycin and heat shock, suggesting that FKBP13 is important in the unfolded protein response observed with endoplasmic reticulum stress.

Long Name

13 kDa FK506 Binding Protein

Alternate Names

FKBP2

Gene Symbol

FKBP2

UniProt

Additional FKBP13 Products

Product Documents for FKBP13/FKBP2 Antibody - BSA Free

Certificate of Analysis

To download a Certificate of Analysis, please enter a lot number in the search box below.

Product Specific Notices for FKBP13/FKBP2 Antibody - BSA Free

This product is for research use only and is not approved for use in humans or in clinical diagnosis. Primary Antibodies are guaranteed for 1 year from date of receipt.

Loading...
Loading...
Loading...
Loading...