Skip to main content

FIZ1 Antibody - BSA Free

Novus Biologicals, part of Bio-Techne | Catalog # NBP3-46635

Novus Biologicals, part of Bio-Techne
Catalog #
Availability
Size / Price
Qty
Loading...
NBP3-46635

Key Product Details

Species Reactivity

Human, Mouse, Rat

Applications

Immunohistochemistry, Western Blot, ELISA, Immunocytochemistry/ Immunofluorescence

Label

Unconjugated

Antibody Source

Polyclonal Rabbit IgG

Format

BSA Free

Concentration

Please see the vial label for concentration. If unlisted please contact technical services.

Product Specifications

Immunogen

FLT3-interacting zinc finger 1. (Uniprot# Q96SL8)

Clonality

Polyclonal

Host

Rabbit

Isotype

IgG

Theoretical MW

60 kDa.
Disclaimer note: The observed molecular weight of the protein may vary from the listed predicted molecular weight due to post translational modifications, post translation cleavages, relative charges, and other experimental factors.

Description

Novus Biologicals Rabbit FIZ1 Antibody - BSA Free (NBP3-46635) is a polyclonal antibody validated for use in IHC, WB, ELISA and ICC/IF. All Novus Biologicals antibodies are covered by our 100% guarantee.

Scientific Data Images for FIZ1 Antibody - BSA Free

FIZ1 Antibody - BSA Free

Western Blot: FIZ1 Antibody - BSA Free [NBP3-46635] -

Western Blot: FIZ1 Antibody - BSA Free [NBP3-46635] - Human kidney tissue were subjected to SDS PAGE followed by western blot with (FIZ1 antibody) at dilution of 1:200
FIZ1 Antibody - BSA Free

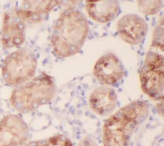
Immunohistochemistry: FIZ1 Antibody - BSA Free [NBP3-46635] -

Immunohistochemistry: FIZ1 Antibody - BSA Free [NBP3-46635] - Immunohistochemistry of paraffin-embedded human kidney tissue slide using (FIZ1 Antibody) at dilution of 1:50

Applications for FIZ1 Antibody - BSA Free

Application
Recommended Usage

Immunocytochemistry/ Immunofluorescence

1:10-1:100

Immunohistochemistry

1:20-1:200

Western Blot

1:500-1:1000

Formulation, Preparation, and Storage

Purification

Immunogen affinity purified

Formulation

PBS, 50% Glycerol, pH (7.3)

Format

BSA Free

Preservative

0.02% Sodium Azide

Concentration

Please see the vial label for concentration. If unlisted please contact technical services.

Shipping

The product is shipped with polar packs. Upon receipt, store it immediately at the temperature recommended below.

Stability & Storage

Store at -20C. Avoid freeze-thaw cycles.

Background: FIZ1

The FIZ1 gene encodes zinc finger protein, which interacts with a receptor tyrosine kinase involved in the regulation ofhematopoietic and lymphoid cells. This gene product also interacts with a transcription factor that regulates theexpression of rod-specific

Alternate Names

FLJ00416, FLT3-interacting zinc finger 1, flt3-interacting zinc finger protein 1, Zinc finger protein 798, ZNF798FLJ14768

Gene Symbol

FIZ1

Additional FIZ1 Products

Product Documents for FIZ1 Antibody - BSA Free

Certificate of Analysis

To download a Certificate of Analysis, please enter a lot number in the search box below.

Product Specific Notices for FIZ1 Antibody - BSA Free

This product is for research use only and is not approved for use in humans or in clinical diagnosis. Primary Antibodies are guaranteed for 1 year from date of receipt.

Loading...
Loading...
Loading...
Loading...