Skip to main content

FIP1/RCP Antibody - BSA Free

Novus Biologicals, part of Bio-Techne | Catalog # NBP2-20033

Novus Biologicals, part of Bio-Techne
Catalog #
Availability
Size / Price
Qty
Loading...
NBP2-20033

Key Product Details

Species Reactivity

Validated:

Human

Cited:

Human

Applications

Validated:

Immunohistochemistry, Immunohistochemistry-Paraffin, Western Blot

Cited:

Western Blot

Label

Unconjugated

Antibody Source

Polyclonal Rabbit IgG

Format

BSA Free

Concentration

Concentrations vary lot to lot. See vial label for concentration. If unlisted please contact technical services.

Product Specifications

Immunogen

Recombinant protein encompassing a sequence within the center region of human FIP1/RCP. The exact sequence is proprietary.

Reactivity Notes

Immunogen displays the following percentage of sequence identity for non-tested species: Mouse (88%).

Localization

Recycling endosome; Isoform 2: Cytoplasmic vesicle; phagosome membrane

Clonality

Polyclonal

Host

Rabbit

Isotype

IgG

Theoretical MW

137 kDa.
Disclaimer note: The observed molecular weight of the protein may vary from the listed predicted molecular weight due to post translational modifications, post translation cleavages, relative charges, and other experimental factors.

Scientific Data Images for FIP1/RCP Antibody - BSA Free

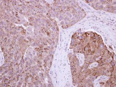
Immunohistochemistry-Paraffin: FIP1/RCP Antibody [NBP2-20033]

Immunohistochemistry-Paraffin: FIP1/RCP Antibody [NBP2-20033]

Immunohistochemistry-Paraffin: FIP1/RCP Antibody [NBP2-20033] - Immunohistochemical analysis of paraffin-embedded Breast ca, using antibody at 1:500 dilution.
FIP1/RCP Antibody - BSA Free

Western Blot: FIP1/RCP Antibody [NBP2-20033] -

Various whole cell extracts (30 ug) were separated by 7.5% SDS-PAGE, and the membrane was blotted with RAB11FIP1 antibody [N1N2], N-term (NBP2-20033) diluted at 1:1000. The HRP-conjugated anti-rabbit IgG antibody was used to detect the primary antibody. Corresponding RNA expression data for the same cell lines are based on Human Protein Atlas program.

Applications for FIP1/RCP Antibody - BSA Free

Application
Recommended Usage

Immunohistochemistry

1:100-1:1000

Immunohistochemistry-Paraffin

1:100-1:1000

Western Blot

1:500-1:3000

Formulation, Preparation, and Storage

Purification

Antigen Affinity-purified

Formulation

0.1M Tris, 0.1M Glycine, 20% Glycerol

Format

BSA Free

Preservative

0.01% Thimerosal

Concentration

Concentrations vary lot to lot. See vial label for concentration. If unlisted please contact technical services.

Shipping

The product is shipped with polar packs. Upon receipt, store it immediately at the temperature recommended below.

Stability & Storage

Aliquot and store at -20C or -80C. Avoid freeze-thaw cycles.

Background: FIP1/RCP

Proteins of the large Rab GTPase family (see RAB1A; MIM 179508) have regulatory roles in the formation, targeting, and fusion of intracellular transport vesicles. RAB11FIP1 is one of many proteins that interact with and regulate Rab GTPases (Hales et al., 2001 [PubMed 11495908]).[supplied by OMIM]

Alternate Names

DKFZp686E2214, EC 3.2.1.28, EC 6.1.1.7, FLJ22524, FLJ22622, MGC78448, NOEL1A, RAB11 coupling protein, RAB11 family interacting protein 1 (class I), rab11 family-interacting protein 1, rab11-FIP1, Rab-coupling protein, Rab-interacting recycling protein, RCPRab effector protein

Gene Symbol

RAB11FIP1

UniProt

Additional FIP1/RCP Products

Product Documents for FIP1/RCP Antibody - BSA Free

Certificate of Analysis

To download a Certificate of Analysis, please enter a lot number in the search box below.

Product Specific Notices for FIP1/RCP Antibody - BSA Free

This product is for research use only and is not approved for use in humans or in clinical diagnosis. Primary Antibodies are guaranteed for 1 year from date of receipt.

Loading...
Loading...
Loading...
Loading...

⚠ WARNING: This product can expose you to chemicals including mercury, which is known to the State of California to cause reproductive toxicity with developmental effects.  For more information go to www.P65Warnings.ca.gov.