Skip to main content

FIP1/RCP Antibody (3A12H9D2) - BSA Free

Novus Biologicals, part of Bio-Techne | Catalog # NBP2-52547

Novus Biologicals, part of Bio-Techne
Catalog #
Availability
Size / Price
Qty
Loading...
NBP2-52547-0.025mg
NBP2-52547

Key Product Details

Species Reactivity

Human, Mouse

Applications

Immunohistochemistry, Immunohistochemistry-Paraffin, Western Blot, ELISA, Flow Cytometry, CyTOF-ready

Label

Unconjugated

Antibody Source

Monoclonal Mouse IgG1 Clone # 3A12H9D2

Format

BSA Free

Concentration

1 mg/ml

Product Specifications

Immunogen

Purified recombinant fragment of human FIP1/RCP (AA: 130-271) expressed in E. Coli.

Clonality

Monoclonal

Host

Mouse

Isotype

IgG1

Theoretical MW

137.2 kDa.
Disclaimer note: The observed molecular weight of the protein may vary from the listed predicted molecular weight due to post translational modifications, post translation cleavages, relative charges, and other experimental factors.

Description

Novus Biologicals Mouse FIP1/RCP Antibody (3A12H9D2) - BSA Free (NBP2-52547) is a monoclonal antibody validated for use in IHC, WB, ELISA and Flow. All Novus Biologicals antibodies are covered by our 100% guarantee.

Scientific Data Images for FIP1/RCP Antibody (3A12H9D2) - BSA Free

Western Blot: FIP1/RCP Antibody (3A12H9D2)BSA Free [NBP2-52547]

Western Blot: FIP1/RCP Antibody (3A12H9D2)BSA Free [NBP2-52547]

Western Blot: FIP1/RCP Antibody (3A12H9D2) [NBP2-52547] - Analysis using RAB11FIP1 mouse mAb against Raji (1), A431 (2), HCT116 (3), LOVO (4), SW620 (5), SW480 (6), HepG2 (7), and NIH3T3 (8) cell lysate.
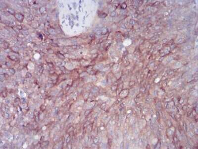
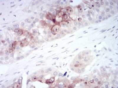
Immunohistochemistry-Paraffin: FIP1/RCP Antibody (3A12H9D2) - BSA Free [NBP2-52547]

Immunohistochemistry-Paraffin: FIP1/RCP Antibody (3A12H9D2) - BSA Free [NBP2-52547]

Immunohistochemistry-Paraffin: FIP1/RCP Antibody (3A12H9D2) [NBP2-52547] - Analysis of paraffin-embedded ovarian cancer tissues using RAB11FIP1 mouse mAb with DAB staining.
Flow Cytometry: FIP1/RCP Antibody (3A12H9D2) - BSA Free [NBP2-52547]

Flow Cytometry: FIP1/RCP Antibody (3A12H9D2) - BSA Free [NBP2-52547]

Flow Cytometry: FIP1/RCP Antibody (3A12H9D2) [NBP2-52547] - Analysis of Raji cells using RAB11FIP1 mouse mAb (green) and negative control (red).

Applications for FIP1/RCP Antibody (3A12H9D2) - BSA Free

Application
Recommended Usage

ELISA

1:10000

Flow Cytometry

1:200-1:400

Immunohistochemistry

1:200-1:1000

Immunohistochemistry-Paraffin

1:200-1:1000

Western Blot

1:500-1:2000
Application Notes
This antibody is Cytof ready.

Formulation, Preparation, and Storage

Purification

Protein G purified

Formulation

PBS

Format

BSA Free

Preservative

0.05% Sodium Azide

Concentration

1 mg/ml

Shipping

The product is shipped with polar packs. Upon receipt, store it immediately at the temperature recommended below.

Stability & Storage

Store at 4C short term. Aliquot and store at -20C long term. Avoid freeze-thaw cycles.

Background: FIP1/RCP

Proteins of the large Rab GTPase family have regulatory roles in the formation, targeting, and fusion of intracellular transport vesicles. RAB11FIP1 is one of many proteins that interact with and regulate Rab GTPases (Hales et al., 2001)

Alternate Names

DKFZp686E2214, EC 3.2.1.28, EC 6.1.1.7, FLJ22524, FLJ22622, MGC78448, NOEL1A, RAB11 coupling protein, RAB11 family interacting protein 1 (class I), rab11 family-interacting protein 1, rab11-FIP1, Rab-coupling protein, Rab-interacting recycling protein, RCPRab effector protein

Gene Symbol

RAB11FIP1

Additional FIP1/RCP Products

Product Documents for FIP1/RCP Antibody (3A12H9D2) - BSA Free

Certificate of Analysis

To download a Certificate of Analysis, please enter a lot number in the search box below.

Product Specific Notices for FIP1/RCP Antibody (3A12H9D2) - BSA Free

This product is for research use only and is not approved for use in humans or in clinical diagnosis. Primary Antibodies are guaranteed for 1 year from date of receipt.

Loading...
Loading...
Loading...
Loading...
Loading...