Skip to main content

Fibulin 5/DANCE Antibody (2424)

Novus Biologicals, part of Bio-Techne | Catalog # NBP2-76929

Novus Biologicals, part of Bio-Techne
Catalog #
Availability
Size / Price
Qty
Loading...
NBP2-76929

Key Product Details

Species Reactivity

Human, Mouse, Rat

Applications

Immunohistochemistry, Immunohistochemistry-Paraffin, Western Blot, Flow Cytometry, Immunocytochemistry/ Immunofluorescence

Label

Unconjugated

Antibody Source

Polyclonal Rabbit IgG Clone # 2424

Concentration

1 mg/ml

Product Specifications

Immunogen

Recombinant protein within Human Fibulin 5/DANCE aa 203-378 / 448. (SwissProt: Q9UBX5 Human; SwissProt: Q9WVH9 Mouse; SwissProt: Q9WVH8 Rat)

Localization

Extracellular matrix. Secreted.

Clonality

Polyclonal

Host

Rabbit

Isotype

IgG

Theoretical MW

50 kDa.
Disclaimer note: The observed molecular weight of the protein may vary from the listed predicted molecular weight due to post translational modifications, post translation cleavages, relative charges, and other experimental factors.

Description

Novus Biologicals Rabbit Fibulin 5/DANCE Antibody (2424) (NBP2-76929) is a polyclonal antibody validated for use in IHC, WB, Flow and ICC/IF. All Novus Biologicals antibodies are covered by our 100% guarantee.

Scientific Data Images for Fibulin 5/DANCE Antibody (2424)

Western Blot: Fibulin 5/DANCE Antibody (2424) [NBP2-76929]

Western Blot: Fibulin 5/DANCE Antibody (2424) [NBP2-76929]

Western Blot: Fibulin 5/DANCE Antibody (2424) [NBP2-76929] - Analysis of Fibulin 5 on human skin tissue lysate using anti-Fibulin 5 antibody at 1/1,000 dilution.
Immunocytochemistry/ Immunofluorescence: Fibulin 5/DANCE Antibody (2424) [NBP2-76929]

Immunocytochemistry/ Immunofluorescence: Fibulin 5/DANCE Antibody (2424) [NBP2-76929]

Immunocytochemistry/Immunofluorescence: Fibulin 5/DANCE Antibody (2424) [NBP2-76929] - ICC staining Fibulin 5 in SKOV-3 cells (green). The nuclear counter stain is DAPI (blue). Cells were fixed in paraformaldehyde, permeabilised with 0.25% Triton X100/PBS.
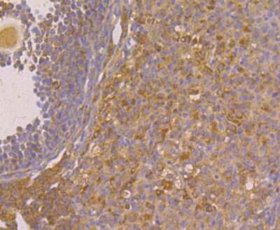
Immunohistochemistry: Fibulin 5/DANCE Antibody (2424) [NBP2-76929]

Immunohistochemistry: Fibulin 5/DANCE Antibody (2424) [NBP2-76929]

Immunohistochemistry: Fibulin 5/DANCE Antibody (2424) [NBP2-76929] - Mouse ovary tissue using anti-Fibulin 5 antibody. Counter stained with hematoxylin.

Applications for Fibulin 5/DANCE Antibody (2424)

Application
Recommended Usage

Flow Cytometry

1:50-1:100

Immunocytochemistry/ Immunofluorescence

1:200

Immunohistochemistry-Paraffin

1:50-1:200

Western Blot

1:1000-1:2000

Formulation, Preparation, and Storage

Purification

Immunogen affinity purified

Formulation

PBS (pH7.4), 0.2% BSA, 50% Glycerol

Preservative

0.05% Sodium Azide

Concentration

1 mg/ml

Shipping

The product is shipped with polar packs. Upon receipt, store it immediately at the temperature recommended below.

Stability & Storage

Store at 4C short term. Aliquot and store at -20C long term. Avoid freeze-thaw cycles.

Background: Fibulin 5/DANCE

Fibulin 5, also known as DANCE and EVEC, is a secreted matricellular glycoprotein that is expressed by smooth muscle cells and endothelial cells of the developing vasculature as well as by migrating neural crest cells and lung interstitial fibroblasts. It is downregulated in the adult vasculature but is re-expressed at aortic branching points, in the uterus, and at sites of mechanical or atherosclerotic injury. Fibulin 5 anchors cells to the extracellular matrix, promotes elastic fiber assembly and maturation, and functions as an angiogenesis inhibitor. It can function either as a tumor suppressor or enhancer of tumor cell invasiveness. Defects in Fibulin 5 expression or function can result in a loss of connective tissue integrity, cardiac elasticity, and ability to remodel the vasculature after injury.

Alternate Names

DANCE, EVEC, FBLN5, UP50

Gene Symbol

FBLN5

Additional Fibulin 5/DANCE Products

Product Documents for Fibulin 5/DANCE Antibody (2424)

Certificate of Analysis

To download a Certificate of Analysis, please enter a lot number in the search box below.

Product Specific Notices for Fibulin 5/DANCE Antibody (2424)

This product is for research use only and is not approved for use in humans or in clinical diagnosis. Primary Antibodies are guaranteed for 1 year from date of receipt.

Loading...
Loading...
Loading...
Loading...
Loading...