Skip to main content

Fibulin 1 Antibody - BSA Free

Novus Biologicals, part of Bio-Techne | Catalog # NBP1-84726

Novus Biologicals, part of Bio-Techne
Catalog #
Availability
Size / Price
Qty
Loading...
NBP1-84726
NBP1-84726-25ul

Key Product Details

Validated by

Orthogonal Validation

Species Reactivity

Validated:

Human

Predicted:

Mouse (92%), Rat (93%). Backed by our 100% Guarantee.

Applications

Immunohistochemistry, Immunohistochemistry-Paraffin, Western Blot

Label

Unconjugated

Antibody Source

Polyclonal Rabbit IgG

Format

BSA Free

Concentration

Concentrations vary lot to lot. See vial label for concentration. If unlisted please contact technical services.

Product Specifications

Immunogen

This antibody was developed against Recombinant Protein corresponding to amino acids: CESGIHNCLPDFICQNTLGSFRCRPKLQCKSGFIQDALGNCIDINECLSISAPCPIGHTCINTEGSYTCQKNVPNCGRGYHLNEEGTRCVDVDECAPPAEPCGKGHRCVNSPGSFRCECKTGYYFDGISRMCVDVNE

Clonality

Polyclonal

Host

Rabbit

Isotype

IgG

Description

Novus Biologicals Rabbit Fibulin 1 Antibody - BSA Free (NBP1-84726) is a polyclonal antibody validated for use in IHC and WB. Anti-Fibulin 1 Antibody: Cited in 2 publications. All Novus Biologicals antibodies are covered by our 100% guarantee.

Scientific Data Images for Fibulin 1 Antibody - BSA Free

Fibulin 1 Antibody

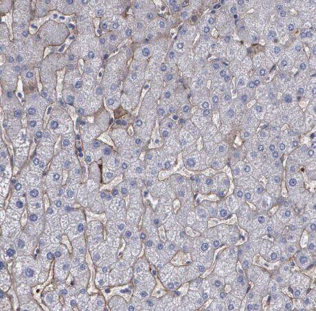
Immunohistochemistry-Paraffin: Fibulin 1 Antibody [NBP1-84726] -

Immunohistochemistry-Paraffin: Fibulin 1 Antibody [NBP1-84726] - Analysis in human placenta and liver tissues using NBP1-84726 antibody. Corresponding FBLN1 RNA-seq data are presented for the same tissues.
Fibulin 1 Antibody

Immunohistochemistry-Paraffin: Fibulin 1 Antibody [NBP1-84726] -

Immunohistochemistry-Paraffin: Fibulin 1 Antibody [NBP1-84726] -Staining of human placenta shows strong cytoplasmic positivity in trophoblastic cells.
Fibulin 1 Antibody

Immunohistochemistry-Paraffin: Fibulin 1 Antibody [NBP1-84726] -

Immunohistochemistry-Paraffin: Fibulin 1 Antibody [NBP1-84726] -Staining of human prostate shows moderate cytoplasmic positivity in smooth muscle cells.

Applications for Fibulin 1 Antibody - BSA Free

Application
Recommended Usage

Immunohistochemistry

1:500 -1:1000

Immunohistochemistry-Paraffin

1:500 - 1:1000

Western Blot

0.04-0.4 ug/ml
Application Notes
For IHC-Paraffin, HIER pH 6 retrieval is recommended.

Formulation, Preparation, and Storage

Purification

Immunogen affinity purified

Formulation

PBS (pH 7.2) and 40% Glycerol

Format

BSA Free

Preservative

0.02% Sodium Azide

Concentration

Concentrations vary lot to lot. See vial label for concentration. If unlisted please contact technical services.

Shipping

The product is shipped with polar packs. Upon receipt, store it immediately at the temperature recommended below.

Stability & Storage

Store at 4C short term. Aliquot and store at -20C long term. Avoid freeze-thaw cycles.

Background: Fibulin 1

Fibulin 1 is a matricellular glycoprotein component of the elastic fiber core in connective tissues. It self-aggregates and additionally binds to several extracellular matrix and cellular proteins including Aggrecan, Versican, Fibronectin, ECM1, NOV/CCN3, and pro-HB-EGF. Fibulin 1c enhances ADAMTS-1 mediated cleavage of Aggrecan and Versican and can itself be cleaved by neutrophil elastase or MMP-13. It functions as a bridge between Fibrinogen and Fibrin, enabling Fibrin attachment to the platelet cell surface via Integrin alpha 2 beta 3. Fibulin 1 inhibits cardiomyocyte proliferation and Fibronectin-mediated cell adhesion and can promote bone formation.

Alternate Names

FBLN1, FIBL1

Gene Symbol

FBLN1

Additional Fibulin 1 Products

Product Documents for Fibulin 1 Antibody - BSA Free

Certificate of Analysis

To download a Certificate of Analysis, please enter a lot number in the search box below.

Product Specific Notices for Fibulin 1 Antibody - BSA Free

This product is for research use only and is not approved for use in humans or in clinical diagnosis. Primary Antibodies are guaranteed for 1 year from date of receipt.

Loading...
Loading...
Loading...
Loading...