Skip to main content

Fibrillin 2 Antibody - BSA Free

Novus Biologicals, part of Bio-Techne | Catalog # NBP3-42353

Novus Biologicals, part of Bio-Techne
Catalog #
Availability
Size / Price
Qty
Loading...
NBP3-42353

Key Product Details

Species Reactivity

Human

Applications

Immunohistochemistry, Immunohistochemistry-Paraffin, Western Blot

Label

Unconjugated

Antibody Source

Polyclonal Rabbit

Format

BSA Free

Concentration

0.5 mg/ml

Product Specifications

Immunogen

Immunogen sequence: Thr1550-Cys1791 (Uniprot#: P35556)

Clonality

Polyclonal

Host

Rabbit

Description

Novus Biologicals Rabbit Fibrillin 2 Antibody - BSA Free (NBP3-42353) is a polyclonal antibody validated for use in IHC and WB. All Novus Biologicals antibodies are covered by our 100% guarantee.

Scientific Data Images for Fibrillin 2 Antibody - BSA Free

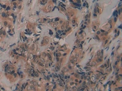
Fibrillin 2 Antibody

Immunohistochemistry-Paraffin: Fibrillin 2 Antibody [NBP3-42353] -

Immunohistochemistry-Paraffin: Fibrillin 2 Antibody [NBP3-42353] - DAB staining on IHC-P; Samples: Human Breast cancer Tissue
Fibrillin 2 Antibody

Immunohistochemistry-Paraffin: Fibrillin 2 Antibody [NBP3-42353] -

Immunohistochemistry-Paraffin: Fibrillin 2 Antibody [NBP3-42353] - DAB staining on IHC-P; Samples: Human Breast cancer Tissue; Primary Ab: 20ug/ml NBP3-42353
Fibrillin 2 Antibody

Western Blot: Fibrillin 2 Antibody [NBP3-42353] -

Western Blot: Fibrillin 2 Antibody [NBP3-42353] - Sample: Recombinant protein.

Applications for Fibrillin 2 Antibody - BSA Free

Application
Recommended Usage

Immunohistochemistry

5-20ug/mL

Immunohistochemistry-Paraffin

5-20ug/mL

Western Blot

0.01-2ug/mL

Formulation, Preparation, and Storage

Purification

Antigen and protein A Affinity-purified

Formulation

PBS, pH7.4, 50% glycerol

Format

BSA Free

Preservative

0.02% Sodium Azide

Concentration

0.5 mg/ml

Shipping

The product is shipped with polar packs. Upon receipt, store it immediately at the temperature recommended below.

Stability & Storage

Store at 4C short term. Aliquot and store at -20C long term. Avoid freeze-thaw cycles.

Background: Fibrillin 2

The protein encoded by the Fibrillin 2 gene is a component of connective tissue microfibrils and may be involved in elastic fiberassembly. Mutations in this gene cause congenital contractural arachnodactyly. (provided by RefSeq)

Alternate Names

CCA, congenital contractural arachnodactyly, DA9, fibrillin 2, fibrillin 5, fibrillin-2

Gene Symbol

FBN2

Additional Fibrillin 2 Products

Product Documents for Fibrillin 2 Antibody - BSA Free

Certificate of Analysis

To download a Certificate of Analysis, please enter a lot number in the search box below.

Product Specific Notices for Fibrillin 2 Antibody - BSA Free

This product is for research use only and is not approved for use in humans or in clinical diagnosis. Primary Antibodies are guaranteed for 1 year from date of receipt.

Loading...
Loading...
Loading...
Loading...