Skip to main content

FHOD3 Antibody - BSA Free

Novus Biologicals, part of Bio-Techne | Catalog # NBP1-83899

Novus Biologicals, part of Bio-Techne
Catalog #
Availability
Size / Price
Qty
Loading...
NBP1-83899
NBP1-83899-25ul

Key Product Details

Species Reactivity

Validated:

Human

Cited:

Human

Applications

Validated:

Immunohistochemistry, Immunohistochemistry-Paraffin

Cited:

IF/IHC

Label

Unconjugated

Antibody Source

Polyclonal Rabbit IgG

Format

BSA Free

Concentration

Concentrations vary lot to lot. See vial label for concentration. If unlisted please contact technical services.

Product Specifications

Immunogen

This antibody was developed against Recombinant Protein corresponding to amino acids: QCGDILTNKRFMLDMLYAHNRKSPDDEEKGDGEAGRTQQEAEAVASLATRISTLQANSQTQDESVRRVDVGCLDNRGSVKAFAEKFNSGDLGRGSISPDAEPNDKVPETAPVQPKTESDYIWDQLM

Reactivity Notes

Immunogen displays the following percentage of sequence identity for non-tested species: Mouse (81%), Rat (83%). Human reactivity reported in scientific literature (PMID: 23255317).

Clonality

Polyclonal

Host

Rabbit

Isotype

IgG

Description

Novus Biologicals Rabbit FHOD3 Antibody - BSA Free (NBP1-83899) is a polyclonal antibody validated for use in IHC. Anti-FHOD3 Antibody: Cited in 1 publication. All Novus Biologicals antibodies are covered by our 100% guarantee.

Scientific Data Images for FHOD3 Antibody - BSA Free

Immunohistochemistry-Paraffin: FHOD3 Antibody [NBP1-83899]

Immunohistochemistry-Paraffin: FHOD3 Antibody [NBP1-83899]

Immunohistochemistry-Paraffin: FHOD3 Antibody [NBP1-83899] - Staining of human prostate shows moderate cytoplasmic positivity in glandular cells.
Immunohistochemistry-Paraffin: FHOD3 Antibody [NBP1-83899]

Immunohistochemistry-Paraffin: FHOD3 Antibody [NBP1-83899]

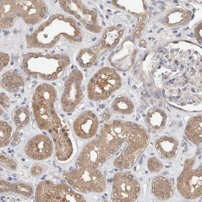
Immunohistochemistry-Paraffin: FHOD3 Antibody [NBP1-83899] - Staining of human kidney shows moderate cytoplasmic positivity in cells in tubules.
Immunohistochemistry-Paraffin: FHOD3 Antibody [NBP1-83899]

Immunohistochemistry-Paraffin: FHOD3 Antibody [NBP1-83899]

Immunohistochemistry-Paraffin: FHOD3 Antibody [NBP1-83899] - Staining of human cerebral cortex shows moderate cytoplasmic positivity in neurons.

Applications for FHOD3 Antibody - BSA Free

Application
Recommended Usage

Immunohistochemistry

1:50 - 1:200

Immunohistochemistry-Paraffin

1:50 - 1:200
Application Notes
IHC reported in scientific literature (PMID: 23255317). For IHC-Paraffin, HIER pH 6 retrieval is recommended.

Formulation, Preparation, and Storage

Purification

Affinity purified

Formulation

PBS (pH 7.2) and 40% Glycerol

Format

BSA Free

Preservative

0.02% Sodium Azide

Concentration

Concentrations vary lot to lot. See vial label for concentration. If unlisted please contact technical services.

Shipping

The product is shipped with polar packs. Upon receipt, store it immediately at the temperature recommended below.

Stability & Storage

Store at 4C short term. Aliquot and store at -20C long term. Avoid freeze-thaw cycles.

Background: FHOD3

Alternate Names

FH1/FH2 domain-containing protein 3, FHOS2, Formactin2, formactin-2, formin homolog overexpressed in spleen 2, formin homology 2 domain containing 3, hFHOS2, KIAA1695

Gene Symbol

FHOD3

Additional FHOD3 Products

Product Documents for FHOD3 Antibody - BSA Free

Certificate of Analysis

To download a Certificate of Analysis, please enter a lot number in the search box below.

Product Specific Notices for FHOD3 Antibody - BSA Free

This product is for research use only and is not approved for use in humans or in clinical diagnosis. Primary Antibodies are guaranteed for 1 year from date of receipt.

Loading...
Loading...
Loading...
Loading...