Skip to main content

FHL3 Antibody - BSA Free

Novus Biologicals, part of Bio-Techne | Catalog # NBP3-46321

Novus Biologicals, part of Bio-Techne
Catalog #
Availability
Size / Price
Qty
Loading...
NBP3-46321

Key Product Details

Species Reactivity

Human, Mouse, Rat

Applications

Immunohistochemistry, Western Blot, ELISA, Immunoprecipitation

Label

Unconjugated

Antibody Source

Polyclonal Rabbit IgG

Format

BSA Free

Concentration

Please see the vial label for concentration. If unlisted please contact technical services.

Product Specifications

Immunogen

four and a half LIM domains 3. (Uniprot# Q13643)

Clonality

Polyclonal

Host

Rabbit

Isotype

IgG

Theoretical MW

34 kDa.
Disclaimer note: The observed molecular weight of the protein may vary from the listed predicted molecular weight due to post translational modifications, post translation cleavages, relative charges, and other experimental factors.

Description

Novus Biologicals Rabbit FHL3 Antibody - BSA Free (NBP3-46321) is a polyclonal antibody validated for use in IHC, WB, ELISA and IP. All Novus Biologicals antibodies are covered by our 100% guarantee.

Scientific Data Images for FHL3 Antibody - BSA Free

FHL3 Antibody - BSA Free

Western Blot: FHL3 Antibody - BSA Free [NBP3-46321] -

Western Blot: FHL3 Antibody - BSA Free [NBP3-46321] - K-562 cells were subjected to SDS PAGE followed by western blot with (FHL3 antibody) at dilution of 1:500
FHL3 Antibody - BSA Free

Immunoprecipitation: FHL3 Antibody - BSA Free [NBP3-46321] -

Immunoprecipitation: FHL3 Antibody - BSA Free [NBP3-46321] - IP Result of anti-FHL3 (IP:, 4ug; Detection: 1:500) with K-562 cells lysate 1200ug.
FHL3 Antibody - BSA Free

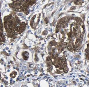
Immunohistochemistry: FHL3 Antibody - BSA Free [NBP3-46321] -

Immunohistochemistry: FHL3 Antibody - BSA Free [NBP3-46321] - Immunohistochemistry of paraffin-embedded human ovary tumor using (FHL3 antibody) at dilution of 1:50

Applications for FHL3 Antibody - BSA Free

Application
Recommended Usage

Immunohistochemistry

1:20-1:200

Immunoprecipitation

1:200-1:1000

Western Blot

1:500-1:2000

Formulation, Preparation, and Storage

Purification

Immunogen affinity purified

Formulation

PBS, 50% Glycerol, pH (7.3)

Format

BSA Free

Preservative

0.02% Sodium Azide

Concentration

Please see the vial label for concentration. If unlisted please contact technical services.

Shipping

The product is shipped with polar packs. Upon receipt, store it immediately at the temperature recommended below.

Stability & Storage

Store at -20C. Avoid freeze-thaw cycles.

Background: FHL3

LIM proteins are defined by the possession of a highly conserved double zinc finger motif called the LIM domain.[supplied by OMIM]

Alternate Names

FHL-3, four and a half LIM domains 3, four and a half LIM domains protein 3, LIM-only protein FHL3, MGC19547, MGC8696, Skeletal muscle LIM-protein 2, SLIM-2, SLIM2MGC23614

Gene Symbol

FHL3

Additional FHL3 Products

Product Documents for FHL3 Antibody - BSA Free

Certificate of Analysis

To download a Certificate of Analysis, please enter a lot number in the search box below.

Product Specific Notices for FHL3 Antibody - BSA Free

This product is for research use only and is not approved for use in humans or in clinical diagnosis. Primary Antibodies are guaranteed for 1 year from date of receipt.

Loading...
Loading...
Loading...
Loading...