Skip to main content

FHL1 Antibody

Novus Biologicals, part of Bio-Techne | Catalog # NBP2-16490

Novus Biologicals, part of Bio-Techne
Catalog #
Availability
Size / Price
Qty
Loading...
NBP2-16490

Key Product Details

Species Reactivity

Validated:

Human, Mouse

Predicted:

Bovine (94%), Porcine (97%), Rat (94%), Sheep (95%). Backed by our 100% Guarantee.

Applications

Immunohistochemistry, Immunohistochemistry-Paraffin, Western Blot

Label

Unconjugated

Antibody Source

Polyclonal Rabbit IgG

Concentration

Concentrations vary lot to lot. See vial label for concentration. If unlisted please contact technical services.

Product Specifications

Immunogen

Recombinant protein encompassing a sequence within the center region of human FHL1. The exact sequence is proprietary.

Localization

Isoform 1: Cytoplasm; Isoform 3: Cytoplasm; Nucleus; Isoform 2: Nucleus; Cytoplasm; cytosol

Clonality

Polyclonal

Host

Rabbit

Isotype

IgG

Theoretical MW

36 kDa.
Disclaimer note: The observed molecular weight of the protein may vary from the listed predicted molecular weight due to post translational modifications, post translation cleavages, relative charges, and other experimental factors.

Description

Novus Biologicals Rabbit FHL1 Antibody (NBP2-16490) is a polyclonal antibody validated for use in IHC and WB. All Novus Biologicals antibodies are covered by our 100% guarantee.

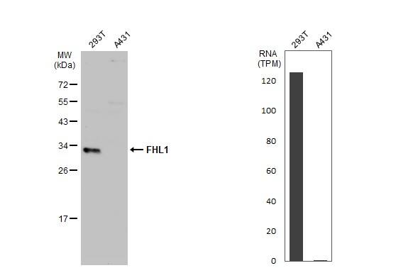
Scientific Data Images for FHL1 Antibody

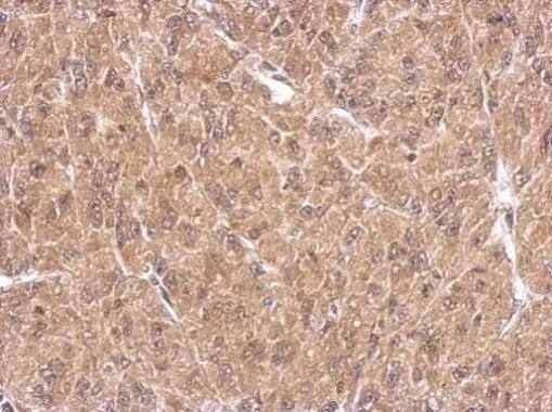
Immunohistochemistry-Paraffin: FHL1 Antibody [NBP2-16490]

Immunohistochemistry-Paraffin: FHL1 Antibody [NBP2-16490]

Immunohistochemistry-Paraffin: FHL1 Antibody [NBP2-16490] - Mouse hind brain. FHL1 antibody dilution: 1:500. Antigen Retrieval: Trilogy™ (EDTA based, pH 8.0) buffer, 15min.
Immunohistochemistry-Paraffin: FHL1 Antibody [NBP2-16490]

Immunohistochemistry-Paraffin: FHL1 Antibody [NBP2-16490]

Immunohistochemistry-Paraffin: FHL1 Antibody [NBP2-16490] - Mouse heart. FHL1 antibody dilution: 1:500. Antigen Retrieval: Trilogy™ (EDTA based, pH 8.0) buffer, 15min.
Immunohistochemistry-Paraffin: FHL1 Antibody [NBP2-16490]

Immunohistochemistry-Paraffin: FHL1 Antibody [NBP2-16490]

Immunohistochemistry-Paraffin: FHL1 Antibody [NBP2-16490] - Mouse muscle. FHL1 antibody dilution: 1:500. Antigen Retrieval: Trilogy™ (EDTA based, pH 8.0) buffer, 15min.

Applications for FHL1 Antibody

Application
Recommended Usage

Immunohistochemistry

1:100-1:1000

Immunohistochemistry-Paraffin

1:100-1:1000

Western Blot

1:500-1:3000

Formulation, Preparation, and Storage

Purification

Antigen Affinity-purified

Formulation

PBS, 1% BSA, 20% Glycerol

Preservative

0.01% Thimerosal

Concentration

Concentrations vary lot to lot. See vial label for concentration. If unlisted please contact technical services.

Shipping

The product is shipped with polar packs. Upon receipt, store it immediately at the temperature recommended below.

Stability & Storage

Aliquot and store at -20C or -80C. Avoid freeze-thaw cycles.

Background: FHL1

LIM proteins, named for 'LIN11, ISL1, and MEC3,' are defined by the possession of a highly conserved double zinc finger motif called the LIM domain.[supplied by OMIM]

Long Name

Four and a Half LIM Domains Protein 1

Alternate Names

HLH1, HPLH1, KYOT, SLIM1, SLIMMER, XMPMA

Gene Symbol

FHL1

UniProt

Additional FHL1 Products

Product Documents for FHL1 Antibody

Certificate of Analysis

To download a Certificate of Analysis, please enter a lot number in the search box below.

Product Specific Notices for FHL1 Antibody

This product is for research use only and is not approved for use in humans or in clinical diagnosis. Primary Antibodies are guaranteed for 1 year from date of receipt.

Loading...
Loading...
Loading...
Loading...

⚠ WARNING: This product can expose you to chemicals including mercury, which is known to the State of California to cause reproductive toxicity with developmental effects.  For more information go to www.P65Warnings.ca.gov.