Skip to main content

FGFR1 Antibody - BSA Free

Novus Biologicals, part of Bio-Techne | Catalog # NBP2-33784

Novus Biologicals, part of Bio-Techne
Catalog #
Availability
Size / Price
Qty
Loading...
NBP2-33784
NBP2-33784-25ul

Key Product Details

Species Reactivity

Validated:

Human

Predicted:

Mouse (94%), Rat (96%). Backed by our 100% Guarantee.

Applications

Immunohistochemistry, Immunohistochemistry-Paraffin, Western Blot

Label

Unconjugated

Antibody Source

Polyclonal Rabbit IgG

Format

BSA Free

Concentration

Concentrations vary lot to lot. See vial label for concentration. If unlisted please contact technical services.

Product Specifications

Immunogen

This antibody was developed against a recombinant protein corresponding to amino acids: LPEQAQPWGAPVEVESFLVHPGDLLQLRCRLRDDVQSINWLRDGVQLAESNRTR

Clonality

Polyclonal

Host

Rabbit

Isotype

IgG

Description

Novus Biologicals Rabbit FGFR1 Antibody - BSA Free (NBP2-33784) is a polyclonal antibody validated for use in IHC and WB. Anti-FGFR1 Antibody: Cited in 2 publications. All Novus Biologicals antibodies are covered by our 100% guarantee.

Scientific Data Images for FGFR1 Antibody - BSA Free

Western Blot: FGFR1 Antibody [NBP2-33784]

Western Blot: FGFR1 Antibody [NBP2-33784]

Western Blot: FGFR1 Antibody [NBP2-33784] - Analysis in human cell line AN3-CA.
Immunohistochemistry-Paraffin: FGFR1 Antibody [NBP2-33784]

Immunohistochemistry-Paraffin: FGFR1 Antibody [NBP2-33784]

Immunohistochemistry-Paraffin: FGFR1 Antibody [NBP2-33784] - Staining of human kidney shows strong membranous positivity in cells in tubules.
FGFR1 Antibody - BSA Free

Immunohistochemistry-Paraffin: FGFR1 Antibody [NBP2-33784] -

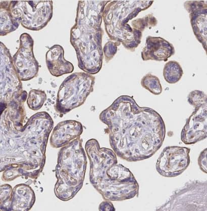
Immunohistochemistry-Paraffin: FGFR1 Antibody [NBP2-33784] - Staining of human placenta shows moderate membranous positivity in trophoblastic cells.

Applications for FGFR1 Antibody - BSA Free

Application
Recommended Usage

Immunohistochemistry

1:50 - 1:200

Immunohistochemistry-Paraffin

1:50 - 1:200

Western Blot

0.04-0.4 ug/ml
Application Notes
For IHC-Paraffin, HIER pH 6 retrieval is recommended.

Formulation, Preparation, and Storage

Purification

Immunogen affinity purified

Formulation

PBS (pH 7.2) and 40% Glycerol

Format

BSA Free

Preservative

0.02% Sodium Azide

Concentration

Concentrations vary lot to lot. See vial label for concentration. If unlisted please contact technical services.

Shipping

The product is shipped with polar packs. Upon receipt, store it immediately at the temperature recommended below.

Stability & Storage

Store at 4C short term. Aliquot and store at -20C long term. Avoid freeze-thaw cycles.

Background: FGFR1

FGF activity is mediated by a family of type I transmembrane tyrosine kinases, which undergo dimerization and autophosphorylation after ligand binding. Five distinct genes encode closely related FGF receptors, FGFR1 through 5. FGFRs contain three Ig-like domains and a stretch of acidic residues between the first and second Ig-like domains. FGFR1, 2, 3, and -4 have a cytoplasmic split tyrosine-kinase domain, but FGFR5 does not. Multiple forms of FGFR1, 2, and 3 are generated by alternative splicing.

Long Name

Fibroblast Growth Factor Receptor 1

Alternate Names

CD331, FGF R1, Flt-2

Gene Symbol

FGFR1

UniProt

Additional FGFR1 Products

Product Documents for FGFR1 Antibody - BSA Free

Certificate of Analysis

To download a Certificate of Analysis, please enter a lot number in the search box below.

Product Specific Notices for FGFR1 Antibody - BSA Free

This product is for research use only and is not approved for use in humans or in clinical diagnosis. Primary Antibodies are guaranteed for 1 year from date of receipt.

Loading...
Loading...
Loading...
Loading...
Loading...