Skip to main content

FGFBP3 Antibody - BSA Free

Novus Biologicals, part of Bio-Techne | Catalog # NBP3-46323

Novus Biologicals, part of Bio-Techne
Catalog #
Availability
Size / Price
Qty
Loading...
NBP3-46323

Key Product Details

Species Reactivity

Human, Mouse

Applications

Immunohistochemistry, Western Blot, ELISA, Immunocytochemistry/ Immunofluorescence

Label

Unconjugated

Antibody Source

Polyclonal Rabbit IgG

Format

BSA Free

Concentration

Please see the vial label for concentration. If unlisted please contact technical services.

Product Specifications

Immunogen

fibroblast growth factor binding protein 3. (Uniprot# Q8TAT2)

Clonality

Polyclonal

Host

Rabbit

Isotype

IgG

Description

Novus Biologicals Rabbit FGFBP3 Antibody - BSA Free (NBP3-46323) is a polyclonal antibody validated for use in IHC, WB, ELISA and ICC/IF. All Novus Biologicals antibodies are covered by our 100% guarantee.

Scientific Data Images for FGFBP3 Antibody - BSA Free

FGFBP3 Antibody - BSA Free

Western Blot: FGFBP3 Antibody - BSA Free [NBP3-46323] -

Western Blot: FGFBP3 Antibody - BSA Free [NBP3-46323] - Human testis tissue were subjected to SDS PAGE followed by western blot with (FGFBP3 Antibody) at dilution of 1:300
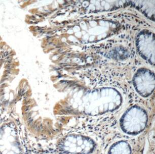
FGFBP3 Antibody - BSA Free

Immunohistochemistry: FGFBP3 Antibody - BSA Free [NBP3-46323] -

Immunohistochemistry: FGFBP3 Antibody - BSA Free [NBP3-46323] - Immunohistochemistry of paraffin-embedded human colon tissue slide using (FGFBP3 Antibody) at dilution of 1:50

Applications for FGFBP3 Antibody - BSA Free

Application
Recommended Usage

Immunocytochemistry/ Immunofluorescence

1:20-1:200

Immunohistochemistry

1:20-1:200

Western Blot

1:500-1:2000
Application Notes
Theoretical Molecular Weight is 60-65 kDa

Formulation, Preparation, and Storage

Purification

Immunogen affinity purified

Formulation

PBS, 50% Glycerol, pH (7.3)

Format

BSA Free

Preservative

0.02% Sodium Azide

Concentration

Please see the vial label for concentration. If unlisted please contact technical services.

Shipping

The product is shipped with polar packs. Upon receipt, store it immediately at the temperature recommended below.

Stability & Storage

Store at -20C. Avoid freeze-thaw cycles.

Background: FGFBP3

Long Name

Fibroblast Growth Factor Binding Protein 3

Alternate Names

C10orf13, FGF-Binding Protein 3, FGF-BP3, FGFBP-3

Gene Symbol

FGFBP3

Additional FGFBP3 Products

Product Documents for FGFBP3 Antibody - BSA Free

Certificate of Analysis

To download a Certificate of Analysis, please enter a lot number in the search box below.

Product Specific Notices for FGFBP3 Antibody - BSA Free

This product is for research use only and is not approved for use in humans or in clinical diagnosis. Primary Antibodies are guaranteed for 1 year from date of receipt.

Loading...
Loading...
Loading...
Loading...