Skip to main content

Fetuin A/AHSG Antibody - BSA Free

Novus Biologicals, part of Bio-Techne | Catalog # NBP1-90303

Novus Biologicals, part of Bio-Techne
Catalog #
Availability
Size / Price
Qty
Loading...
NBP1-90303
NBP1-90303-25ul

Key Product Details

Validated by

Knockout/Knockdown, Independent Antibodies

Species Reactivity

Human

Applications

Immunohistochemistry, Immunohistochemistry-Paraffin, Western Blot, Immunocytochemistry/ Immunofluorescence, Knockdown Validated

Label

Unconjugated

Antibody Source

Polyclonal Rabbit IgG

Format

BSA Free

Concentration

Concentrations vary lot to lot. See vial label for concentration. If unlisted please contact technical services.

Product Specifications

Immunogen

This antibody was developed against Recombinant Protein corresponding to amino acids: LPPSTYVEFTVSGTDCVAKEATEAAKCNLLAEKQYGFCKATLSEKLGGAEVAVTCMVFQTQPVSSQPQPEGANEAVPTPVVDPDAPPSPPLGAPGLPPAGSPPDSHVLLAAPPGHQLHRAHYDLRHTFMGVVSLGSPS

Reactivity Notes

Reactivity reported in scientific literature (PMID: 23284864)

Clonality

Polyclonal

Host

Rabbit

Isotype

IgG

Scientific Data Images for Fetuin A/AHSG Antibody - BSA Free

Immunocytochemistry/ Immunofluorescence: Fetuin A/AHSG Antibody [NBP1-90303]

Immunocytochemistry/ Immunofluorescence: Fetuin A/AHSG Antibody [NBP1-90303]

Immunocytochemistry/Immunofluorescence: Fetuin A/AHSG Antibody [NBP1-90303] - Staining of human cell line Hep G2 shows localization to the Golgi apparatus. Antibody staining is shown in green.
Immunohistochemistry-Paraffin: Fetuin A/AHSG Antibody [NBP1-90303]

Immunohistochemistry-Paraffin: Fetuin A/AHSG Antibody [NBP1-90303]

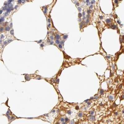
Immunohistochemistry-Paraffin: Fetuin A/AHSG Antibody [NBP1-90303] - Staining of human bone marrow, cerebral cortex, liver and lymph node using Anti-AHSG antibody NBP1-90303 (A) shows similar protein distribution across tissues to independent antibody NBP1-90302 (B).
Immunohistochemistry-Paraffin: Fetuin A/AHSG Antibody [NBP1-90303]

Immunohistochemistry-Paraffin: Fetuin A/AHSG Antibody [NBP1-90303]

Immunohistochemistry-Paraffin: Fetuin A/AHSG Antibody [NBP1-90303] - Staining of human cerebral cortex.

Applications for Fetuin A/AHSG Antibody - BSA Free

Application
Recommended Usage

Immunocytochemistry/ Immunofluorescence

0.25-2 ug/ml

Immunohistochemistry

1:200 - 1:500

Immunohistochemistry-Paraffin

1:50-1:200

Western Blot

0.04-0.4 ug/ml
Application Notes
For IHC-Paraffin, HIER pH 6 retrieval is recommended. ICC/IF Fixation Permeabilization: Use PFA/Triton X-100.

Formulation, Preparation, and Storage

Purification

Affinity purified

Formulation

PBS (pH 7.2) and 40% Glycerol

Format

BSA Free

Preservative

0.02% Sodium Azide

Concentration

Concentrations vary lot to lot. See vial label for concentration. If unlisted please contact technical services.

Shipping

The product is shipped with polar packs. Upon receipt, store it immediately at the temperature recommended below.

Stability & Storage

Store at 4C short term. Aliquot and store at -20C long term. Avoid freeze-thaw cycles.

Background: Fetuin A/AHSG

Human fetuin (2-Heremans-Schmid-glycoprotein or a2-HS glycoprotein) is a major plasma glycoprotein predominantly synthesized in the liver. Human fetuin is named after its bovine homolog. Fetuins are found in most mammals. Human fetuin is a negative acute-phase protein; normal circulating levels in adults (300600 g/ml) fall significantly (3050%) during injury and infection. The biological role of fetuin is unknown, although it has been implicated as an immunomodulator that can participate in stimulation of bacterial phagocytosis by neutrophils and promotion of endocytosis by mouse macrophages. Hepatocytes are the principal cell source of circulating fetuin, but it also is expressed by monocyte/macrophages. Fetuins occur in large amounts in blood and cerebrospinal fluid and accumulate to high concentrations in calcified bone. The fetuin promoter region has several potential interleukin 6-responsive elements, and its synthesis is down-regulated during injury and inflammation. Fetuin is an acidic glycoprotein with three N-linked and three O-linked oligosaccharide chains, whose terminal sugar residues are rich in sialic acid (N-acetylneuraminic acid), contributing to its net negative charge. A role for fetuin as a carrier of bioactive molecules has been proposed based on observations that it binds and carries Ca2+ ion. Fetuin is implicated in bone remodeling, immune function and may play a role in tumor progression of certain cell types. Fetuin plays a role as an anti-inflammatory agent by suppressing the release of TNF from stimulated macrophages. Fetuin also interacts with members of the matrix metalloprotease family of zinc dependent secreted transmembrane proteins that degrade basement membranes and extracellular matrix components. The biological activity of fetuin is mediated through its direct interaction with other proteins. Fetuin down-regulates a number of receptor tyrosine kinase family members. A motif within fetuin has homology to the TGF-b receptor type II. Circulating human plasma fetuin is partly phosphorylated which implies that phosphorylated fetuin may have a physiological function in vivo. Human fetuin isolated from plasma is a two-chain molecule consisting of a A-chain of 322 amino acid residues (53 kDa) and a B-chain of 27 residues (5 kDa). The carboxy terminal 40 amino acids of the A chain constitute a bridging peptide that may be removed proteolytically in vivo. A single mRNA encodes both the A and B chains. The apparent molecular weight of intact human fetuin is 58 kDa.

Long Name

alpha-2-HS Glycoprotein

Alternate Names

AHSG, alpha-2-HS-glycoprotein

Gene Symbol

AHSG

Additional Fetuin A/AHSG Products

Product Documents for Fetuin A/AHSG Antibody - BSA Free

Certificate of Analysis

To download a Certificate of Analysis, please enter a lot number in the search box below.

Product Specific Notices for Fetuin A/AHSG Antibody - BSA Free

This product is for research use only and is not approved for use in humans or in clinical diagnosis. Primary Antibodies are guaranteed for 1 year from date of receipt.

Loading...
Loading...
Loading...
Loading...