Skip to main content

ferric-chelate reductase 1 Antibody - BSA Free

Novus Biologicals, part of Bio-Techne | Catalog # NBP1-90668

Novus Biologicals, part of Bio-Techne
Catalog #
Availability
Size / Price
Qty
Loading...
NBP1-90668
NBP1-90668-25ul

Key Product Details

Species Reactivity

Human

Applications

Immunohistochemistry, Immunohistochemistry-Paraffin, Western Blot

Label

Unconjugated

Antibody Source

Polyclonal Rabbit IgG

Format

BSA Free

Concentration

Concentrations vary lot to lot. See vial label for concentration. If unlisted please contact technical services.

Product Specifications

Immunogen

This antibody was developed against Recombinant Protein corresponding to amino acids: SHLTKPFSASDCGNKKFCIRSPLNCDPEKEASCVFLSFTRDDQSVMVEMSGPSKGYLSFALSHDQWMGDDDAYLCIHEDQTVYIQPSHLTGRSHPVMDSRDTLEDMAWRLADGVMQCSFRRNITLPGVKNRFDLNTSYYIFLADGAANDG

Reactivity Notes

Immunogen displays the following percentage of sequence identity for non-tested species: Mouse (83%), Rat (85%)

Clonality

Polyclonal

Host

Rabbit

Isotype

IgG

Description

Novus Biologicals Rabbit ferric-chelate reductase 1 Antibody - BSA Free (NBP1-90668) is a polyclonal antibody validated for use in IHC and WB. All Novus Biologicals antibodies are covered by our 100% guarantee.

Scientific Data Images for ferric-chelate reductase 1 Antibody - BSA Free

Western Blot: ferric-chelate reductase 1 Antibody [NBP1-90668]

Western Blot: ferric-chelate reductase 1 Antibody [NBP1-90668]

Western Blot: ferric-chelate reductase 1 Antibody [NBP1-90668] - Lane 1: Marker [kDa] 230, 130, 95, 72, 56, 36, 28, 17, 11. Lane 2: Human cell line RT-216
ferric-chelate reductase 1 Antibody - BSA Free Immunohistochemistry: ferric-chelate reductase 1 Antibody - BSA Free [NBP1-90668]

Immunohistochemistry: ferric-chelate reductase 1 Antibody - BSA Free [NBP1-90668]

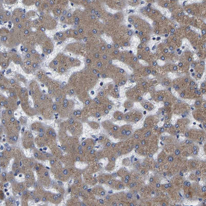
Staining of human liver shows moderate cytoplasmic positivity in hepatocytes.
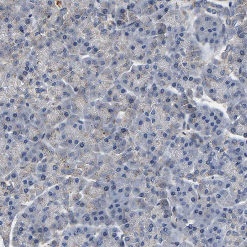
ferric-chelate reductase 1 Antibody - BSA Free Immunohistochemistry: ferric-chelate reductase 1 Antibody - BSA Free [NBP1-90668]

Immunohistochemistry: ferric-chelate reductase 1 Antibody - BSA Free [NBP1-90668]

Staining of human pancreas shows no cytoplasmic positivity in exocrine glandular cells as expected.

Applications for ferric-chelate reductase 1 Antibody - BSA Free

Application
Recommended Usage

Immunohistochemistry

1:50 - 1:200

Immunohistochemistry-Paraffin

1:50 - 1:200

Western Blot

0.04-0.4 ug/ml
Application Notes
For IHC-Paraffin, HIER pH 6 retrieval is recommended.

Formulation, Preparation, and Storage

Purification

Affinity purified

Formulation

PBS (pH 7.2) and 40% Glycerol

Format

BSA Free

Preservative

0.02% Sodium Azide

Concentration

Concentrations vary lot to lot. See vial label for concentration. If unlisted please contact technical services.

Shipping

The product is shipped with polar packs. Upon receipt, store it immediately at the temperature recommended below.

Stability & Storage

Store at 4C short term. Aliquot and store at -20C long term. Avoid freeze-thaw cycles.

Background: ferric-chelate reductase 1

Alternate Names

ferric-chelate reductase 1, SDR2, stromal cell derived factor receptor 2 homolog, stromal cell-derived receptor 2

Gene Symbol

FRRS1

Additional ferric-chelate reductase 1 Products

Product Documents for ferric-chelate reductase 1 Antibody - BSA Free

Certificate of Analysis

To download a Certificate of Analysis, please enter a lot number in the search box below.

Product Specific Notices for ferric-chelate reductase 1 Antibody - BSA Free

This product is for research use only and is not approved for use in humans or in clinical diagnosis. Primary Antibodies are guaranteed for 1 year from date of receipt.

Loading...
Loading...
Loading...
Loading...