Skip to main content

Fer-1-like protein 6 Antibody - BSA Free

Novus Biologicals, part of Bio-Techne | Catalog # NBP2-31004

Novus Biologicals, part of Bio-Techne
Catalog #
Availability
Size / Price
Qty
Loading...
NBP2-31004-25ul
NBP2-31004

Key Product Details

Validated by

Orthogonal Validation

Species Reactivity

Human

Applications

Immunohistochemistry, Immunohistochemistry-Paraffin

Label

Unconjugated

Antibody Source

Polyclonal Rabbit IgG

Format

BSA Free

Concentration

Concentrations vary lot to lot. See vial label for concentration. If unlisted please contact technical services.

Product Specifications

Immunogen

This antibody was developed against a recombinant protein corresponding to amino acids: QPGHDISDSLTATESSGAHSSSQDPPADHIYVDVEPPPTVVPDSAQAQPAILVDVPDSSPMLEPEHTPVAQEPPKDGKPKD

Clonality

Polyclonal

Host

Rabbit

Isotype

IgG

Description

Novus Biologicals Rabbit Fer-1-like protein 6 Antibody - BSA Free (NBP2-31004) is a polyclonal antibody validated for use in IHC. All Novus Biologicals antibodies are covered by our 100% guarantee.

Scientific Data Images for Fer-1-like protein 6 Antibody - BSA Free

Fer-1-like protein 6 Antibody Fer-1-like protein 6 Antibody

Fer-1-like protein 6 Antibody [NBP2-31004] -Analysis in human stomach and tonsil tissues using NBP2-31004antibody. Corresponding FER1L6 RNA-seq data are presented for the same tissues.

Fer-1-like protein 6 Antibody [NBP2-31004] -Analysis in human stomach and tonsil tissues using NBP2-31004antibody. Corresponding FER1L6 RNA-seq data are presented for the same tissues.
Fer-1-like protein 6 Antibody Fer-1-like protein 6 Antibody

Fer-1-like protein 6 Antibody [NBP2-31004] - Staining of human stomach shows strong membranous positivity in glandular cells.

Fer-1-like protein 6 Antibody [NBP2-31004] - Staining of human stomach shows strong membranous positivity in glandular cells.
Fer-1-like protein 6 Antibody Fer-1-like protein 6 Antibody

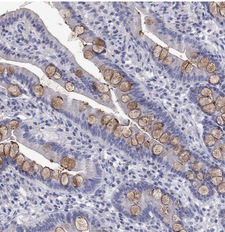
Fer-1-like protein 6 Antibody [NBP2-31004] - Staining of human small intestine shows strong membranous positivity in goblet cells.

Fer-1-like protein 6 Antibody [NBP2-31004] - Staining of human small intestine shows strong membranous positivity in goblet cells.

Applications for Fer-1-like protein 6 Antibody - BSA Free

Application
Recommended Usage

Immunohistochemistry

1:1000 -1:2500

Immunohistochemistry-Paraffin

1:1000 - 1:2500
Application Notes
For IHC-Paraffin, HIER pH 6 retrieval is recommended.

Formulation, Preparation, and Storage

Purification

Affinity purified

Formulation

PBS (pH 7.2) and 40% Glycerol

Format

BSA Free

Preservative

0.02% Sodium Azide

Concentration

Concentrations vary lot to lot. See vial label for concentration. If unlisted please contact technical services.

Shipping

The product is shipped with polar packs. Upon receipt, store it immediately at the temperature recommended below.

Stability & Storage

Store at 4C short term. Aliquot and store at -20C long term. Avoid freeze-thaw cycles.

Background: Fer-1-like protein 6

Alternate Names

C8orfK23, FER1L6, Fer-1-Like 6 (C. Elegans)

Gene Symbol

FER1L6

UniProt

Additional Fer-1-like protein 6 Products

Product Documents for Fer-1-like protein 6 Antibody - BSA Free

Certificate of Analysis

To download a Certificate of Analysis, please enter a lot number in the search box below.

Product Specific Notices for Fer-1-like protein 6 Antibody - BSA Free

This product is for research use only and is not approved for use in humans or in clinical diagnosis. Primary Antibodies are guaranteed for 1 year from date of receipt.

Loading...
Loading...
Loading...
Loading...