Skip to main content

FEN-1 Antibody (OTI1F3)

Novus Biologicals, part of Bio-Techne | Catalog # NBP2-45640

Novus Biologicals, part of Bio-Techne
Catalog #
Availability
Size / Price
Qty
Loading...
NBP2-45640

Key Product Details

Species Reactivity

Human, Mouse, Rat

Applications

Immunohistochemistry, Immunohistochemistry-Paraffin, Western Blot

Label

Unconjugated

Antibody Source

Monoclonal Mouse IgG1 Clone # OTI1F3

Concentration

1 mg/ml

Product Specifications

Immunogen

Human recombinant protein fragment corresponding to amino acids 117-380 of human FEN1 (NP_004102) produced in E.coli.

Reactivity Notes

Please note that this antibody is reactive to Mouse and derived from the same host, Mouse. Mouse-On-Mouse blocking reagent may be needed for IHC and ICC experiments to reduce high background signal. You can find these reagents under catalog numbers PK-2200-NB and MP-2400-NB. Please contact Technical Support if you have any questions.

Clonality

Monoclonal

Host

Mouse

Isotype

IgG1

Theoretical MW

42.4 kDa.
Disclaimer note: The observed molecular weight of the protein may vary from the listed predicted molecular weight due to post translational modifications, post translation cleavages, relative charges, and other experimental factors.

Description

Novus Biologicals Mouse FEN-1 Antibody (OTI1F3) (NBP2-45640) is a monoclonal antibody validated for use in IHC and WB. All Novus Biologicals antibodies are covered by our 100% guarantee.

Scientific Data Images for FEN-1 Antibody (OTI1F3)

Western Blot: FEN-1 Antibody (OTI1F3) [NBP2-45640]

Western Blot: FEN-1 Antibody (OTI1F3) [NBP2-45640]

Western Blot: FEN-1 Antibody (1F3) [NBP2-45640] - Analysis of HEK293T cells were transfected with the pCMV6-ENTRY control (Left lane) or pCMV6-ENTRY FEN-1.
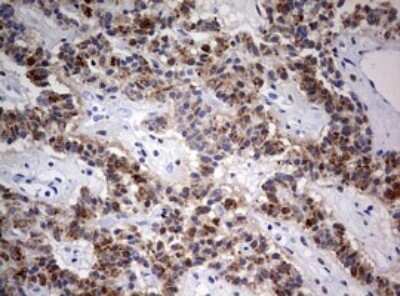
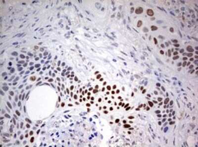
Immunohistochemistry: FEN-1 Antibody (OTI1F3) [NBP2-45640]

Immunohistochemistry: FEN-1 Antibody (OTI1F3) [NBP2-45640]

Immunohistochemistry: FEN-1 Antibody (1F3) [NBP2-45640] - Analysis of Human prostate tissue. (Heat-induced epitope retrieval by 10mM citric buffer, pH6.0, 120C for 3min)
Western Blot: FEN-1 Antibody (OTI1F3) [NBP2-45640]

Western Blot: FEN-1 Antibody (OTI1F3) [NBP2-45640]

Western Blot: FEN-1 Antibody (1F3) [NBP2-45640] - Analysis of A549 cell lysate (35ug).

Applications for FEN-1 Antibody (OTI1F3)

Application
Recommended Usage

Immunohistochemistry

1:150

Western Blot

1:2000

Formulation, Preparation, and Storage

Purification

Immunogen affinity purified

Formulation

PBS (pH 7.3), 1.0% BSA and 50% Glycerol

Preservative

0.02% Sodium Azide

Concentration

1 mg/ml

Shipping

The product is shipped with polar packs. Upon receipt, store it immediately at the temperature recommended below.

Stability & Storage

Store at -20C. Avoid freeze-thaw cycles.

Background: FEN-1

The FEN-1 enzyme is active in base excision repair (BER) pathways. Once the DNA glycosylase removes the desired nucleotide stretch, a DNA polymerase synthesizes the complementary nucleotides for replacement. To complete the DNA repair, the FEN-1 enzyme removes the extra flap of nucleotides and DNA ligase finishes the repair.

Long Name

Flap Endonuclease 1

Alternate Names

FEN1

Gene Symbol

FEN1

Additional FEN-1 Products

Product Documents for FEN-1 Antibody (OTI1F3)

Certificate of Analysis

To download a Certificate of Analysis, please enter a lot number in the search box below.

Product Specific Notices for FEN-1 Antibody (OTI1F3)

This product is for research use only and is not approved for use in humans or in clinical diagnosis. Primary Antibodies are guaranteed for 1 year from date of receipt.

Loading...
Loading...
Loading...
Loading...