FECH Antibody - BSA Free
Novus Biologicals, part of Bio-Techne | Catalog # NBP3-38540
Key Product Details
Species Reactivity
Human, Mouse, Rat
Applications
Immunohistochemistry, Immunohistochemistry-Paraffin, Western Blot, ELISA
Label
Unconjugated
Antibody Source
Polyclonal Rabbit IgG
Format
BSA Free
Concentration
Please see the vial label for concentration. If unlisted please contact technical services.
Product Specifications
Immunogen
Recombinant fusion protein containing a sequence corresponding to amino acids 1-200 of human FECH (NP_000131.2).
Sequence:
MRSLGANMAAALRAAGVLLRDPLASSSWRVCQPWRWKSGAAAAAVTTETAQHAQGAKPQVQPQKRKPKTGILMLNMGGPETLGDVHDFLLRLFLDRDLMTLPIQNKLAPFIAKRRTPKIQEQYRRIGGGSPIKIWTSKQGEGMVKLLDELSPNTAPHKYYIGFRYVHPLTEEAIEEMERDGLERAIAFTQYPQYSCSTTG
Sequence:
MRSLGANMAAALRAAGVLLRDPLASSSWRVCQPWRWKSGAAAAAVTTETAQHAQGAKPQVQPQKRKPKTGILMLNMGGPETLGDVHDFLLRLFLDRDLMTLPIQNKLAPFIAKRRTPKIQEQYRRIGGGSPIKIWTSKQGEGMVKLLDELSPNTAPHKYYIGFRYVHPLTEEAIEEMERDGLERAIAFTQYPQYSCSTTG
Clonality
Polyclonal
Host
Rabbit
Isotype
IgG
Theoretical MW
48 kDa.
Disclaimer note: The observed molecular weight of the protein may vary from the listed predicted molecular weight due to post translational modifications, post translation cleavages, relative charges, and other experimental factors.
Disclaimer note: The observed molecular weight of the protein may vary from the listed predicted molecular weight due to post translational modifications, post translation cleavages, relative charges, and other experimental factors.
Description
Novus Biologicals Rabbit FECH Antibody - BSA Free (NBP3-38540) is a polyclonal antibody validated for use in IHC, WB and ELISA. All Novus Biologicals antibodies are covered by our 100% guarantee.
Scientific Data Images for FECH Antibody - BSA Free
Immunohistochemistry: FECH Antibody [NBP3-38540] -
Immunohistochemistry: FECH Antibody [NBP3-38540] - Immunohistochemistry analysis of paraffin-embedded Mouse lung using FECH Rabbit pAb at dilution of 1:100 (40x lens). Microwave antigen retrieval performed with 0.01M PBS Buffer (pH 7.2) prior to IHC staining.Immunohistochemistry: FECH Antibody [NBP3-38540] -
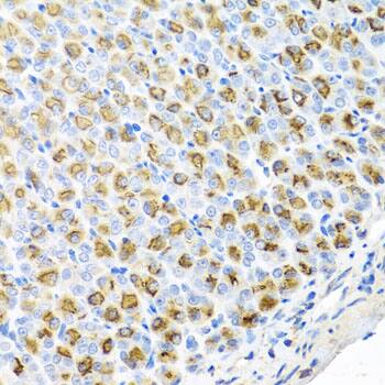
Immunohistochemistry: FECH Antibody [NBP3-38540] - Immunohistochemistry analysis of paraffin-embedded Human stomach using FECH Rabbit pAb at dilution of 1:100 (40x lens). Microwave antigen retrieval performed with 0.01M PBS Buffer (pH 7.2) prior to IHC staining.Western Blot: FECH Antibody [NBP3-38540] -
Western Blot: FECH Antibody [NBP3-38540] - Western blot analysis of various lysates using FECH Rabbit pAb at 1:1000 dilution.Secondary antibody: HRP-conjugated Goat anti-Rabbit IgG (H+L) at 1:10000 dilution.
Lysates/proteins: 25ug per lane.
Blocking buffer: 3% nonfat dry milk in TBST.
Detection: ECL Basic Kit.
Exposure time: 5s.
Applications for FECH Antibody - BSA Free
Application
Recommended Usage
Immunohistochemistry-Paraffin
1:50 - 1:100
Western Blot
1:500 - 1:2000
Formulation, Preparation, and Storage
Purification
Affinity purified
Formulation
PBS (pH 7.3), 50% glycerol
Format
BSA Free
Preservative
0.02% Sodium Azide
Concentration
Please see the vial label for concentration. If unlisted please contact technical services.
Shipping
The product is shipped with polar packs. Upon receipt, store it immediately at the temperature recommended below.
Stability & Storage
Store at -20C. Avoid freeze-thaw cycles.
Background: FECH
Alternate Names
EC 4.99.1.1, EPP, FCE, ferrochelatase, ferrochelatase (protoporphyria), ferrochelatase, mitochondrial, Heme synthase, heme synthetase, Protoheme ferro-lyase, protoporphyria
Gene Symbol
FECH
Additional FECH Products
Product Documents for FECH Antibody - BSA Free
Product Specific Notices for FECH Antibody - BSA Free
This product is for research use only and is not approved for use in humans or in clinical diagnosis. Primary Antibodies are guaranteed for 1 year from date of receipt.
Loading...
Loading...
Loading...
Loading...