Skip to main content

FDPS Antibody (HL2123) - Azide and BSA Free

Novus Biologicals, part of Bio-Techne | Catalog # NBP3-25464

Recombinant Monoclonal Antibody
Novus Biologicals, part of Bio-Techne
Catalog #
Availability
Size / Price
Qty
Loading...
NBP3-25464

Key Product Details

Validated by

Orthogonal Validation

Species Reactivity

Human, Mouse, Rat

Applications

Immunohistochemistry, Immunohistochemistry-Paraffin, Western Blot

Label

Unconjugated

Antibody Source

Recombinant Monoclonal Rabbit IgG Clone # HL2123 expressed in HEK293

Format

Azide and BSA Free

Concentration

Concentrations vary lot to lot. See vial label for concentration. If unlisted please contact technical services.

Product Specifications

Immunogen

Recombinant fragment of human FDPS

Clonality

Monoclonal

Host

Rabbit

Isotype

IgG

Description

Novus Biologicals Rabbit FDPS Antibody (HL2123) - Azide and BSA Free (NBP3-25464) is a recombinant monoclonal antibody validated for use in IHC and WB. All Novus Biologicals antibodies are covered by our 100% guarantee.

Scientific Data Images for FDPS Antibody (HL2123) - Azide and BSA Free

FDPS Antibody (HL2123) - Azide and BSA Free

Immunohistochemistry-Paraffin: FDPS Antibody (HL2123) - Azide and BSA Free [NBP3-25464] -

Immunohistochemistry-Paraffin: FDPS Antibody (HL2123) - Azide and BSA Free [NBP3-25464] - FDPS antibody [HL2123] detects FDPS protein at cytoplasm by immunohistochemical analysis. Sample: Paraffin-embedded mouse tissues. FDPS stained by FDPS antibody [HL2123] (NBP3-25464) diluted at 1:100. Antigen Retrieval: Citrate buffer, pH 6.0, 15 min
FDPS Antibody (HL2123) - Azide and BSA Free

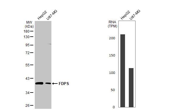
Western Blot: FDPS Antibody (HL2123) - Azide and BSA Free [NBP3-25464] -

Western Blot: FDPS Antibody (HL2123) - Azide and BSA Free [NBP3-25464] - Various whole cell extracts (30 ug) were separated by 10% SDS-PAGE, and the membrane was blotted with FDPS antibody [HL2123] (NBP3-25464) diluted at 1:2000. The HRP-conjugated anti-rabbit IgG antibody was used to detect the primary antibody.
FDPS Antibody (HL2123) - Azide and BSA Free

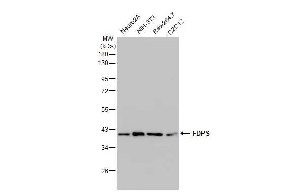
Western Blot: FDPS Antibody (HL2123) - Azide and BSA Free [NBP3-25464] -

Western Blot: FDPS Antibody (HL2123) - Azide and BSA Free [NBP3-25464] - Various tissue extracts (50 ug) were separated by 10% SDS-PAGE, and the membrane was blotted with FDPS antibody [HL2123] (NBP3-25464) diluted at 1:2000. The HRP-conjugated anti-rabbit IgG antibody was used to detect the primary antibody.

Applications for FDPS Antibody (HL2123) - Azide and BSA Free

Application
Recommended Usage

Western Blot

1:500-1:3000

Formulation, Preparation, and Storage

Purification

Protein A purified

Formulation

PBS

Format

Azide and BSA Free

Preservative

No Preservative

Concentration

Concentrations vary lot to lot. See vial label for concentration. If unlisted please contact technical services.

Shipping

The product is shipped with polar packs. Upon receipt, store it immediately at the temperature recommended below.

Stability & Storage

Store at 4C short term. Aliquot and store at -20C long term. Avoid freeze-thaw cycles.

Background: FDPS

Long Name

Farnesyl pyrophosphate synthase

Alternate Names

EC 2.5.1.1, EC 2.5.1.10, FPP synthase, KIAA1293

Gene Symbol

FDPS

Additional FDPS Products

Product Documents for FDPS Antibody (HL2123) - Azide and BSA Free

Certificate of Analysis

To download a Certificate of Analysis, please enter a lot number in the search box below.

Product Specific Notices for FDPS Antibody (HL2123) - Azide and BSA Free

This product is for research use only and is not approved for use in humans or in clinical diagnosis. Primary Antibodies are guaranteed for 1 year from date of receipt.

Loading...
Loading...
Loading...
Loading...