Skip to main content

FDFT1 Antibody (OTI2F10)

Novus Biologicals, part of Bio-Techne | Catalog # NBP2-01170

Novus Biologicals, part of Bio-Techne
Catalog #
Availability
Size / Price
Qty
Loading...
NBP2-01170

Key Product Details

Species Reactivity

Human, Mouse, Rat, Monkey, Primate

Applications

Immunohistochemistry, Immunohistochemistry-Paraffin, Western Blot, Immunocytochemistry/ Immunofluorescence

Label

Unconjugated

Antibody Source

Monoclonal Mouse IgG2A Clone # OTI2F10

Concentration

0.93 mg/ml

Product Specifications

Immunogen

Full length human recombinant protein of human FDFT1(NP_004453) produced in HEK293T cell.

Reactivity Notes

Please note that this antibody is reactive to Mouse and derived from the same host, Mouse. Mouse-On-Mouse blocking reagent may be needed for IHC and ICC experiments to reduce high background signal. You can find these reagents under catalog numbers PK-2200-NB and MP-2400-NB. Please contact Technical Support if you have any questions.

Clonality

Monoclonal

Host

Mouse

Isotype

IgG2A

Theoretical MW

47.9 kDa.
Disclaimer note: The observed molecular weight of the protein may vary from the listed predicted molecular weight due to post translational modifications, post translation cleavages, relative charges, and other experimental factors.

Description

Novus Biologicals Mouse FDFT1 Antibody (OTI2F10) (NBP2-01170) is a monoclonal antibody validated for use in IHC, WB and ICC/IF. All Novus Biologicals antibodies are covered by our 100% guarantee.

Scientific Data Images for FDFT1 Antibody (OTI2F10)

Western Blot: FDFT1 Antibody (2F10) [NBP2-01170] Analysis of extracts (35ug) from 9 different cell lines by using anti-FDFT1 monoclonal antibody.
Immunocytochemistry/ Immunofluorescence: FDFT1 Antibody (OTI2F10) [NBP2-01170]

Immunocytochemistry/ Immunofluorescence: FDFT1 Antibody (OTI2F10) [NBP2-01170]

Immunocytochemistry/Immunofluorescence: FDFT1 Antibody (2F10) [NBP2-01170] - Staining of COS7 cells transiently transfected by pCMV6-ENTRY FDFT1.
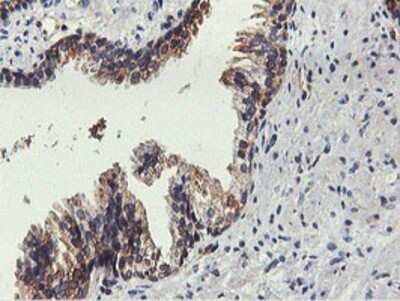
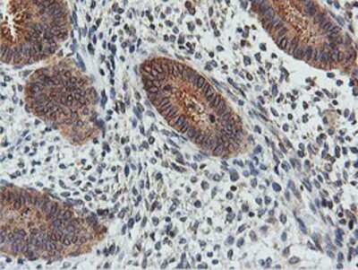
Immunohistochemistry-Paraffin: FDFT1 Antibody (OTI2F10) [NBP2-01170]

Immunohistochemistry-Paraffin: FDFT1 Antibody (OTI2F10) [NBP2-01170]

Immunohistochemistry-Paraffin: FDFT1 Antibody (2F10) [NBP2-01170] - Staining of paraffin-embedded Human prostate tissue using anti-FDFT1 mouse monoclonal antibody.

Applications for FDFT1 Antibody (OTI2F10)

Application
Recommended Usage

Immunocytochemistry/ Immunofluorescence

1:100

Immunohistochemistry

1:150

Immunohistochemistry-Paraffin

1:150

Western Blot

1:200-500

Formulation, Preparation, and Storage

Purification

Immunogen affinity purified

Formulation

PBS (pH 7.3), 1.0% BSA and 50% Glycerol

Preservative

0.02% Sodium Azide

Concentration

0.93 mg/ml

Shipping

The product is shipped with polar packs. Upon receipt, store it immediately at the temperature recommended below.

Stability & Storage

Store at -20C. Avoid freeze-thaw cycles.

Background: FDFT1

This gene encodes a membrane-associated enzyme located at a branch point in the mevalonate pathway. The encoded protein is the first specific enzyme in cholesterol biosynthesis, catalyzing the dimerization of two molecules of farnesyl diphosphate in a two-step reaction to form squalene. [provided by RefSeq].

Long Name

Squalene synthase

Alternate Names

EC 2.5.1.21, SQS, SS

Entrez Gene IDs

2222 (Human)

Gene Symbol

FDFT1

Additional FDFT1 Products

Product Documents for FDFT1 Antibody (OTI2F10)

Certificate of Analysis

To download a Certificate of Analysis, please enter a lot number in the search box below.

Product Specific Notices for FDFT1 Antibody (OTI2F10)

This product is for research use only and is not approved for use in humans or in clinical diagnosis. Primary Antibodies are guaranteed for 1 year from date of receipt.

Loading...
Loading...
Loading...
Loading...