Skip to main content

FCRN/FCGRT Antibody (CL3640) - Azide and BSA Free

Novus Biologicals, part of Bio-Techne | Catalog # NBP3-43986

Novus Biologicals, part of Bio-Techne

Key Product Details

Species Reactivity

Human

Applications

Immunohistochemistry-Paraffin, Western Blot

Label

Unconjugated

Antibody Source

Monoclonal Mouse IgG1 Clone # CL3640

Format

Azide and BSA Free

Concentration

LYOPH mg/ml

Product Specifications

Immunogen

This antibody was generated using a recombinant protein sequence of P55899, with the exact immunogen sequence remaining proprietary.

Clonality

Monoclonal

Host

Mouse

Isotype

IgG1

Description

Novus Biologicals Mouse FCRN/FCGRT Antibody (CL3640) - Azide and BSA Free (NBP2-61627) is a monoclonal antibody validated for use in IHC and WB. All Novus Biologicals antibodies are covered by our 100% guarantee.

Scientific Data Images for FCRN/FCGRT Antibody (CL3640) - Azide and BSA Free

FCRN/FCGRT Antibody (CL3640) - Azide and BSA Free Western Blot: FCRN/FCGRT Antibody [NBP3-43986]

Western Blot: FCRN/FCGRT Antibody [NBP3-43986]

Lane 1: Marker [kDa] 250, 130, 100, 70, 55, 35, 25, 15, 10
Lane 2: Human cell line THP-1
FCRN/FCGRT Antibody (CL3640) - Azide and BSA Free Immunohistochemistry-Paraffin: FCRN/FCGRT Antibody [NBP3-43986]

Immunohistochemistry-Paraffin: FCRN/FCGRT Antibody [NBP3-43986]

Staining of human colon shows immunoreactivity in a subset of lymphoid cells.
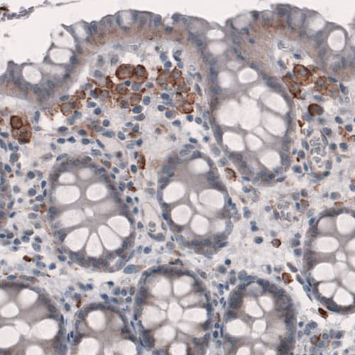
FCRN/FCGRT Antibody (CL3640) - Azide and BSA Free Immunohistochemistry-Paraffin: FCRN/FCGRT Antibody [NBP3-43986]

Immunohistochemistry-Paraffin: FCRN/FCGRT Antibody [NBP3-43986]

Staining of human cerebral cortex shows absence of immunoreactivity (negative control).

Applications for FCRN/FCGRT Antibody (CL3640) - Azide and BSA Free

Application
Recommended Usage

Immunohistochemistry-Paraffin

1:5000 - 1:10000

Western Blot

1 ug/ml
Application Notes
IHC-Paraffin HIER pH6 retrieval is recommended.

Formulation, Preparation, and Storage

Purification

Protein A purified

Reconstitution

Centrifuge the vial of lyophilized antibody at 12,000 x g for 20 seconds. Reconstitute by adding sterile, distilled water to achieve a final antibody concentration of 1mg/ml.

Formulation

Lyophilized from a 0.2 um filtered solution in PBS with Trehalose

Format

Azide and BSA Free

Preservative

No Preservative

Concentration

LYOPH mg/ml

Shipping

The product is shipped at ambient temperature. Upon receipt, store it immediately at the temperature recommended below.

Stability & Storage

Store at 4C short term. Aliquot and store at -20C long term. Avoid freeze-thaw cycles.

Background: FCRN

The FCGRT gene encodes a 365 amino acid long, 39 kDA IgG receptor FcRn large subunit p51 protein that transfers immunoglobulin G antibodies across the placenta from mother to fetus, as well as functions to protect the antibody from degradation. FCGRT interacts with genes CA6, ELANE, AZGP1, B2M, and ALB. It has been linked to diseases such as: lupus, nephritis, leukemia, arthritis, immunodeficiency, epidermolysis bullosa acquisita, persistent fetal circulation syndrome, and pemphigus.

Long Name

Neonatal Fc Receptor

Alternate Names

FCGRT

Gene Symbol

FCGRT

Additional FCRN Products

Product Documents for FCRN/FCGRT Antibody (CL3640) - Azide and BSA Free

Certificate of Analysis

To download a Certificate of Analysis, please enter a lot number in the search box below.

Product Specific Notices for FCRN/FCGRT Antibody (CL3640) - Azide and BSA Free

This product is for research use only and is not approved for use in humans or in clinical diagnosis. Primary Antibodies are guaranteed for 1 year from date of receipt.

Loading...
Loading...
Loading...
Loading...
Loading...