Skip to main content

FCP1 Antibody - BSA Free

Novus Biologicals, part of Bio-Techne | Catalog # NBP1-31472

Novus Biologicals, part of Bio-Techne
Catalog #
Availability
Size / Price
Qty
Loading...
NBP1-31472

Key Product Details

Species Reactivity

Human

Applications

Immunohistochemistry, Immunohistochemistry-Paraffin, Western Blot

Label

Unconjugated

Antibody Source

Polyclonal Rabbit IgG

Format

BSA Free

Concentration

Concentrations vary lot to lot. See vial label for concentration. If unlisted please contact technical services.

Product Specifications

Immunogen

Carrier-protein conjugated synthetic peptide encompassing a sequence within the N-terminus region of human FCP1. The exact sequence is proprietary.

Localization

Nucleus

Clonality

Polyclonal

Host

Rabbit

Isotype

IgG

Scientific Data Images for FCP1 Antibody - BSA Free

Western Blot: FCP1 Antibody [NBP1-31472]

Western Blot: FCP1 Antibody [NBP1-31472]

Western Blot: FCP1 Antibody [NBP1-31472] - Sample (30 ug of whole cell lysate) A: A431 B: H1299 7. 5% SDS PAGE; antibody diluted at 1:1000.
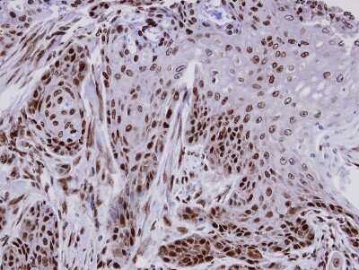
Immunohistochemistry-Paraffin: FCP1 Antibody [NBP1-31472]

Immunohistochemistry-Paraffin: FCP1 Antibody [NBP1-31472]

Immunohistochemistry-Paraffin: FCP1 Antibody [NBP1-31472] - Paraffin-embedded HeLa xenograft, using antibody at 1:100 dilution.
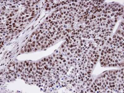
Immunohistochemistry-Paraffin: FCP1 Antibody [NBP1-31472]

Immunohistochemistry-Paraffin: FCP1 Antibody [NBP1-31472]

Immunohistochemistry-Paraffin: FCP1 Antibody [NBP1-31472] - Paraffin-embedded Cal27 xenograft, using antibody at 1:100 dilution.

Applications for FCP1 Antibody - BSA Free

Application
Recommended Usage

Immunohistochemistry

10 - 1:500

Immunohistochemistry-Paraffin

1:100-1:1000

Western Blot

1:500-1:3000

Formulation, Preparation, and Storage

Purification

Antigen Affinity-purified

Formulation

PBS, 40% Glycerol

Format

BSA Free

Preservative

0.01% Thimerosal

Concentration

Concentrations vary lot to lot. See vial label for concentration. If unlisted please contact technical services.

Shipping

The product is shipped with polar packs. Upon receipt, store it immediately at the temperature recommended below.

Stability & Storage

Aliquot and store at -20C or -80C. Avoid freeze-thaw cycles.

Background: FCP1

This gene encodes a protein which interacts with the carboxy-terminus of transcription initiation factor TFIIF, a transcription factor which regulates elongation as well as initiation by RNA polymerase II. The protein may also represent a component of an RNA polymerase II holoenzyme complex. Alternative splicing of this gene results in two transcript variants encoding 2 different isoforms.

Alternate Names

CCFDN, CTD (carboxy-terminal domain, RNA polymerase II, polypeptide A) phosphatase, CTD of POLR2A, phosphatase of, subunit 1, EC 3.1.3.16, FCP1TFIIF-associating CTD phosphatase 1, RNA polymerase II subunit A C-terminal domain phosphatase, serine phosphatase FCP1a, subunit 1, TFIIF-associating CTD phosphatase, transcription factor IIF-associating CTD phosphatase 1

Gene Symbol

CTDP1

Additional FCP1 Products

Product Documents for FCP1 Antibody - BSA Free

Certificate of Analysis

To download a Certificate of Analysis, please enter a lot number in the search box below.

Product Specific Notices for FCP1 Antibody - BSA Free

This product is for research use only and is not approved for use in humans or in clinical diagnosis. Primary Antibodies are guaranteed for 1 year from date of receipt.

Loading...
Loading...
Loading...
Loading...

⚠ WARNING: This product can expose you to chemicals including mercury, which is known to the State of California to cause reproductive toxicity with developmental effects.  For more information go to www.P65Warnings.ca.gov.