Skip to main content

FCER1G Antibody - BSA Free

Novus Biologicals, part of Bio-Techne | Catalog # NBP1-85959

Novus Biologicals, part of Bio-Techne
Catalog #
Availability
Size / Price
Qty
Loading...
NBP1-85959
NBP1-85959-25ul

Key Product Details

Species Reactivity

Human

Applications

Immunohistochemistry, Immunohistochemistry-Paraffin

Label

Unconjugated

Antibody Source

Polyclonal Rabbit IgG

Format

BSA Free

Concentration

Concentrations vary lot to lot. See vial label for concentration. If unlisted please contact technical services.

Product Specifications

Immunogen

This antibody was developed against Recombinant Protein corresponding to amino acids: KIQVRKAAITSYEKSDGVYTGLSTRNQETYETLKHEKPPQ

Reactivity Notes

Immunogen displays the following percentage of sequence identity for non-tested species: Mouse (85%), Rat (88%)

Clonality

Polyclonal

Host

Rabbit

Isotype

IgG

Description

Novus Biologicals Rabbit FCER1G Antibody - BSA Free (NBP1-85959) is a polyclonal antibody validated for use in IHC. All Novus Biologicals antibodies are covered by our 100% guarantee.

Scientific Data Images for FCER1G Antibody - BSA Free

Immunohistochemistry-Paraffin: FCER1G Antibody [NBP1-85959]

Immunohistochemistry-Paraffin: FCER1G Antibody [NBP1-85959]

Immunohistochemistry-Paraffin: FCER1G Antibody [NBP1-85959] - Staining of human spleen shows strong membranous and cytoplasmic positivity in cells in red pulp.
Immunohistochemistry-Paraffin: FCER1G Antibody [NBP1-85959]

Immunohistochemistry-Paraffin: FCER1G Antibody [NBP1-85959]

Immunohistochemistry-Paraffin: FCER1G Antibody [NBP1-85959] - Staining of human cerebral cortex shows moderate membranous and cytoplasmic positivity in glial cells.
Immunohistochemistry-Paraffin: FCER1G Antibody [NBP1-85959]

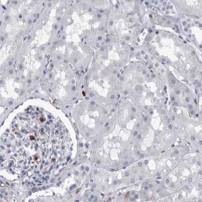
Immunohistochemistry-Paraffin: FCER1G Antibody [NBP1-85959]

Immunohistochemistry-Paraffin: FCER1G Antibody [NBP1-85959] - Staining of human kidney shows no positivity in cells in tubules as expected.

Applications for FCER1G Antibody - BSA Free

Application
Recommended Usage

Immunohistochemistry

1:500 - 1:1000

Immunohistochemistry-Paraffin

1:500 - 1:1000
Application Notes
For IHC-Paraffin, HIER pH 6 retrieval is recommended.

Formulation, Preparation, and Storage

Purification

Affinity purified

Formulation

PBS (pH 7.2) and 40% Glycerol

Format

BSA Free

Preservative

0.02% Sodium Azide

Concentration

Concentrations vary lot to lot. See vial label for concentration. If unlisted please contact technical services.

Shipping

The product is shipped with polar packs. Upon receipt, store it immediately at the temperature recommended below.

Stability & Storage

Store at 4C short term. Aliquot and store at -20C long term. Avoid freeze-thaw cycles.

Background: FCER1G

The high affinity IgE receptor is a key molecule involved in allergic reactions. It is a tetramer composed of 1 alpha,1 beta, and 2 gamma chains. The gamma chains are also subunits of other Fc receptors. (provided by RefSeq)

Alternate Names

Fc fragment of IgE, high affinity I, receptor for; gamma polypeptide, Fc-epsilon RI-gamma, FceRI gamma, FCRG, high affinity immunoglobulin epsilon receptor subunit gamma, IgE Fc receptor subunit gamma, immunoglobulin E receptor, high affinity, gamma chain

Gene Symbol

FCER1G

Additional FCER1G Products

Product Documents for FCER1G Antibody - BSA Free

Certificate of Analysis

To download a Certificate of Analysis, please enter a lot number in the search box below.

Product Specific Notices for FCER1G Antibody - BSA Free

This product is for research use only and is not approved for use in humans or in clinical diagnosis. Primary Antibodies are guaranteed for 1 year from date of receipt.

Loading...
Loading...
Loading...
Loading...