Skip to main content

Fc gamma RIIA/CD32a Antibody - BSA Free

Novus Biologicals, part of Bio-Techne | Catalog # NBP1-84589

Novus Biologicals, part of Bio-Techne
Catalog #
Availability
Size / Price
Qty
Loading...
NBP1-84589
NBP1-84589-25ul

Key Product Details

Species Reactivity

Human

Applications

Immunohistochemistry, Immunohistochemistry-Paraffin, Western Blot

Label

Unconjugated

Antibody Source

Polyclonal Rabbit IgG

Format

BSA Free

Concentration

Concentrations vary lot to lot. See vial label for concentration. If unlisted please contact technical services.

Product Specifications

Immunogen

This antibody was developed against Recombinant Protein corresponding to amino acids: RISANSTDPVKAAQFEPPGRQMIAIRKRQLEETNNDYETADGGYMTLNPRAPTDDDKNIYLTLPPNDHVNSNN

Clonality

Polyclonal

Host

Rabbit

Isotype

IgG

Description

Novus Biologicals Rabbit Fc gamma RIIA/CD32a Antibody - BSA Free (NBP1-84589) is a polyclonal antibody validated for use in IHC and WB. All Novus Biologicals antibodies are covered by our 100% guarantee.

Scientific Data Images for Fc gamma RIIA/CD32a Antibody - BSA Free

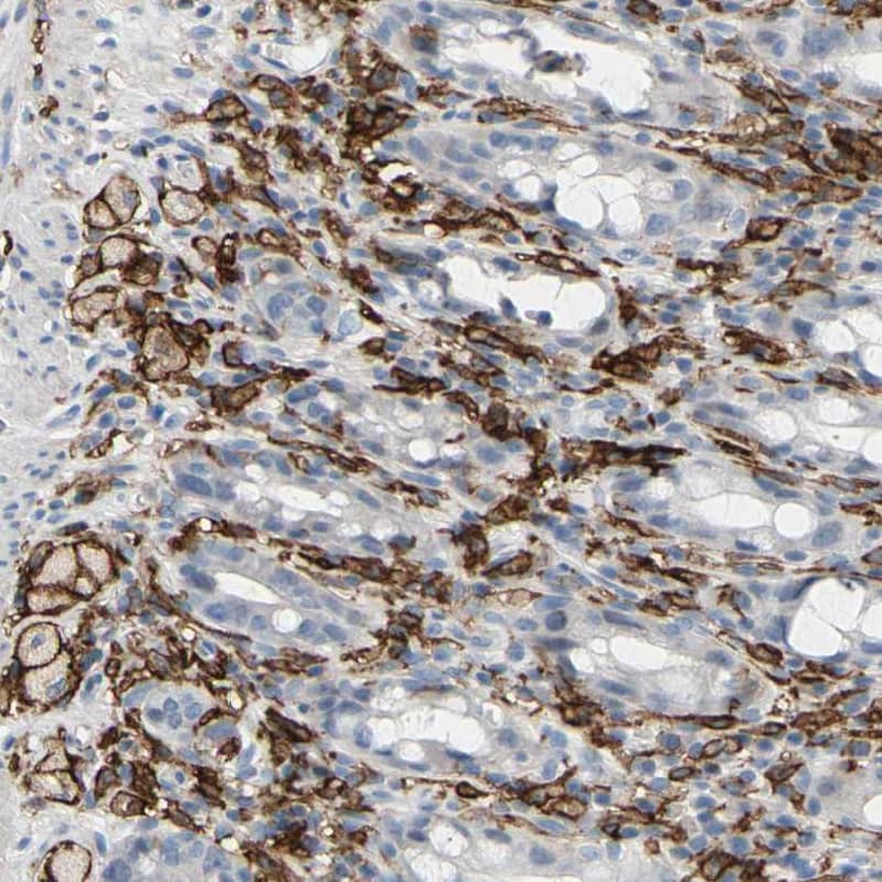
Fc gamma RIIA/CD32a Antibody - BSA Free Immunohistochemistry-Paraffin: Fc gamma RIIA/CD32a Antibody - BSA Free [NBP1-84589]

Immunohistochemistry-Paraffin: Fc gamma RIIA/CD32a Antibody - BSA Free [NBP1-84589]

Staining of human stomach shows moderate cytoplasmic/membranous positivity in lymphoid cells.
Fc gamma RIIA/CD32a Antibody - BSA Free Immunohistochemistry-Paraffin: Fc gamma RIIA/CD32a Antibody - BSA Free [NBP1-84589]

Immunohistochemistry-Paraffin: Fc gamma RIIA/CD32a Antibody - BSA Free [NBP1-84589]

Staining of human rectum shows strong cytoplasmic/membranous positivity in lymphoid cells.
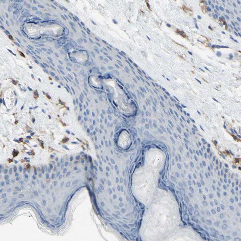
Fc gamma RIIA/CD32a Antibody - BSA Free Immunohistochemistry-Paraffin: Fc gamma RIIA/CD32a Antibody - BSA Free [NBP1-84589]

Immunohistochemistry-Paraffin: Fc gamma RIIA/CD32a Antibody - BSA Free [NBP1-84589]

Staining of human skin shows no positivity in squamous epithelial cells as expected.

Applications for Fc gamma RIIA/CD32a Antibody - BSA Free

Application
Recommended Usage

Immunohistochemistry

1:200 - 1:500

Immunohistochemistry-Paraffin

1:200 - 1:500

Western Blot

0.04-0.4 ug/ml
Application Notes
For IHC-Paraffin, HIER pH 6 retrieval is recommended.

Formulation, Preparation, and Storage

Purification

Affinity purified

Formulation

PBS (pH 7.2) and 40% Glycerol

Format

BSA Free

Preservative

0.02% Sodium Azide

Concentration

Concentrations vary lot to lot. See vial label for concentration. If unlisted please contact technical services.

Shipping

The product is shipped with polar packs. Upon receipt, store it immediately at the temperature recommended below.

Stability & Storage

Store at 4C short term. Aliquot and store at -20C long term. Avoid freeze-thaw cycles.

Background: Fc gamma RIIA/CD32a

The FCGR2A gene encodes a low affinity immunoglobulin gamma Fc region receptor II-a protein that in isoform 1 is 317 amino acids long at 35 kDA and at isoform 2 is 316 amino acids long at nearly 35 kDA. These proteins are found on the surface of many immune system response cells that act as a low affinity receptor through encouraging responses against pathogens and soluble antigens. Additionally, it functions to initiate phagocytosis of opsonized antigens. FCGR2A participates in Fc-GammaR pathway, osteoclast differentiation, signaling events controlled by PTP1B, and NFAT in immune response. It is known to interact with genes SYK, FYN, HCK, LGALS3, and PIK3R1. FCGR2A is linked to lupus, thrombocytopenia, b-cell lymphomas, otitis media, adult-onset still's disease, guillain-barre syndrome, asymptomatic dengue, severe acute respiratory syndrome.

Long Name

Fc gamma Receptor II A

Alternate Names

CD32a, FCGR2A, FcgRIIA, FCRIIA

Gene Symbol

FCGR2A

Additional Fc gamma RIIA/CD32a Products

Product Documents for Fc gamma RIIA/CD32a Antibody - BSA Free

Certificate of Analysis

To download a Certificate of Analysis, please enter a lot number in the search box below.

Product Specific Notices for Fc gamma RIIA/CD32a Antibody - BSA Free

This product is for research use only and is not approved for use in humans or in clinical diagnosis. Primary Antibodies are guaranteed for 1 year from date of receipt.

Loading...
Loading...
Loading...
Loading...
Loading...