Skip to main content

FATP4/SLC27A4 Antibody - BSA Free

Novus Biologicals, part of Bio-Techne | Catalog # NBP3-05510

Novus Biologicals, part of Bio-Techne
Catalog #
Availability
Size / Price
Qty
Loading...
NBP3-05510-100ul
NBP3-05510-25ul

Key Product Details

Species Reactivity

Human

Applications

Immunohistochemistry, Immunohistochemistry-Paraffin, Western Blot, Immunocytochemistry/ Immunofluorescence

Label

Unconjugated

Antibody Source

Polyclonal Rabbit IgG

Format

BSA Free

Concentration

Concentrations vary lot to lot. See vial label for concentration. If unlisted please contact technical services.

Product Specifications

Immunogen

This antibody was developed against a recombinant protein corresponding to amino acids: LLHCLTTSRARALVFGSEMASAICEVHASLDPSLSLFCSGSWEPGAVPPSTEHLDPLLKDAPKHLPSCPDKGFTDKLFYIYTSGTTG

Reactivity Notes

Immunogen displays the following percentage of sequence identity for non-tested species: Mouse (86%), Rat (80%)

Clonality

Polyclonal

Host

Rabbit

Isotype

IgG

Description

Novus Biologicals Rabbit FATP4/SLC27A4 Antibody - BSA Free (NBP3-05510) is a polyclonal antibody validated for use in IHC, WB and ICC/IF. All Novus Biologicals antibodies are covered by our 100% guarantee.

Scientific Data Images for FATP4/SLC27A4 Antibody - BSA Free

Western Blot: FATP4/SLC27A4 Antibody [NBP3-05510]

Western Blot: FATP4/SLC27A4 Antibody [NBP3-05510]

Western Blot: FATP4/SLC27A4 Antibody [NBP3-05510] - Analysis in human cell line MCF-7.
Immunocytochemistry/ Immunofluorescence: FATP4/SLC27A4 Antibody [NBP3-05510]

Immunocytochemistry/ Immunofluorescence: FATP4/SLC27A4 Antibody [NBP3-05510]

Immunocytochemistry/Immunofluorescence: FATP4/SLC27A4 Antibody [NBP3-05510] - Staining of human cell line U-2 OS shows localization to vesicles.
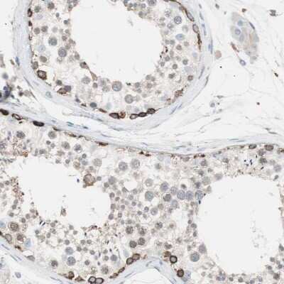
Immunohistochemistry-Paraffin: FATP4/SLC27A4 Antibody [NBP3-05510]

Immunohistochemistry-Paraffin: FATP4/SLC27A4 Antibody [NBP3-05510]

Immunohistochemistry-Paraffin: FATP4/SLC27A4 Antibody [NBP3-05510] - Staining of human testis shows strong cytoplasmic positivity in cells in seminiferous ducts.

Applications for FATP4/SLC27A4 Antibody - BSA Free

Application
Recommended Usage

Immunocytochemistry/ Immunofluorescence

0.25-2 ug/ml

Immunohistochemistry

1:50 - 1:200

Immunohistochemistry-Paraffin

1:50 - 1:200

Western Blot

0.04-0.4 ug/ml
Application Notes
For IHC-Paraffin, HIER pH 6 retrieval is recommended. For ICC/IF fixation permeabilization use PFA/Triton X-100.

Formulation, Preparation, and Storage

Purification

Affinity purified

Formulation

PBS (pH 7.2) and 40% Glycerol

Format

BSA Free

Preservative

0.02% Sodium Azide

Concentration

Concentrations vary lot to lot. See vial label for concentration. If unlisted please contact technical services.

Shipping

The product is shipped with polar packs. Upon receipt, store it immediately at the temperature recommended below.

Stability & Storage

Store at 4C short term. Aliquot and store at -20C long term. Avoid freeze-thaw cycles.

Background: FATP4

SLC27A4 is involved in translocation of long-chain fatty acids (LFCA) across the plasma membrane. Appears to be the principal fatty acid transporter in small intestinal enterocytes. Plays a role in the formation of the epidermal barrier. Required for fat absorption

Long Name

Fatty Acid Transport Protein 4

Alternate Names

ACSVL4, SLC27A4

Gene Symbol

SLC27A4

Additional FATP4 Products

Product Documents for FATP4/SLC27A4 Antibody - BSA Free

Certificate of Analysis

To download a Certificate of Analysis, please enter a lot number in the search box below.

Product Specific Notices for FATP4/SLC27A4 Antibody - BSA Free

This product is for research use only and is not approved for use in humans or in clinical diagnosis. Primary Antibodies are guaranteed for 1 year from date of receipt.

Loading...
Loading...
Loading...
Loading...