Skip to main content

FAT1 Antibody - BSA Free

Novus Biologicals, part of Bio-Techne | Catalog # NBP1-84566

Novus Biologicals, part of Bio-Techne
Catalog #
Availability
Size / Price
Qty
Loading...
NBP1-84566
NBP1-84566-25ul

Key Product Details

Validated by

Orthogonal Validation

Species Reactivity

Human

Applications

Validated:

Immunohistochemistry, Immunohistochemistry-Paraffin, Western Blot

Cited:

Western Blot

Label

Unconjugated

Antibody Source

Polyclonal Rabbit IgG

Format

BSA Free

Concentration

Concentrations vary lot to lot. See vial label for concentration. If unlisted please contact technical services.

Product Specifications

Immunogen

This antibody was developed against Recombinant Protein corresponding to amino acids: DGLGAKVSFHSLRITATDGENFATPLYINITVAASHKLVNLQCEETGVAKMLAEKLLQANKLHNQGEVEDIFFDSHSVNAHIPQFRSTLPTGIQVKENQPVGSSVIFMNSTDLDTGFNGKLVYAVSGGNEDSCFMIDMETGM

Reactivity Notes

Immunogen displays the following percentage of sequence identity for non-tested species: Mouse (85%), Rat (85%).

Clonality

Polyclonal

Host

Rabbit

Isotype

IgG

Description

Novus Biologicals Rabbit FAT1 Antibody - BSA Free (NBP1-84566) is a polyclonal antibody validated for use in IHC and WB. Anti-FAT1 Antibody: Cited in 2 publications. All Novus Biologicals antibodies are covered by our 100% guarantee.

Scientific Data Images for FAT1 Antibody - BSA Free

Immunohistochemistry-Paraffin: FAT1 Antibody [NBP1-84566]

Immunohistochemistry-Paraffin: FAT1 Antibody [NBP1-84566]

Immunohistochemistry-Paraffin: FAT1 Antibody [NBP1-84566] - Staining of human lymph node shows no positivity in non-germinal center cells as expected.
Immunohistochemistry-Paraffin: FAT1 Antibody [NBP1-84566]

Immunohistochemistry-Paraffin: FAT1 Antibody [NBP1-84566]

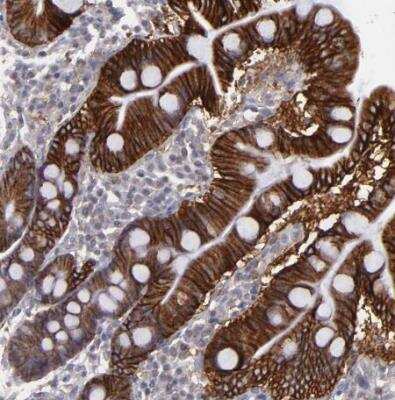
Immunohistochemistry-Paraffin: FAT1 Antibody [NBP1-84566] - Staining of human duodenum shows strong cytoplasmic positivity in glandular cells.
Immunohistochemistry-Paraffin: FAT1 Antibody [NBP1-84566]

Immunohistochemistry-Paraffin: FAT1 Antibody [NBP1-84566]

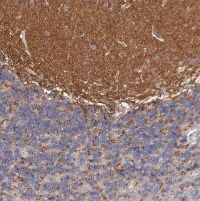
Immunohistochemistry-Paraffin: FAT1 Antibody [NBP1-84566] - Staining of human cerebellum shows strong cytoplasmic positivity in granular layer.

Applications for FAT1 Antibody - BSA Free

Application
Recommended Usage

Immunohistochemistry

1:500 - 1:1000

Immunohistochemistry-Paraffin

1:500 - 1:1000

Western Blot

Reported in scientific literature (PMID: 24625754)
Application Notes
For IHC-Paraffin, HIER pH6 retrieval method is recommended.

Formulation, Preparation, and Storage

Purification

Affinity purified

Formulation

PBS (pH 7.2) and 40% Glycerol

Format

BSA Free

Preservative

0.02% Sodium Azide

Concentration

Concentrations vary lot to lot. See vial label for concentration. If unlisted please contact technical services.

Shipping

The product is shipped with polar packs. Upon receipt, store it immediately at the temperature recommended below.

Stability & Storage

Store at 4C short term. Aliquot and store at -20C long term. Avoid freeze-thaw cycles.

Background: FAT1

The Drosophila FAT 1 gene does not belong to the classical cadherin gene family yet encodes a transmembrane protein containing 34 cadherin repeats in association with a number of other motifs. The Drosophila FAT locus encodes a tumor suppressor gene and recessive (loss-of-function) mutations lead to hyperplastic overgrowth of the imaginal discs, indicating that contact dependent cell interactions may play an important role in regulating growth and cell adhesion. This excessive cell proliferation occurs while maintaining normal epithelial organization and differentiation potential. Expressed in many epithelial and some endothelial and smooth muscle cells. Humans contain many homologs of FAT including FAT1, or hFAT

Alternate Names

FAT tumor suppressor 1, FAT tumor suppressor homolog 1 (Drosophila)

Gene Symbol

FAT1

Additional FAT1 Products

Product Documents for FAT1 Antibody - BSA Free

Certificate of Analysis

To download a Certificate of Analysis, please enter a lot number in the search box below.

Product Specific Notices for FAT1 Antibody - BSA Free

This product is for research use only and is not approved for use in humans or in clinical diagnosis. Primary Antibodies are guaranteed for 1 year from date of receipt.

Loading...
Loading...
Loading...
Loading...