Fascin Antibody (FSCN1/417)
Novus Biologicals, part of Bio-Techne | Catalog # NBP2-44383
![Western Blot: Fascin Antibody (FSCN1/417) [NBP2-44383] Western Blot: Fascin Antibody (FSCN1/417) [NBP2-44383]](https://resources.bio-techne.com/images/products/Fascin-Antibody-FSCN1-417-Western-Blot-NBP2-44383-img0009.jpg)
Conjugate
Catalog #
Forumulation
Catalog #
Key Product Details
Species Reactivity
Human
Applications
Flow Cytometry, Immunocytochemistry/ Immunofluorescence, Immunohistochemistry, Immunohistochemistry-Paraffin, Simple Western, Western Blot
Label
Unconjugated
Antibody Source
Monoclonal Mouse IgG2a Kappa Clone # FSCN1/417
Concentration
0.2 mg/ml
Product Specifications
Immunogen
Full length recombinant human Fascin protein (Uniprot: Q16658)
Localization
Cytoplasmic
Specificity
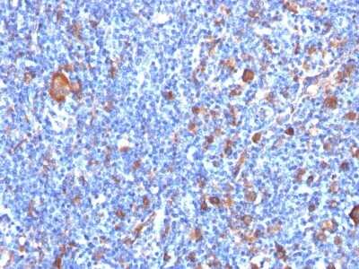
Recognizes a protein of 55kDa, which is identified as fascin-1. Its actin binding ability is regulated by phosphorylation. Antibody to fascin-1 is a very sensitive marker for Reed-Sternberg cells and variants in nodular sclerosis, mixed cellularity, and lymphocyte depletion Hodgkins disease. It is uniformly negative in lymphoid cells, plasma cells, and myeloid cells. Fascin-1 is also expressed in dendritic cells. This marker may be helpful to distinguish between Hodgkin lymphoma and non-Hodgkin lymphoma in difficult cases. Also, the lack of expression of fascin-1 in the neoplastic follicles in follicular lymphoma may be helpful in distinguishing these lymphomas from reactive follicular hyperplasia in which the number of follicular dendritic cells is normal or increased. Antibody to fascin-1 has been suggested as a prognostic marker in neuroendocrine neoplasms of the lung as well as in ovarian cancer. Fascin-1 expression may be induced by Epstein-Barr virus (EBV) infection of B cells with the possibility that viral induction of fascin in lymphoid or other cell types must also be considered in EBV-positive cases.
Marker
Reed-Sternberg Cell Marker
Clonality
Monoclonal
Host
Mouse
Isotype
IgG2a Kappa
Theoretical MW
55 kDa.
Disclaimer note: The observed molecular weight of the protein may vary from the listed predicted molecular weight due to post translational modifications, post translation cleavages, relative charges, and other experimental factors.
Disclaimer note: The observed molecular weight of the protein may vary from the listed predicted molecular weight due to post translational modifications, post translation cleavages, relative charges, and other experimental factors.
Description
200ug/ml of antibody purified from Bioreactor Concentrate by Protein A or G. Prepared in 10 mM PBS with 0.05% BSA & 0.05% azide. Also available WITHOUT BSA & azide at 1.0 mg/ml. (NBP2-47801)
Antibody with azide - store at 2 to 8C. Antibody without azide - store at -20 to -80C.
Antibody with azide - store at 2 to 8C. Antibody without azide - store at -20 to -80C.
Scientific Data Images for Fascin Antibody (FSCN1/417)
Western Blot: Fascin Antibody (FSCN1/417) [NBP2-44383]
Western Blot: Fascin Antibody (FSCN1/417) [NBP2-44383] - Western Blot of HeLa cell lysate Using Fascin antibody (FSCN1/417)Immunocytochemistry/ Immunofluorescence: Fascin Antibody (FSCN1/417) [NBP2-44383]
Immunocytochemistry/Immunofluorescence: Fascin Antibody (FSCN1/417) [NBP2-44383] - Immunofluorescence Analysis of HeLa cells labeling Fascin with Fascin Antibody (FSCN1/417)-CF640 (Green). The nuclear counterstain is Hoescht (Blue). Membrane is Phalloidin 488 (Red) .Immunohistochemistry-Paraffin: Fascin Antibody (FSCN1/417) [NBP2-44383]
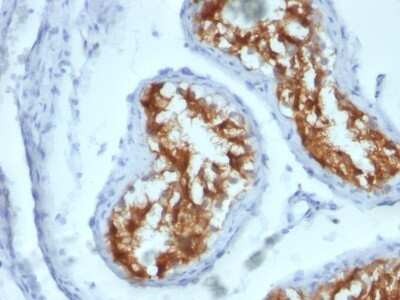
Immunohistochemistry-Paraffin: Fascin Antibody (FSCN1/417) [NBP2-44383] - Human Testicular Carcinoma stained with Fascin-1 Monoclonal Antibody (FSCN1/417)Applications for Fascin Antibody (FSCN1/417)
Application
Recommended Usage
Flow Cytometry
1-2 ug/million cells
Immunocytochemistry/ Immunofluorescence
1-2 ug/ml
Immunohistochemistry-Paraffin
1-2 ug/ml
Simple Western
10 ug/ml
Western Blot
1-2 ug/ml
Application Notes
Immunohistochemistry (Formalin-fixed): 1-2ug/ml for 30 minutes at RT. Staining of formalin-fixed tissues requires heating tissue sections in 10mM Tris with 1mM EDTA, pH 9.0, for 45 min at 95C followed by cooling at RT for 20 minutes.
Optimal dilution for a specific application should be determined.
In Simple Western only 10 - 15 uL of the recommended dilution is used per data point.
See Simple Western Antibody Database for Simple Western validation: Tested in HeLa lysate, separated by Size, antibody dilution of 10 ug/mL, apparent MW was 61 kDa.
Optimal dilution for a specific application should be determined.
In Simple Western only 10 - 15 uL of the recommended dilution is used per data point.
See Simple Western Antibody Database for Simple Western validation: Tested in HeLa lysate, separated by Size, antibody dilution of 10 ug/mL, apparent MW was 61 kDa.
Formulation, Preparation, and Storage
Purification
Protein A or G purified
Formulation
10 mM PBS with 0.05% BSA
Preservative
0.05% Sodium Azide
Concentration
0.2 mg/ml
Shipping
The product is shipped with polar packs. Upon receipt, store it immediately at the temperature recommended below.
Stability & Storage
Store at 4C.
Background: Fascin
Additional Fascin Products
Product Documents for Fascin Antibody (FSCN1/417)
Product Specific Notices for Fascin Antibody (FSCN1/417)
This product is for research use only and is not approved for use in humans or in clinical diagnosis. Primary Antibodies are guaranteed for 1 year from date of receipt.
Loading...
Loading...
Loading...
Loading...
Loading...